

近年来,心血管疾病介入治疗领域进展不断,其中冠脉慢性闭塞性病变的介入治疗历来都是热点和难点,因其手术难度长期被视为冠脉介入领域的“最后堡垒”。
在葛均波教授等国内外心血管介入医师的不断努力下,CTO病变介入治疗的术式日益丰富、规范,成功率得到明显提高,并发症发生率显著降低,秉承“开放、创新、合作”(Open、Creative、Cooperative)的理念,本届OCC大会传承经典环节——复杂病变手术专场,汇集来自全国各地的专家,实施连线、嘉宾讨论互动,通过5台CTO手术的演示,将复杂CTO病例的术前评估与准备、术中开通策略的选择与转换、顺逆向技术难点的克服、专用器械使用经验等进行分享,为复杂冠心病患者带来了获益,更为广大OCC观众带来了一场冠心病CTO病变治疗的饕餮盛宴。
同时,在本次手术演示中,众多国产器械集体亮相,多项新型器械成功助力术者们开通复杂CTO病变,体现了国产医疗器械在低值器械领域稳固占据主导地位的同时,逐渐在高精尖器械领域打破外资巨头的技术垄断,攻坚高端市场,加速推进医疗器械的国产替代进程。

手术直播

本次手术演示的术者均为CTO老伙计的成员,他们分别为:来自空军军医大学西京医院胡涛教授、复旦大学附属中山医院马剑英教授、温州医科大学附属第二医院官学强教授、浙江大学医学院附属第二医院聂斌教授、上海交通大学医学院附属仁济医院金叔宣教授。

首都医科大学附属北京安贞医院张宇晨教授、首都医科大学附属北京朝阳医院徐立教授、成都中医药大学附属医院孔令秋教授、湖南省人民医院潘宏伟教授、上海交通大学医学院附属第九人民医院殷兆芳教授、复旦大学附属中山医院仲昕教授、皖南医学院第一附属医院柯永胜教授、新疆自治区第三人民医院刘强教授、南昌大学第一附属医院彭小平教授、大连医科大学附属第二医院赵昕教授、上海交通大学医学院附属仁济医院杜勇平教授及张清教授担任本次转播的主持和讨论嘉宾。



马剑英教授团队

基本情况:患者,男,52岁,因“心梗后2月”入院。
简要病史:2025年4月因急性前壁+下壁心肌梗死入院行冠脉造影示:前降至中段闭塞,右冠中段闭塞,见左冠供应右冠远段,成功于前降至植入1枚支架,微导管支持下,先后尝试XT-A→G2→G3导丝无法通过右管病变处;J-CTO评分4。
辅助检查:LVEF 42%,左室除侧壁外收缩活动均减弱至消失;Scr 74
术前诊断:急性心肌梗死演变期,冠状动脉支架植入术后状态,心功能NYHA Ⅱ-Ⅲ级,高血压,银屑病


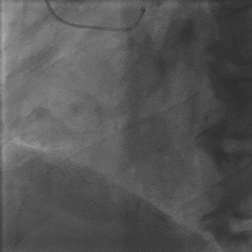
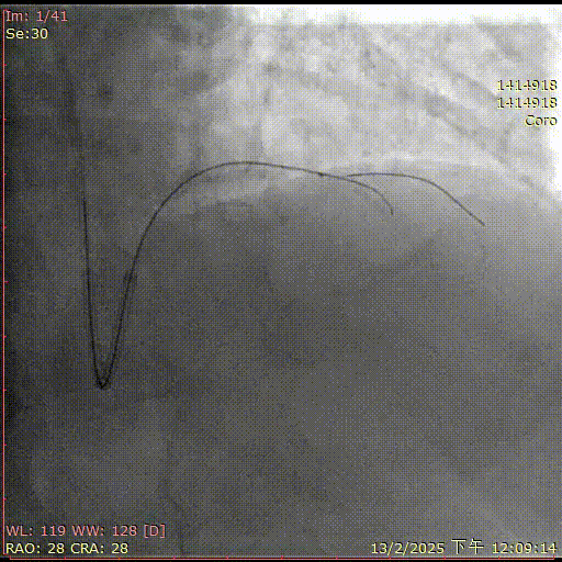
术前造影

