
近日,中国医学科学院阜外医院结构性心脏病团队在单纯超声引导下,成功为一名75岁Type-1型二叶瓣合并主动脉瓣重度狭窄的女性患者实施TAVR手术,术中采用 VitaFlow Liberty®Flex 输送系统植入TAV21瓣膜。手术过程顺利,术后超声评估显示未见瓣周漏,患者活动后胸闷、气短等症状有望得到显著改善,单纯超声引导技术为这类患者带来了创伤更小、恢复更快的治疗新选择。

基本情况
患者:女,75岁,152cm,57kg。
主诉:活动后胸闷、气短1年余。
现病史:患者自1年开始间断出现胸闷、气短,与活动有关,多于快步行走时、上楼时及情绪变化时出现,无晨起后发作,胸闷无放射,无出汗,无乏力,无头晕、晕厥及意识丧失,无心悸,无恶心、呕吐,无咯血,无咳嗽、咳痰,每次持续约数分钟体息后缓解。
曾于外院就诊,诊为“主动脉瓣重度狭窄”,具体治疗不详,患者症状仍无明显好转,今为求进一步诊治入住本院。
术前超声报告
主动脉瓣病变:主动脉瓣重度狭窄,左房增大,肺动脉高压(估测肺动脉收缩压约41 mmHg),左心室偏小,舒张末径39 mm。
收缩期:主动脉瓣前向血流加快,峰值流速4.9 m/s,峰值压差为96 mmHg,平均跨瓣压差为63 mmHg。
术前CT评估示
Type-1型二叶瓣,瓣叶增厚,中度钙化;L-R交界纤维钙化粘连。收缩期瓣环周长68.8 mm,平均径21.9 mm;LVOT周长65.5 mm,平均径20.9 mm;舒张期瓣环周长69.6 mm,平均径22.1mm;LVOT周长65.3mm,平均径20.8 mm;瓣上2/4/6/8/10 mm,预计可推开空间周长69.2/69.2/65.6/66.1/66.4 mm。

主动脉窦部L30.3 mm,R30.6 mm,N36.7 mm,STJ均径27.0 mm。

升主动脉40 mm,高度处均径35.0 mm,50 mm,高度处均径37.0 mm。

钙化情况:

收缩期左心室长径61.0 mm,短径20.4 mm,舒张期左心室短径22.6 mm。

瓣环角度54°,造影体位。

左冠开口高度11.7 mm,右冠开口高度16.3 mm,冠脉风险较低。

主动脉弓角度104°,大弯侧有钙化,升主动脉可。

右侧穿刺点附近有分支,推荐左侧股动脉主入路(最窄处7.4 mm),使用二代输送系统20F大鞘。

手术策略建议
Type-1型二叶瓣,瓣叶增厚,中度钙化;L-R交界纤维钙化粘连,冠脉风险较低,瓣环角度54°,拟以左侧股动脉正常位置穿刺/切开建立主入路,二代输送系统20F大鞘,18 mm球囊预扩,植入TAV21瓣膜,根据术中瓣膜展开情况选择是否后扩。

