

针对国内患者特点,NeoNova®独家专利设计的小半径调弯技术,让穿刺高度的选择游刃有余。尤其是对于三区病变,或是房间隔穿刺空间有限的情况,小半径可更灵活调整轴向,降低操作难度,大幅提升手术成功率。
近日,日照心脏病医院高婷雯教授团队,在复旦大学附属中山医院潘文志教授和李伟教授协同攻坚下,依托多学科精准协作,应用国产创新器械NeoNova®成功完成两例高难度经导管缘对缘修复(TEER)手术。两位患者解剖结构极富挑战,凭借超声影像结合NeoNova®设计优势的充分发挥,在术者专业精准的操作下顺利完成TEER术,两位患者术后二尖瓣反流程度显著改善,症状减轻,手术效果满意。

Case1
患者概况
患者女性,75岁,因“2个月前因活动出现胸闷、憋喘、伴气短、全身乏力、发作性咳嗽、咳痰,症状反复发作”入院,曾行冠状动脉支架植入术,门诊查心脏彩超示:二尖瓣关闭不全(重度)、三尖瓣重度关闭不全(轻度)、左房左室大、右房右室增大。
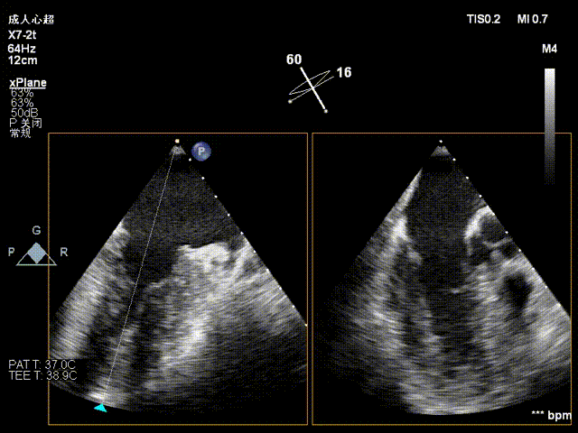
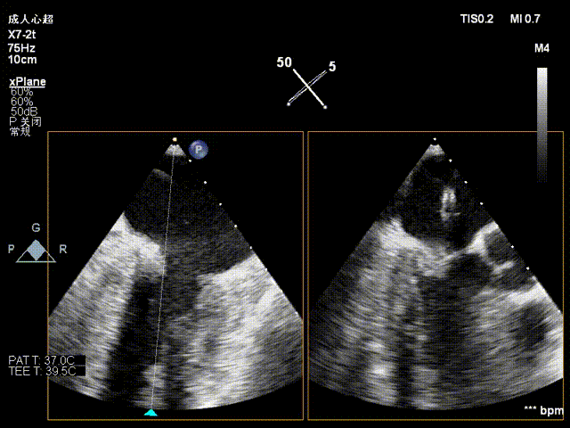
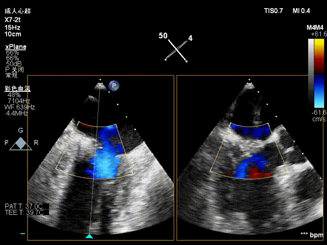
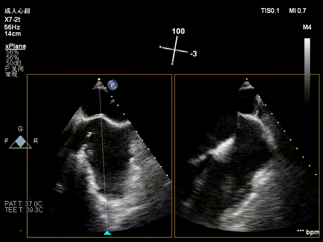
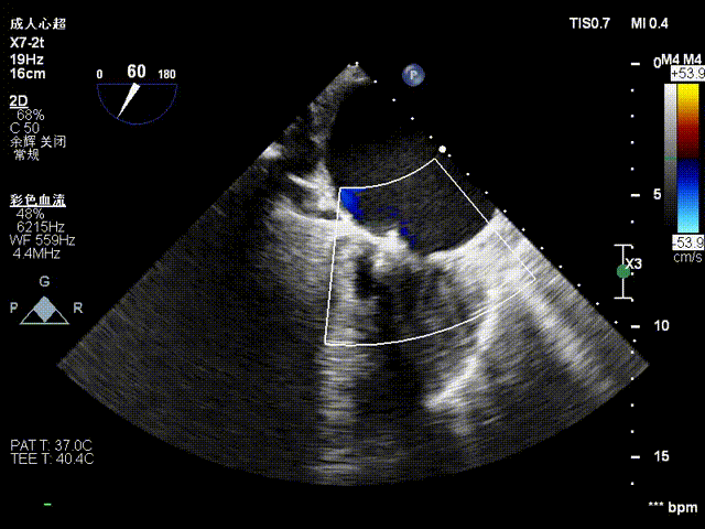
术前影像
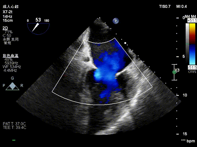
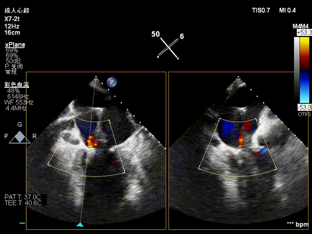
二尖瓣后瓣腱索断裂并脱垂及关闭不全(重度)