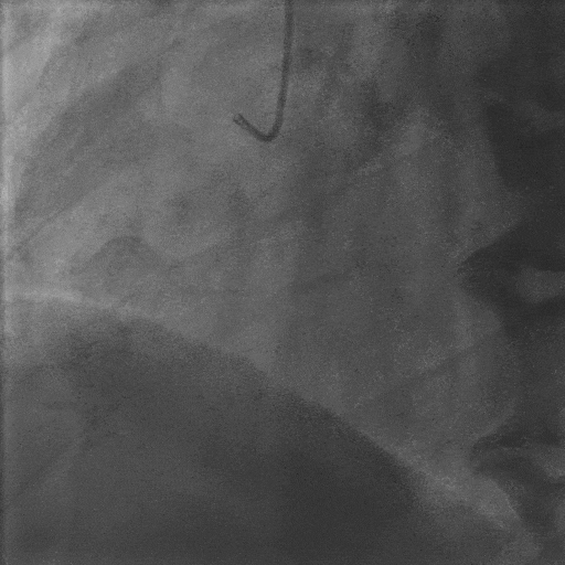
术后造影

胡涛教授团队

基本情况:患者,男,67岁,因“胸闷1月”入院。
简要病史:2025年5月7日冠脉造影提示前降支中远段弥漫性病变多处狭窄90%,回旋支中段闭塞,未见明显侧枝,右冠脉近段闭塞,见回旋支提供侧枝逆供右冠远段,成功于前降支置入1枚支架,成功开通回旋支CTO,药物球囊扩张。J-CTO评分4
辅助检查:LVEF 54%,左室侧壁、后壁基底段至中间段收缩活动减弱;Scr 92
术前诊断:冠状动脉粥样硬化性心脏病,冠状动脉支架植入术后状态,心功能NYHA Ⅱ级,2型糖尿病,高血压



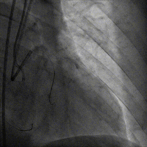
术前造影

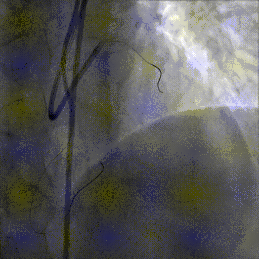
术后造影

官学强教授团队

基本情况:患者,男,68岁,因“活动后胸闷气促5月”入院。
简要病史:2021年12月造影:前降至近段次全闭塞,导丝送至前降至远段,IVUS见“T-F-T”,中段位于内膜下,予球囊扩张。2025年2月复查冠脉造影见前降至开口闭塞,右管来源侧枝供应远段。J-CTO评分3
辅助检查:LVEF 68%,Scr 79
术前诊断:冠状动脉粥样硬化性心脏病,冠状动脉支架植入术后状态,心功能NYHA Ⅱ级,高血压,支气管哮喘




术前造影


术后造影

聂斌教授团队

基本情况:患者,男,75岁,因“呼吸困难伴胸闷3月”入院。
简要病史:2025年2月冠脉造影见前降支近段闭塞,见钝缘支侧枝供应,回旋支狭窄50%,右冠远段局限性狭窄80%,正向微导管支撑下尝试XT-A→G3→CP 12进入远段内膜下,双腔微导管支撑下未能调整至真腔,启动逆向尝试Sion→XT-A→SUOH 03未能通过钝缘支侧枝。J-CTO评分4
辅助检查:LVEF 60%,肌酐 127μmol/L
术前诊断:冠状动脉粥样硬化性心脏病,冠状动脉支架植入术后状态,心功能NYHA Ⅱ级,慢性阻塞性肺病,慢性肾脏病3期,脑梗史



术前造影


术后造影

金叔宣教授团队

基本情况:患者,男,64岁,因“活动后胸闷心悸1年”入院。
简要病史:2018年6月心梗置入2枚支架,8月再次置入3枚支架(手术记录不祥),2024年再次出现活动后胸闷心悸,2025年1月造影提示前降支开口至中段原支架内再狭窄,最重狭窄95%,右冠脉中段闭塞,见回旋支提供侧枝供应远段,成功药物球囊处理前降支支架内再狭窄,择期处理右冠CTO。J-CTO评分4
辅助检查:LVEF 58%,Scr 105
术前诊断:陈旧性心肌梗死,冠状动脉支架植入术后状态,心功能NYHA Ⅱ级,高血压,2型糖尿病




术前造影



术后造影

小结

几位术者正逆向转换的时机选择、导丝选择与调控、植入策略,体现了术者先进的理念、丰富的经验和精干的操控技艺。今年演示的病例手术难度高,但是各位老伙计团队的术者通过实战,最终取得了好的手术结果,具有非常好的演示教育意义,体现了OCC提倡的“开放、创新、合作”精神,为CTO-PCI的技术提高和规范化普及做出了贡献。期待明年继续和大家相聚在仁济医院,开展精彩纷呈的CTO手术演示。

审核:钱菊英、梁春

扫码进入专栏
了解更多会议资讯
