
随着国内经导管三尖瓣介入治疗正式迈入商业化阶段。中国医学科学院阜外医院、阜外华中心血管病医院、空军军医大学西京医院、武汉亚洲心脏病医院、苏州市立医院(排名不分先后)5家国内知名心脏中心成功应用汇禾医疗K-Clip®经导管三尖瓣环成形系统完成首批植入。为中国三尖瓣介入治疗开启全新篇章。
K-Clip®是由汇禾医疗自主研发的一款经导管三尖瓣环成形系统,同时也是中国首款获批的介入三尖瓣器械,专为治疗重度三尖瓣反流(Tricuspid Regurgitation, TR)设计。通过微创介入方式,精准修复扩张的三尖瓣环,恢复原有瓣膜功能,为无法耐受传统开胸手术的高危患者提供安全有效的解决方案。
✧ 中国医学科学院阜外医院 ✧
潘湘斌 教授团队
患者基线
患者,女,66岁,入院诊断为三尖瓣关闭不全。
术前影像:三尖瓣下血流速度正常,瓣上返流(大量);CTA提示三尖瓣环面积1411mm²
手术策略:拟植入2枚K-Clip
手术过程及效果
术中在食道超声引导下分别于后瓣环、前后瓣环处各植入1枚14T K-Clip,1枚14T K-Clip术后即刻反流由基线极重度(5+)降至轻度(1+)


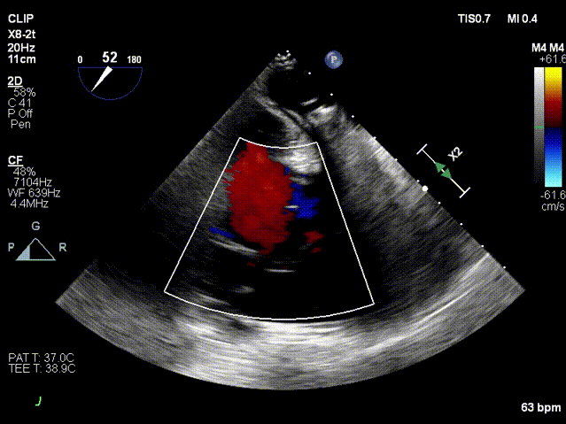
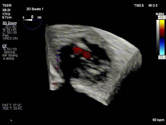
术前超声
术后超声
✧ 阜外华中心血管病医院 ✧
韩宇教授团队

患者基线
患者,女,65岁,房颤6年,数天前病情加重,出现双下肢水肿,无法平卧,进一步检查诊断为三尖瓣重度关闭不全。
术前影像:三尖瓣下血流速度正常,瓣上返流(5+);CTA提示三尖瓣环面积1552mm²
手术策略:拟植入2枚K-Clip
手术过程及效果
术中在食道超声引导下分别于后瓣环、前后瓣环处各植入1枚14T K-Clip,1枚12T K-Clip术后即刻反流由基线极重度(5+)降至中度(2+)


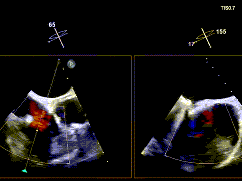
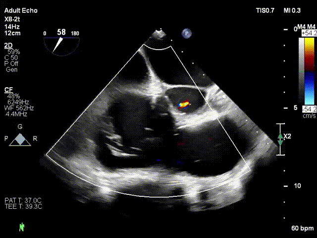
术前超声
术后超声
✧ 空军军医大学西京医院 ✧
杨剑教授团队 李伟栋 教授

患者基线
患者,女,74岁,心脏辦膜术后16年,间歇性胸闷、气短1年;入院诊断为三尖瓣关闭不全。
术前影像:三尖瓣下血流速度正常,瓣上返流(大量);CTA提示三尖瓣环面积1332.5mm²
手术策略:拟植入2枚K-Clip
手术过程及效果
术中在食道超声引导下分别于后瓣环、前后瓣环处各植入1枚14T K-Clip,1枚12T K-Clip术后即刻反流由基线重度(4+)降至微量(0-1+)


