
左心室过度小梁化是一种心脏表型,其特征为异常的小梁化及深隐窝。该现象可发生于正常个体,也可能与神经肌肉疾病、血液系统疾病、妊娠、运动员、遗传性疾病或心肌病(既往称为左心室致密化不全心肌病[LVNC])相关。其预后取决于潜在病因,在没有合并心脏病理改变者预后较好,而存在收缩功能障碍者则预后较差。LV过度小梁化临床表现多样,可表现为无症状个体的偶然检出,也可表现为严重心力衰竭、心律失常、心脏性猝死和血栓栓塞。近期,《Eur Heart J Case Rep》报道了一例“Excessive left ventricular trabeculations mimicking a thrombus”,所展示的图像的确容易被误诊,值得大家分析研读。

已有多种影像学标准被提出用于诊断,例如,经胸超声心动图(TTE)短轴切面中,在收缩末期非致密层与致密层(NC:C)心肌厚度比值> 2(Jenni 标准);或心血管磁共振成像(CMR)长轴切面,在舒张末期NC:C比值> 2.3(Petersen 标准),或小梁化心肌占左心室质量 > 20%(Jacquier 标准)。
病例报告
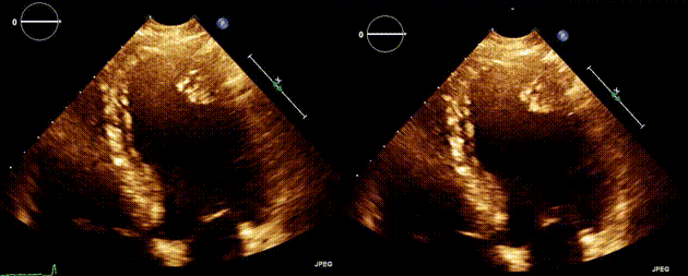
患者,男性,49 岁,因心脏杂音行经胸超声心动图检查,发现心尖部外侧段心腔内壁有一 2 × 2 cm 的强回声团块,考虑为心内肿物,可能为肿瘤,伴或不伴表面血栓。未发现局部室壁运动异常,左心室射血分数为 55%(图 A,视频 S1)。

图A 经胸超声心动图(心尖四腔心切面)显示心尖部外侧段存在强回声团块,看似血栓

视频1
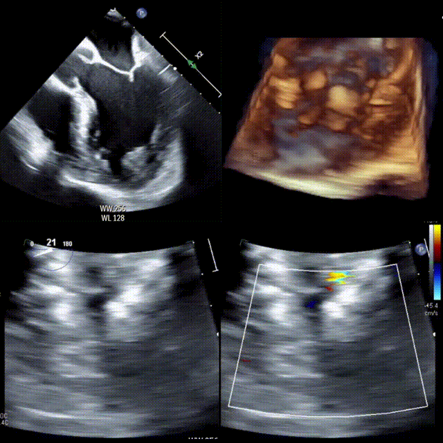
患者否认发热、非法药物使用、恶性肿瘤或全身症状。三维经食管超声心动图(TEE)显示心尖部过度小梁化,隐窝间可见彩色血流(图 B,视频2),超声对比增强未见血栓。

