
近日,大连市中心医院庄熙晶教授团队与超声科、麻醉科等团队紧密协作,应用国产球扩瓣Prizvalve®为一名二尖瓣置换术后生物瓣衰败的女性患者,成功完成经导管二尖瓣“瓣中瓣”植入术。该患者存在二尖瓣生物瓣重度反流、瓣叶撕脱,左房左室扩大且存在主动脉瓣轻度狭窄等复杂病情,不宜再行传统外科开胸手术。术前,团队全面评估患者的心脏超声及CT等检查结果,精准把握患者解剖结构与病情特征,个性化制定经导管二尖瓣“瓣中瓣”的手术策略,为手术的安全有效实施奠定了坚实基础。术中,团队经股静脉入路完成房间隔穿刺、瓣膜释放及瓣架优化等操作。术后,患者瓣膜开闭良好,无反流及瓣周漏,血流动力学指标显著改善,手术取得圆满成功,使患者在避免大创伤的同时重获“心”生。
病例资料
73岁女性患者。
心脏超声示:二尖瓣重度反流、生物瓣瓣膜撕脱,主动脉瓣轻度狭窄、三尖瓣少量反流,左房左室扩大、外科生物瓣瓣膜撕脱。

术前食道超声3D-color
二尖瓣位人工生物瓣,前向血流E:2.2m/s,A:1.4m/s,MPG:8mmHg,部分收缩期脱向左房侧,瓣架内见条索样回声摆动,大小约8x2.7mm,瓣周及瓣口可探及反流信号,瓣口反流程度为重度,反流束起始处宽约5.8mm,主动脉瓣回声增强,前向血流略加速,Vmax:2.0m/s,MPG:9mmHg,瓣口可探及轻度反流信号,三尖瓣瓣口可探及少量反流信号。舒张功能测定:TRVmax:3.0m/s,PG:38mmHg,估测PAS约43mmHg。
术前CT评估示

术前CT评估
8年前行外科瓣置换术,原外科瓣生物瓣参数如图:

既往生物瓣瓣环面积:480.0mm²,周长评估直径:25.2mm,面积评估直径:24.8mm;生物瓣内圈面积:287.9mm²,周长评估直径:19.3mm,面积评估直径:19.1mm。瓣叶增厚、瓣叶衰败。

生物瓣瓣环显影标识,原生物瓣瓣架高度:14.3mm。


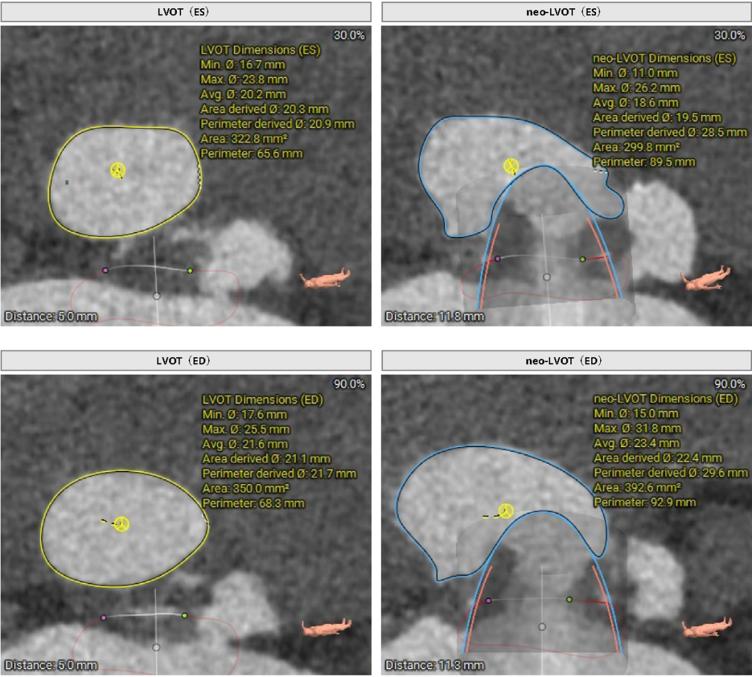
26mm Prizvalve®瓣膜模拟植入,LVOT与瓣架流出端距离为6.9mm。收缩期:LVOT面积322.8mm²,Neo-LVOT面积299.8mm²,舒张期:LVOT面积350.0mm²,Neo-Lvot面积 392.6mm²,综合评估:26mm瓣膜植入后左室流出道梗阻风险低。