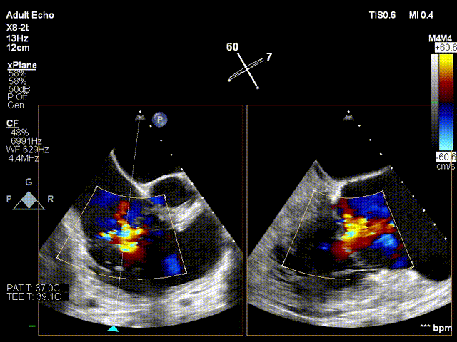
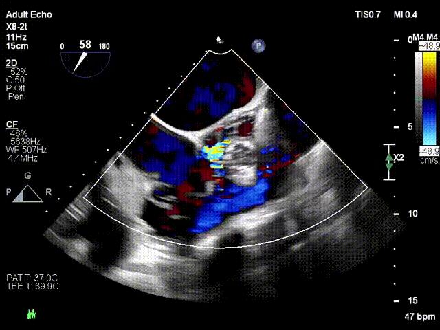
术前超声
术后超声
✧ 武汉亚洲心脏病医院 ✧
宋丹教授团队

患者基线
患者,女,80岁,房颤,左心耳封堵术后,20余天前无诱因出现下肢对称性凹陷性水肿,伴随轻微胸闷、喘气。经检查诊断为重度三尖瓣关闭不全。
术前影像:三尖瓣下血流速度正常,瓣上返流(5+);CTA提示三尖瓣环面积1760mm²
手术策略:拟植入2枚K-Clip
手术过程及效果
术中在食道超声引导下分别于后瓣环、前后瓣环处各植入1枚12T K-Clip,1枚12T K-Clip术后即刻反流由基线极重度(5+)降至中重度(3+)。


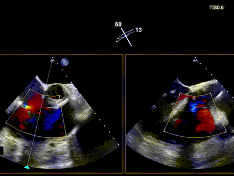
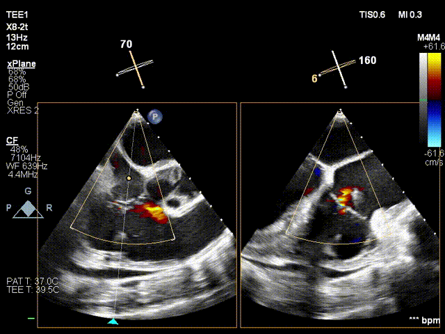
术前超声
术后超声
✧ 苏州市立医院 ✧
张海锋教授团队

患者基线
患者,女,68岁,近两年反复胸闷气喘,伴双腿水肿,进一步检查诊断为三尖瓣重度关闭不全。
术前影像:三尖瓣下血流速度正常,瓣上返流(4+);CTA提示三尖瓣环面积1324mm²
手术策略:拟植入1枚K-Clip
手术过程及效果
术中在食道超声引导下于后瓣环处植入1枚14T K-Clip术后即刻反流由基线重度(4+)降至轻度(1+)


术前超声
术后超声
K-Clip®经导管三尖瓣环成形系统在全国首批商业植入中表现卓越,凭借优异的临床效果获得临床专家的一致好评。K-Clip®的临床应用填补了我国三尖瓣介入治疗领域的技术空白,为重度三尖瓣反流患者提供了革命性的治疗选择。未来随着技术普及、循证经验积累有望联合房颤消融、左心瓣膜介入,探索“一站式”心脏复合病变解决方案。

K-Clip®经导管三尖瓣环成形系统:
1、经血管穿刺入路,损伤小,鞘管外径18Fr。
2、操作简单,均在心房面完成,学习曲线短。
3、解离前所有操作步骤可逆,手术效果可控。
4、生理性环缩技术,无损原生瓣叶。

扫码进入汇禾医疗学术专栏
了解更多精彩内容