
6月3-8日,2025大湾区微创瓣膜大会于广州成功召开。在大会首日的“手术演示”环节,中国医学科学院阜外医院潘湘斌教授带领团队成功开展了一例单纯超声引导下经导管主动脉瓣置换术(TAVR),亦为线上的参会嘉宾们带来了一场挑战性与创新性兼具的手术示教。

单纯超声引导的介入技术,是心血管领域的一项创新疗法。在确保手术安全、有效的同时,单纯超声引导介入技术大大降低了对患者肾脏的影响,保护医生和患者免受放射线危害之余,能够显著提升手术效率、降低医疗成本、提高医疗服务的可及性,正在成为心血管疾病介入治疗的新选择。
中国医学科学院阜外医院团队首创的无放射线经皮介入技术,通过单纯超声引导器械从外周血管进入心脏,远距离操作器械治疗心脏病。实现了“不开刀,无放射线,甚至在患者清醒状态下治疗心脏病”。目前团队可以通过无放射线治疗主动脉瓣狭窄、房间隔缺损、动脉导管未闭、二尖瓣关闭不全、心房颤动、心律失常等多种复杂手术,还实现了手术车上门手术、机器人远程手术。
该技术不但消除放射线等医源性损伤,而且提高了医疗服务的可及性,将心脏手术从要到大城市、大医院找大医生做的“重大手术”转变成“门诊手术”,甚至“上门手术”,为医疗资源贫瘠的国家和地区解决了致命的可及性问题。高度契合联合国可持续发展目标中对人类生命健康保护的呼吁。
目前,该技术以“降低成员国医疗服务能力差异”的巨大贡献获得“世界卫生组织科技创新奖”、“国家技术发明奖”,被联合国评选为全球可持续发展计划的推广项目,获得联合国资金及全球体系的支持,已在“一带一路”沿线国家广泛推广,服务国家战略,惠及全球民生健康福祉。
2024年10月1日,中央电视台在庆祝建国75周年的大型纪录片《中国式现代化之路》之《国之重器》篇章中。将“超声引导心血管病介入技术”与“两弹一星”、航天登月、深海潜水器等七项技术成果并列,作为大国重器的杰出代表进行展示,充分彰显了阜外团队凭借中国技术促进民心相通,有力服务国家重大战略的专业实力。团队已经到法国、德国、英国、加拿大、俄罗斯、肯尼亚、坦桑尼亚、乌兹别克斯坦等30余个国家开展现场手术并传授中国技术。
此次精彩的手术演示,不仅有力验证了单纯超声引导下TAVR术式的安全性、精准性与微创性,还充分彰显出中国医学科学院阜外医院作为国家心血管病中心在推动心血管介入技术创新与发展上的核心引领作用,为更多对辐射敏感人群(如孕妇、儿童、育龄期患者)及肾功能不全、造影剂过敏患者提供了革命性的治疗“心”选择。
潘湘斌教授团队不仅在技术上不断精进,还依托超声引导优势,发明了多种新型治疗器械,实现了心血管介入治疗的“降维打击”。
(1)发明完全可吸收封堵器,彻底解决金属封堵器的远期并发症。放射线看不见可吸收材料,只能加入金属部件,才能显影并植入体内,它们会在吸收过程中脱落,带来栓塞等新问题,所以欧美研制的数十种产品均未能上市。潘湘斌教授团队通过超声引导植入,无需金属部件,并改进材料、发明成型器解决新材料弹性差等问题,全球首创完全可吸收封堵器,并成功上市,实现了“人无我有”的重大突破,开辟了新的医疗器械序列,CSI主席Horst教授给予了高度评价。目前已经发展出室缺、房缺、卵圆孔、动脉导管、左心耳等可吸收封堵器,成规模、成体系地替代欧美金属封堵器。
(2)发明缺损缝合器械,开辟“经导管缝合术”的新战场。放射线看不清心内结构,要在体外预制器械后植入,不但需要撑大心内腔隙来固定器械,而且无法个体化治疗。潘湘斌教授团队利用超声精准探测、实时引导的优势,发明新型缝合器械,全球首创超声引导卵圆孔缝合术,用可吸收线完美关闭异常通道,而且避开周边的重要器官。团队还发明了大量缝合器械及材料,可以缝合腱索、连接瓣叶,推动“经导管器械植入术”迈进到更精准的“经导管缝合术”。
总之,作为学科基石的影像方法学一旦突破,可以轻易解决旧体系下的技术难题,实现降维打击。相信在这些新技术、新器械的辅助下,我国心血管疾病介入治疗将真正迈入“精准微创、绿色安全”的新纪元,惠及全球更多心血管疾病患者。
胸闷气短 心脏功能“告急”
患者为84岁男性,主诉:胸闷、气短1周。
现病史:1周前起无明显诱因出现活动后胸闷、气短,无明显胸痛、心悸、咳嗽、呕吐等不适,休息后可缓解,到当地医院就诊,诊断为“主动脉瓣狭窄”,予对症支持治疗后无明显缓解,此后上述症状仍反复出现,活动耐量减低。现为进一步治疗到我院就诊,行心脏超声等检查诊断为“心脏瓣膜病:主动脉瓣重度狭窄并关闭不全”,拟行手术治疗收入院。
入院诊断:心脏瓣膜病;主动脉瓣狭窄(重度);主动脉瓣关闭不全;心力衰竭;心功能II-III级 (NYHA分级);高血压病2级(极高危);上消化道出血;慢性胃炎
心脏超声示:主动脉瓣病变;主动脉瓣重度狭窄并中量反流;二尖瓣少中量反流。
主瓣峰值流速5.6m/s,主瓣平均压差80mmHg,主瓣中量返流,EF值65%,二尖瓣少中量返流,左室舒末内径56mm,室间隔厚度16mm。
冠脉CT示:1.冠状动脉钙化积分18.9分;冠状动脉呈右优势型:各支冠状动脉未见有意义狭窄;2.主动脉瓣增厚、钙化,左心室增大,血流动力学情况请参考超声心动图检查;3.主动脉粥样硬化改变;4. 双肺多发微小结节
术前CT评估示
瓣环周长77.0mm,平均径24.5mm;LVOT周长74.6mm,平均径23.7mm。