图B 经食管超声心动图(食管中段四腔心切面)显示远场外侧壁小梁化明显

视频2
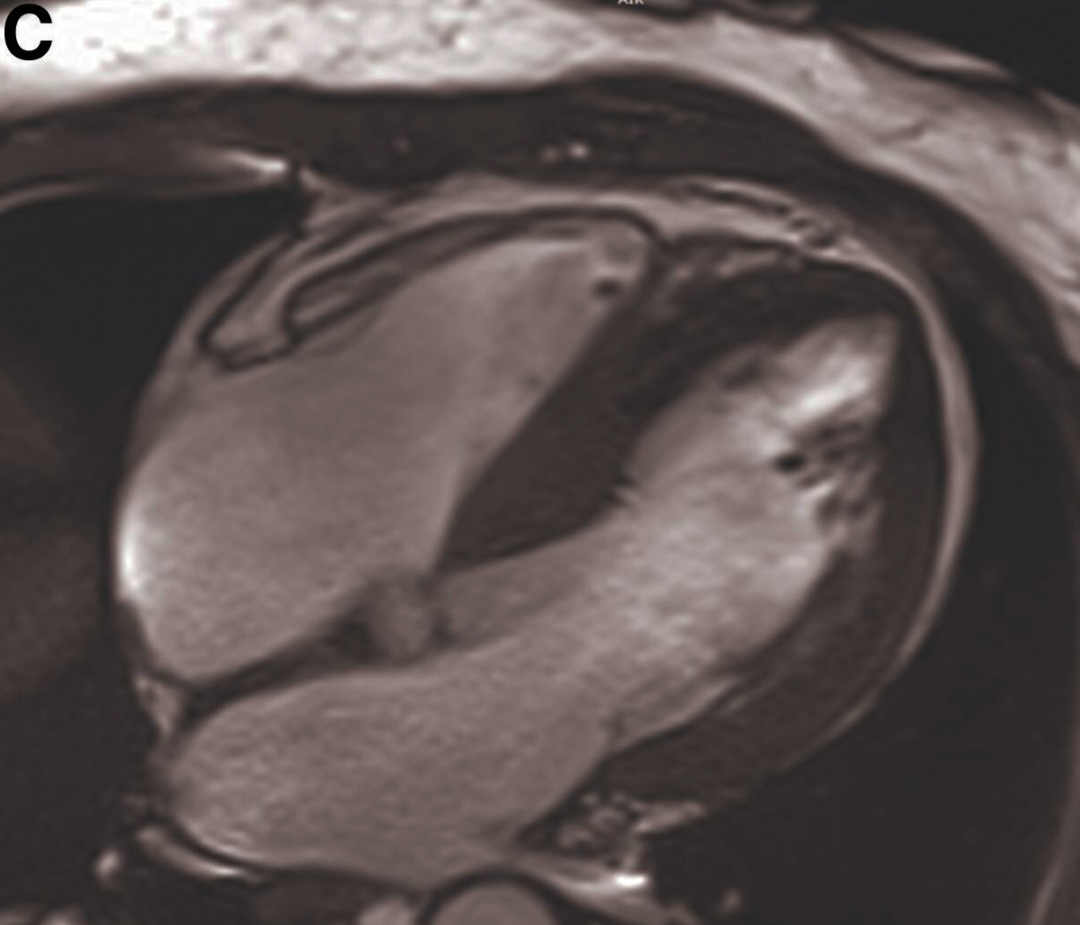
为进一步明确病变特征并排除其他潜在心肌疾病及晚期钆增强(LGE),行CMR检查,结果显示心尖部外侧壁小梁密集增厚(图 C,视频3)。呈结节状,且相互融合,看似“假性肿物”。

图C 心脏磁共振成像(心尖四腔心切面)显示左心室心尖段小梁呈簇状和结节状

视频3
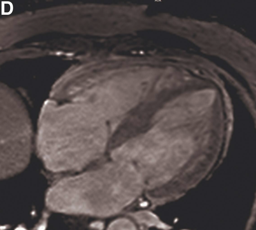
通过首过灌注(FPP)和长反转时间(TI)早期钆增强(EGE)及 LGE 序列确定排除了血栓(图 D,视频 4)。

图D 长反转时间(600 ms)早期钆增强序列显示无血栓存在

视频4
讨论
FPP是一种在钆对比剂(GBCA)团注后快速对心脏进行成像的技术。通过快速显示左心室腔的对比剂填充(高信号),以及几秒钟后正常心肌的灌注,可区分低灌注结构(如缺血心肌、瘢痕或血栓)与正常心肌或血管结构(如恶性肿物、血管瘤等)。血栓作为无血管结构,不摄取对比剂,显示为低信号,而正常心肌灌注显示为高信号。
尽管以往有少数病例报告采用TEE鉴别左心室过度小梁化与疑似的肿物,但CMR凭借其出色的组织分辨率和鉴别能力,可清晰显示这些小梁,并可排除其他潜在心肌疾病。此外,CMR是评估血栓的金标准,有助于鉴别诊断脂肪瘤、纤维瘤和囊肿等良性肿物,并缩小恶性肿物的潜在鉴别诊断范围。
虽然血栓栓塞是左心室过度小梁化在伴有严重收缩功能障碍时的已知并发症,但本病例强调了区分“假性肿物”与过度小梁化的重要性,以避免不必要的治疗或抗凝。