模拟穿刺房间隔和手术路径,穿刺点距二尖瓣瓣环高度:23.2mm,房间隔与二尖瓣夹角134°。

释放角度,生物瓣瓣架打平角度:

左心收缩舒张末期情况:

术前食道超声示:瓣叶增厚显著、原生物瓣瓣叶衰败,瓣中心大量反流;同时生物瓣架外,2点钟方向存在明显缺损,存在反流情况。


术前食道超声
术前食道超声2D-color
手术策略
73岁女性患者,既往二尖瓣生物瓣置换手术史,现二尖瓣生物瓣衰败,二尖瓣重度反流,再行传统外科开胸瓣膜置换手术难度大、风险高。经庄熙晶教授手术团队综合评估后,拟行经导管二尖瓣“瓣中瓣”植入术,术中拟植入26mm Prizvalve®瓣膜,标准容量释放,28-37定位,LA侧深度4-6 mm。术中根据瓣膜植入后血流动力学情况决定是否进行瓣架打断。优先尝试右侧股静脉入路为主入路,备选心尖入路。
手术过程
穿刺股静脉并置入导管鞘,在TEE引导下使用房间隔穿刺套件行房间隔穿刺后使用球囊进行连续扩张,将导丝和导管引入左心房;


TEE指导下房间隔穿刺
多次球囊扩张房间隔
将导丝跨过衰败的二尖瓣生物瓣并引入左心室,使用Prizvalve®瓣膜输送系统载入26mm瓣膜,将新瓣膜通过输送系统引导至目标位置,确保新瓣膜准确对准衰败的二尖瓣生物瓣瓣环;
瓣架顺利通过房间隔
经造影明确原二尖瓣生物瓣位置,予以透视定位后,快速起搏使心率至180/分后缓慢充盈球囊至完全释放瓣膜;


瓣膜定位
瓣膜释放
瓣架释放后即刻评估瓣架形态,可见腰征明显;
瓣膜释放后即刻食道超声评估
遂行24mm球囊打断外科瓣瓣架;
24mm球囊打断外科瓣瓣架
食道超声评估可见瓣架形态改善显著;
TEE可见瓣架形态改善显著
即刻评估瓣架内血流动力学,符合预期。

术后食道超声多角度评估瓣架内瓣叶情况,瓣架开闭良好,瓣架内无反流及瓣周漏,定量评估瓣架外漏面积1.46cm²,房缺最终直径为0.523cm,无右向左分流,遂结束手术。术前平均压差43mmHg,峰值流速4.4m/s,术后平均压差12mmHg,峰值流速2.3m/s,较术前明显改善。


术后食道超声评估瓣架外漏


术后食道超声2D
术后食道超声2D-color
术后总结
本例手术患者为 73 岁女性,既往有二尖瓣生物瓣置换史,此次因生物瓣衰败导致重度反流,合并左房左室扩大、主动脉瓣轻度狭窄等复杂病情,传统外科开胸手术风险极高。术者团队凭借丰富经验,结合心脏超声与 CT 影像精准评估解剖结构,个性化制定经股静脉入路的二尖瓣“瓣中瓣”植入策略,并通过 26mm Prizvalve®瓣膜模拟植入评估左室流出道梗阻风险,为手术奠定安全基础。术中团队默契配合,经房间隔穿刺、球囊扩张后精准释放瓣膜,结合24mm球囊打断外科瓣架以优化瓣架形态,最终实现瓣膜开闭良好、无反流及漏的理想效果。
此例手术的成功,不仅彰显了庄熙晶教授团队在复杂瓣膜疾病治疗中的精湛技术,也充分验证了国产球扩瓣Prizvalve®的独特优势:其采用球囊扩张式瓣膜结构设计,结合钴铬合金支架的高强度支撑性,可实现精准定位,同时瓣膜释放后通过优化的支架几何形态与瓣叶缝合工艺,可减少瓣周漏发生率。此外,其适配多种解剖结构的特性,为生物瓣衰败患者提供了无需开胸的微创治疗方案,其全生命周期管理理念进一步优化了瓣膜病治疗路径。未来,国产球扩瓣Prizvalve®将以其技术优势持续赋能临床,为更多高龄、高风险瓣膜病患者重获“心”生带来希望。