主动脉窦部L34.3mm,R37.3mm, N35.2mm,STJ均径33.7mm

升主动脉平均直径37.6mm,钙化情况

左冠开口高度19.5mm,右冠开口高度17.5mm,冠脉风险较低

左室大小评估

手术策略
84岁男性患者,主动脉瓣重度狭窄并中量反流,主动脉左右冠瓣融合,瓣叶明显增厚钙化,冠脉风险较低,考虑到患者双肺多发结节,减少放射照射,拟在超声引导下行TAVR,以股动脉正常位置穿刺/切开建立主入路,术中应用20mm球囊预扩,拟植入TAV26瓣膜,根据术中瓣膜展开情况选择是否后扩。
精准微创 彰显技术硬实力
手术开始后,超声引导直头导丝跨瓣成功
交换送入猪尾导管并确认到达心尖
采样线扫到左室心尖并送入safari导丝
球囊预扩,并确认Safari导丝在心尖部

输送系统顺利过弓及跨瓣

瓣膜初始释放到喇叭状形态并定位植入深度
180起搏在长轴视图下快速释放到工作位

超声评估深度合适

起搏下完全释放瓣膜

左右旋转系统并前送,观察无瓣膜移动,回撤导丝后再撤出系统
瓣膜释放后食道超声评估可见瓣周漏

遂行22mm球囊后扩

术后超声评估,瓣膜位置深度满意,形态可,瓣周漏较前明显改善。


术后食道超声
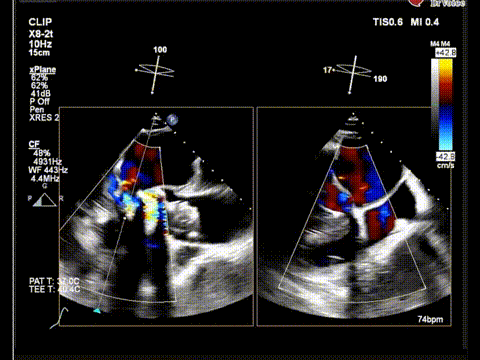
术后食道超声color

安全高效 创新疗法惠民生
患者症状得到显著改善,手术顺利完成。此次手术的成功实施与演示,是中国医学科学院阜外医院践行救死扶伤,患者至上使命、推动优质医疗资源广泛发展的生动实践,彰显了中国医学科学院阜外医院应对复杂病症的综合实力。
不仅如此,近年来潘湘斌教授团队还创新性研发出了超声导丝、超声导管及智能显影系统三大核心组件。通过提升超声图像信噪比、建立动态追踪算法,使心脏结构与介入器械在搏动状态下仍能清晰显影,成功突破了传统影像技术对静态视野的依赖,进一步优化了单纯超声引导介入技术的可及性,更由此探索出一条"创新突破-技术推广-民生改善"的微创化、精准化瓣膜介入治疗发展新路径。
期待,随着未来单纯超声引导下TAVR术式的广泛传播与临床应用,将有更多患者因此而获益,推动中国瓣膜介入治疗事业发展迈向新高度!