
近日,广东省中医院二沙岛医院吕渭辉教授团队应用TaurusMax®经导管主动脉瓣系统,成功为一例大瓣环单纯主动脉瓣反流(Pure Aortic Regurgitation, PAR)挑战解剖患者完成经导管主动脉瓣置换术。术中,该系统的全球首创3D双轴调弯技术 有效提升了输送系统过弓及跨瓣的安全性与效率;同时在瓣膜释放阶段确保了出色的同轴性稳定性,从而有效避免高低瓣现象,并实现了 调弯状态下的精准稳定释放与可控脱钩。最终瓣膜植入定位精准,患者即刻效果优异,术后血流动力学显著改善。
患者基础信息
本例为一例70°横位心,三窦三叶式反流性主动脉瓣挑战病例。患者 73 岁男性,2月前出现胸闷,心悸,活动后少许气短。术前超声提示:EF45%,左房左室增大,可疑主动脉瓣右冠瓣脱垂并主动脉瓣大量反流,RJA:9.5cm²,二尖瓣少量反流,左室收缩功能减低,升主动脉及主动脉窦部增宽。横位心显著增加了术中实现瓣膜同轴性的难度,尤其影响单纯主动脉瓣反流(PAR)病例的精准定位和锚定,导致瓣膜移位风险增加,释放困难。
主动脉根部评估

瓣环:收缩期:周长75.2mm,周长径23.9mm
舒张期:周长74.6mm,周长径23.7mm

LVOT3mm:收缩期周长77.5mm,周长径24.7mm
舒张期周长75.6mm,周长径24.0mm

LVOT5mm:收缩期周长82.8mm,周长径26.3mm
舒张期周长80.6mm,周长径25.7mm

瓣上1mm:周长74.4mm,周长径23.7mm
瓣上2mm:周长74.9mm,周长径23.8mm

瓣上3mm:周长76.1mm,周长径24.2mm
瓣上4mm:周长76.9mm,周长径24.5mm

瓣上6mm:周长82.8mm,周长径26.4mm
瓣上8mm:周长92.9mm,周长径29.6mm


SOV 35.9mm*33.9mm*34.7mm
STJ 周长径38.3mm


升主动脉周长径42.9mm
瓣环水平夹角70°

左冠开口高度13.6mm
右冠开口高度14.4mm
血管外周及入路评估

外周入路髂外走形稍迂曲,内径适中,推进右侧股动脉为主入路
TaurusMax®植入过程
患者在全麻下进行手术,经右侧股动脉建立主入路,直头导丝跨瓣后交换预塑弯形导丝放置于左室。TaurusMax®经导管主动脉瓣系统装载AV29瓣膜,该系统具有“3D双轴”调弯功能,系统过弓跨瓣更加安全顺畅,同时系统在跨瓣后可实现同轴调整,降低术中对导丝操作的依赖,改善瓣膜释放不同轴导致的高低瓣问题,提升瓣膜释放稳定性及血流动力学。瓣膜在调弯状态下一次释放脱钩,瓣膜深度瓣下2mm,形态良好,同轴性佳,DSA下对合缘对齐(CA)结果良好。

术中照片
术中影像
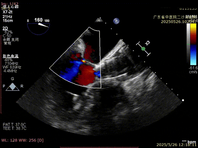
主动脉根部造影可见显著造影剂反流,主动脉根部扭转,猪尾初始位于右冠窦;预装AV29瓣膜进行植入。

使用预塑形导丝配合TaurusMax调弯过弓并跨瓣,输送器调弯约70%,左前斜进行投照角度下过弓。

跨瓣后T-Marker形态检查无误,输送器调弯至100%,释放位完全同轴,左侧位观察同轴优秀,极大程度上缓解大横位心因素。

右窦中心位下释放,显影点近1:1:1初步判断CA实现对齐,初始定位0位释放

与常规不可调弯TAVR系统有所不同,TaurusMax系统在完成调弯调轴后,同轴性较好,释放阶段瓣膜展开基本居中展开。首次释放初始定位0位,180次/分起搏后,血压偏高,释放过程中瓣膜上跳。

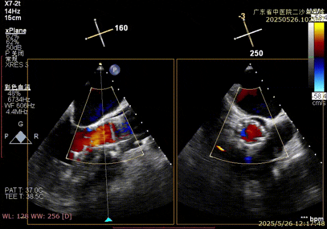
第二次释放前予以麻醉调整降低血压,稳定展开释放至工作位,即刻超声观察瓣架在无冠窦侧约处于瓣下2mm位置,但瓣周反流明显,瓣膜与周围组织存在间隙,评估稳定性过程中瓣膜再次上跳。

回收后进行第三把释放,考虑第二次工作位瓣膜上跳,尝试更深位置定位释放至工作位再行评估,因此初始定位瓣下4-5mm位置,释放至工作位约瓣下7-8mm深度,瓣膜压缩成桶状,造影反流较少,超声观察瓣周贴合较好,但考虑深度较深,瓣膜多次回收后压缩评估可能存在误导,计划更换AV31瓣膜。

更换AV31新瓣膜后,定位瓣下3-4mm左右开始释放,高速起搏血压下降至70mmHg后,开始快速匀速释放,展开过程稍上移并锚定。

工作位多角度评估深度,约瓣下3mm左右,无冠窦侧压缩内凹明显。

超声评估,深度符合DSA评估深度,约瓣下4mm左右,存在明显无冠窦侧压缩,准备进行瓣膜脱钩释放。

TauruMax脱钩释放阶段优势明显,脱钩过程稳定易控制,调弯后良好的同轴,脱钩后无位移,释放后,无冠窦侧仅1mm自同轴调整。

最终造影评估可见,瓣膜封堵良好无反流,无冠窦侧大约瓣下4mm位置,瓣膜形态良好,右窦中心位下,瓣膜显影点处于1:1:1状态,实现了良好的CA对齐。

超声评估也未见瓣周漏,深度良好,瓣架压缩充足,手术完美结束。

术后超声提示:人工瓣功能正常

结语
针对该PAR病例,术前评估提示存在大横位心合并主动脉根部扭转、无冠窦宽大、主动脉根部扩张等高危解剖因素。考虑常规不可调弯TAVR系统 在此类解剖条件下植入难度较大,尤其是在脱钩环节瓣膜易发生自同轴下滑。因此,术者团队优先选用可调弯系统——TaurusMax®经导管主动脉瓣系统。该系统首创自膨瓣输送器双轴调弯技术,显著优化了系统操控性能,实现了输送过程流畅、高效跨瓣; 定位控制精准,术中实时可调同轴性; 释放评估清晰,借助瓣膜显影点与输送器T-marker可视标记,可实时判断对合缘对齐。
值得注意的是,作为本中心首次将可调弯系统用于单纯主动脉瓣反流(PAR)的TAVR植入,本例术中通过多次精细调整,配合TaurusMax在过弓安全性,系统同轴性,脱钩稳定性上的优势,最终完美释放。
