
在2025年OCC大会璀璨舞台上,上海交通大学医学院附属瑞金医院冠脉介入手术转播专场震撼上演!聚焦“破界之道,双刃合璧——复杂钙化病变的实战策略与探索”,国内顶尖专家云集,其中由上海交通大学医学院附属瑞金医院张瑞岩教授带领的团队成员丁风华教授、王晓群教授、朱天奇教授完成三台高难度手术直播,共同见证了国产冠脉血管内冲击波球囊技术(IVL) 在征服“最硬骨头”——重度钙化病变中的突破性力量,向世界展示了中国介入医学的先锋实践与创新高度。
顶尖阵容
共论钙化攻坚“破界”之道
▼▼▼
本次专场星光熠熠,由海军军医大学第二附属医院梁春教授、首都医科大学附属北京安贞医院柳景华教授、东南大学附属中大医院马根山教授、河北医科大学第二医院傅向华教授联袂主持,由中国医学科学院阜外医院钱杰教授、遵义医科大学附属医院石蓓教授、首都医科大学附属北京朝阳医院赵林教授、海军军医大学第一附属医院张必利教授共同担任讨论嘉宾(以上排名不分先后)。强大的专家阵容,为这场钙化攻坚的“破界”之旅提供了深厚的学术支撑。

IVL
革新钙化治疗的“中国声波利刃”
▼▼▼
复旦大学附属中山医院陆浩教授在专题分享《冲击波球囊对钙化病变治疗的新趋势》中,系统阐释了IVL技术的划时代价值:
更安全: 声压力波精准击碎深层钙化,显著降低穿孔、夹层风险,并发症发生率优于传统旋磨。
更易用: 学习曲线平缓,操作便捷,无需复杂器械转换,大幅缩短手术时间。
更全面: 突破环形钙化(>270°)壁垒,对偏心钙化、钙化结节、支架膨胀不良等复杂情况同样展现卓越疗效与安全性。
前瞻性: 虽在器械无法通过时需联合旋磨等技术,但其独特机制与不断累积的全球证据(如美、英中心应用率快速攀升),正使其成为钙化病变治疗不可或缺的核心工具,为患者带来更优长期预后。

实战亮剑
瑞金团队直播演绎IVL“破壁”奇迹
▼▼▼
瑞金医院丁风华教授、王晓群教授、朱天奇教授团队联袂登场,通过极具挑战性的手术直播,生动诠释了IVL如何“破界”钙化壁垒:
“
病例一
丁风华教授
精准分叉攻坚:IVL处理OM2-LCX钙化分叉病变。
基本情况:患者,男,75岁,因“活动后胸闷3月余”入院。既往糖尿病病史20年,口服降糖药物控制;血脂异常(LDL-C 3.81mmol/L)。
简要病史:患者既往因稳定性心绞痛,于2025年4月入院行CAG+PCI 治疗。RCA近中段“旋磨+冲击波”处理后植入4枚支架。本次入院计划处理左冠。
辅助检查:EKG 下壁及侧壁导联T波改变;UCG 左房增大伴轻度二尖瓣关闭不全。
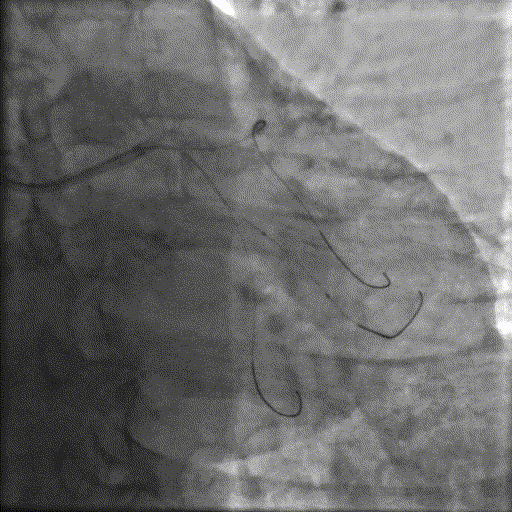
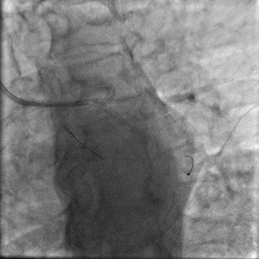
基础造影



右冠状动脉近段原有支架通畅,右冠一后降支细小,开口次全闭塞;左主干狭窄20%;前降支弥漫性病变,近段于间隔支形成分叉病交,最窄可见90%左右狭窄;回旋支近段70%,远段弥漫性病变,最重95%,远段可见侧枝向PDA远段供血。
手术过程