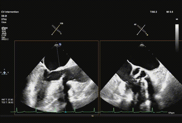
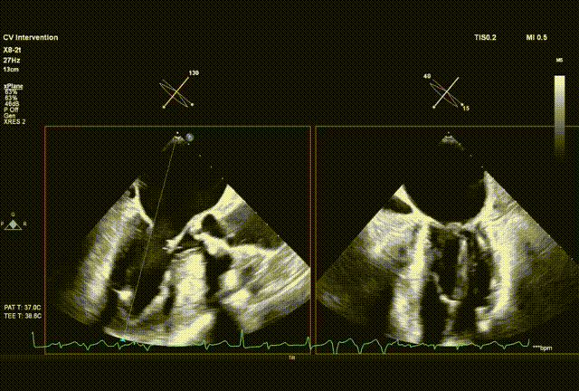
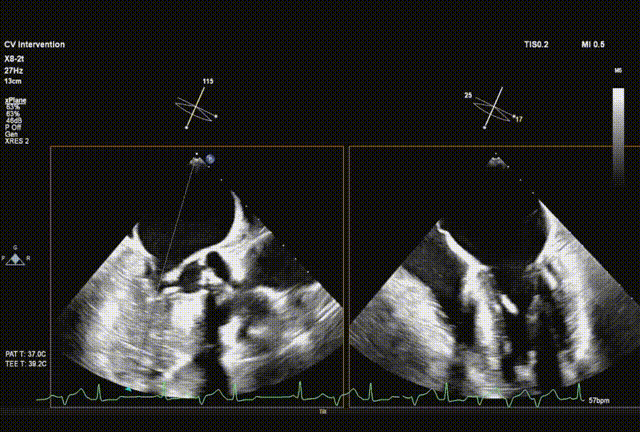
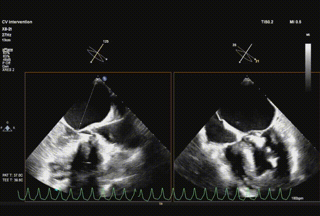
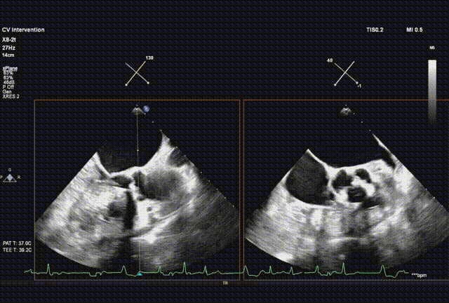
手术过程

超声引导直头导丝跨瓣成功

交换送入猪尾导管并确认到达心尖

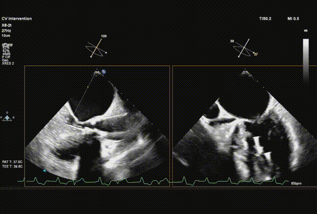
采样线扫到左室心尖并送入safari导丝

球囊预扩

输送系统顺利跨瓣

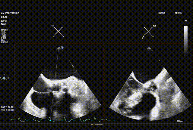
瓣膜初始释放到喇叭状形态并定位植入深度

采样线扫到无窦,180起搏,长轴视图下快速释放到工作位

超声从左至右,最后无冠窦侧评估深度合适

起搏下完全释放瓣膜

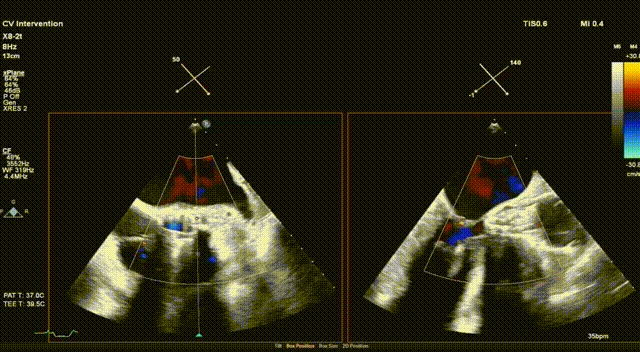
左右旋转系统并前送,观察无瓣膜移动,回撤导丝后再撤出系统

术后超声评估,未见瓣周漏,平均跨瓣压15 mmHg,血流速度197 cm/s

精准医疗护航,共筑心脑希望。此次的成功实施,彰显了阜外医院结构性心脏病团队在复杂瓣膜病变诊疗中的领先技术实力,更凸显了单纯超声引导技术在减少辐射暴露、提升手术安全性方面的独特优势。展望未来,团队将继续深耕超声引导技术创新,以临床需求为导向突破更多技术壁垒,推动结构性心脏病诊疗向更精准、更微创的方向迈进,为全球心血管疾病患者提供更优质的中国诊疗方案。


扫码进入微创心通学术专栏
了解更多精彩内容