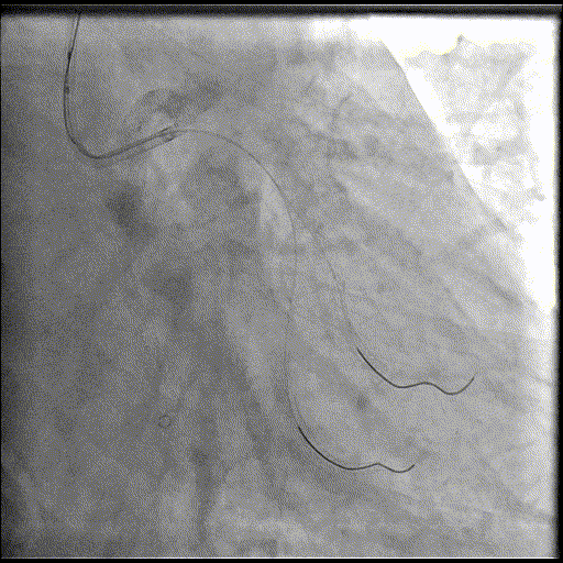
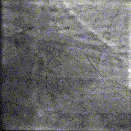
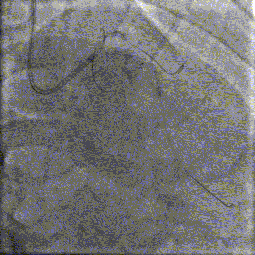
导丝到位
当指引导管冠脉开口到位后,选择三根对应导丝分别送入LCX、OM1、OM2远端。
OM2优先处理:


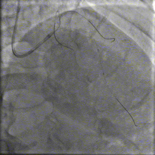
球囊预扩
当导丝通过病变后其他器械无法通过病变,此时选择不同尺寸的小球囊逐级预扩张病变,复查造影狭窄减轻不明显。为了解血管真实情况,遂启用IVUS检查。

术前腔内影像学IVUS指导
IVUS提示血管可见钙化明显,为360°环形钙化。遂考虑启动IVL治疗。


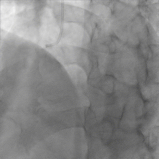
冲击波球囊治疗
2.5*12mm@4atm 冠脉血管内冲击波导管反复进行4个周期治疗,复查造影提示狭窄减轻。


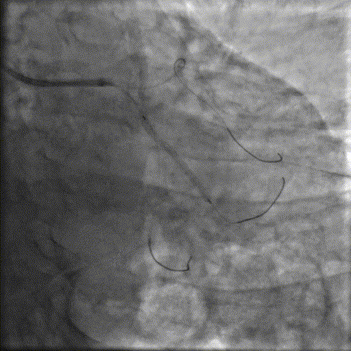
支架植入并后扩
于OM2-LCX远端植入一枚药物洗脱支架,经非顺应性球囊后扩张支架,复查造影提示支架贴壁良好,未见夹层、血肿。
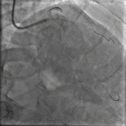
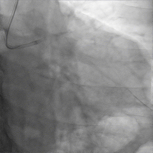
OM1处理:


球囊预扩
使用预扩球囊处理OM1病变。


支架植入并后扩
于OM1病变处植入一枚药物洗脱支架,经非顺应性球囊后扩张支架,复查造影提示支架贴壁良好,未见夹层、血肿。
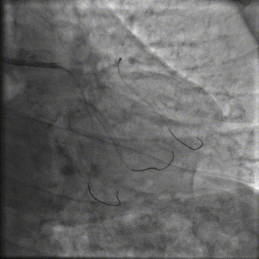
最终,于LCX中远段行FFR检测,结果为0.78。鉴于本次手术时间较长、造影剂用量饱和,且患者症状已有效缓解、血流状态稳定。经综合评估后,决定对残余病变实施择期处理。
“
病例二
王晓群教授
智能化串联植入:冲击波预处理助力解决LAD环形钙化。
基本情况:患者,男,67岁,因“发作性胸闷1月”入院,胸闷发作与活动无关,每次发作>20分钟。既往高血压、糖尿病病史,血脂异常(LDL-C 1.36mmol/L),吸烟50年。
简要病史:患者曾于2025年5月初入院行CAG+PCI 治疗,RCA近中段弥漫性长病变伴重度狭窄,植入2枚支架。本次入院计划处理左冠。
辅助检查:EKG:正常;UCG:轻度AR,LVEF 70%。
基础造影



右冠状动脉近中段可见支架影,支架通畅无狭窄,右冠状动脉远段狭窄50%;前降支近中段弥漫性重度钙化伴成角,近段狭窄80%,中段狭窄90%,第一对角支近段狭窄70%;回旋支近段狭窄70%,第一钝缘支狭窄90%。
手术经过
OM优先处理:


球囊预扩
用预扩张球囊对OM病变部位行预扩张。


支架植入并后扩
于LCX中段至OM支植入一枚药物洗脱支架,经非顺应性球囊后扩张支架,复查造影提示支架贴壁良好,无夹层撕裂。
LAD处理:


球囊预扩
用预扩球囊扩张LAD病变,支架无法通过。为了解血管病变分布情况及钙化程度,遂启用IVUS检查。

术前腔内影像学IVUS指导
IVUS提示LAD近中段钙化病变,中段可见360°环形钙化。


冲击波球囊治疗
3.0x12@4atm 冠脉血管内冲击波导管顺利推送至前降支近端,但无法通过成角钙化处,故于血管近端就地进行10个周期治疗,复查造影见近端狭窄明显减轻;再次选择2.5x12@4atm冠脉血管内冲击波导管推送至成角钙化处,逐步掘进扩张病变并给予冲击波治疗,最终顺利通过成角钙化处,并于前降支中段再次进行10个周期的冲击波治疗。




支架植入并后扩
于LAD近中段串联植入两枚药物洗脱支架,经非顺应性球囊后扩张支架,复查造影及IVUS提示支架膨胀完全,贴壁良好,无夹层撕裂。
LCX处理:



支架植入并后扩
于LCX近段与原支架串联植人一枚药物洗脱支架,经非顺应性球囊后扩张支架,复查造影&IVUS提示支架贴壁良好,无夹层撕裂。
最终,经FFR检测,结果达0.96,提示冠状动脉功能学恢复满意,达到预期治疗目标,故本次介入治疗操作圆满结束。
“
病例三
朱天奇教授
创新性二次干预:IVL修正支架植入术后贴壁不良。
基本情况:患者,男,73岁,因“活动后突发持续性胸痛”入院。既往高血压、糖尿病病史,血脂异常(LDL-C 3.94mmol/L)。
简要病史:患者曾于2025年4月因急性下壁心肌梗死,急诊行PCI治疗,于RCA植入1枚支架。本次入院计划处理LAD。
辅助检查:EKG:下壁导联Q波,T波倒置;UCG:左室下壁收缩活动减弱,LVEF 57%。
基础造影



右冠状动脉近段基本正常,中段狭窄50%,远段原支架通畅,右冠-后降支开口狭窄70%;左主干狭窄40%;前降支近中段全程弥漫性钙化病变,狭窄80-99%,第一对角支狭窄60%,第二对角支狭窄80%;回旋支近段基本正常,远段狭窄60%。
手术经过

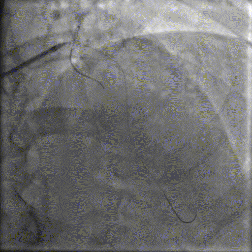
导丝到位
当指引导管冠脉开口到位后,选择三根对应导丝分别送入LAD、D1、D2远端。


球囊预扩
选择不同尺寸的预扩球囊逐级预扩张病变,复查造影狭窄减轻不明显。为了解血管真实情况,遂启用IVUS检查。

术前腔内影像学IVUS指导
IVUS提示血管内钙化严重,最小管腔面积不足 4mm²;遂考虑启动IVL治疗。


冲击波球囊治疗
2.5*12mm@4atm 冠脉血管内冲击波导管反复进行8个周期治疗,经IVUS检查提示最小管腔面积增加至4.88mm²;随后选取后扩张球囊对病变行扩张治疗。




支架植入并后扩
于LM-LAD依次植入两枚药物洗脱支架,经非顺应性球囊后扩张支架,复查造影&IVUS提示血管内钙化仍较重,支架贴壁不良,遂再次启动IVL治疗。


再次冲击波球囊治疗
3.0*12mm@4atm 冠脉血管内冲击波导管反复进行5个周期治疗,并选取后扩张球囊对病变行扩张治疗。最终复查造影提示残余狭窄小于10%,未见夹层及血肿,TIMI血流3级。
专场讨论凝聚核心洞见
安全高效是基石: IVL显著提升手术安全性,操作简便高效。
精准评估是关键: IVUS/FFR等腔内影像和功能学评估是制定最佳策略、避免过度干预的保障。
解决膨胀不良新利器: IVL可“二次发力”,有效处理钙化导致的支架膨胀不良。
中国“声波之力”
重塑生命通道,引领世界浪潮
▼▼▼
瑞金医院本次OCC专场直播,不仅是一场高难度钙化病变的巅峰实战,更是一声中国介入医学迈向国际前沿的铿锵宣言!三例复杂病例的成功,充分印证了国产血管内冲击波球囊技术(IVL)在安全性、易用性、普适性及疗效上的革命性突破——它以源自本土的“声波利刃”,“破界”最坚硬的钙化壁垒,智能重塑血管生机。
展望未来,随着未来创新器械的加速研发,国产冲击波的创新能量场将更加强劲。我们坚信,通过持续探索与实践,中国介入医学必将在精准化、个体化治疗的时代浪潮中持续引领,为全球心血管疾病患者开辟更广阔、更安全的生命通道!