手术难点/病例特征
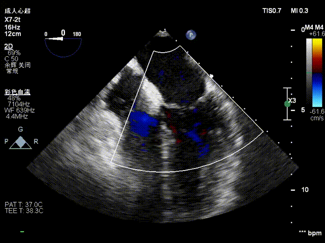
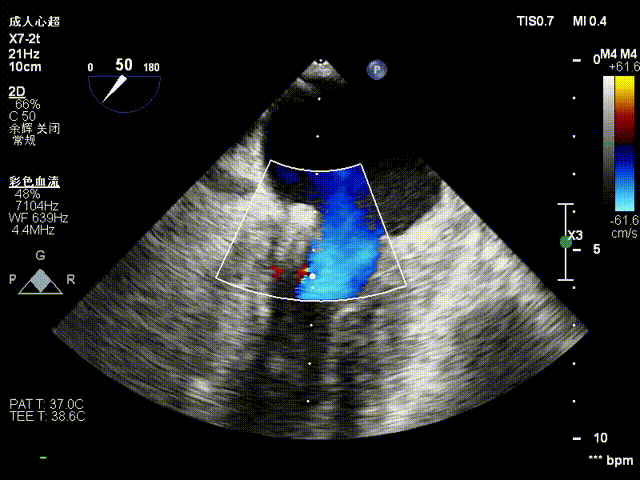
该病例为二尖瓣重度反流,后叶P3区脱垂并腱索断裂,形成主要偏心性反流,1区偏外交界处瓣叶彭隆形成第二束反流。房间隔高度仅3.75cm,穿刺高度受限,患者肺动脉高压。拟植入一枚NeoNova®C6(宽6mm)夹合器于3区脱垂处解决主要脱垂,后根据残余反流和跨瓣压差条件判断是否需要在1区反流束植入第二枚夹合器。
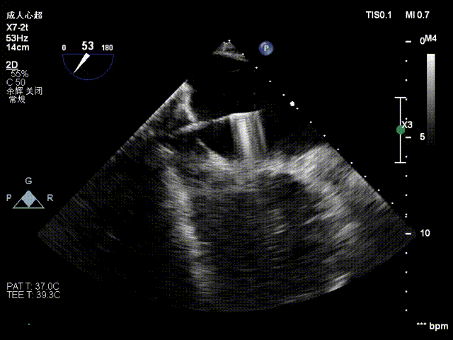
手术过程
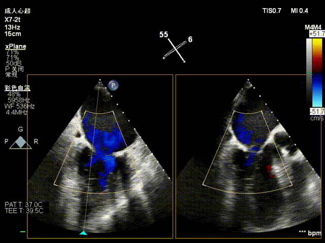
患者取平卧位,消毒铺巾后,穿刺右股静脉后置入6F血管鞘,经食道超声指导下进行房间隔穿刺,NeoNova®C6(宽6mm)夹合器沿输送系统进入左房,调整夹合器orientation,夹合器抵达3区反流处。在术者的细致操作下完成瓣叶捕获,再度确认夹合器orientation后操作Gripper down,关闭C6后评估反流量微量即操作解离。影像下显示植入一枚C6可见3区反流明显下降,改善效果明显。


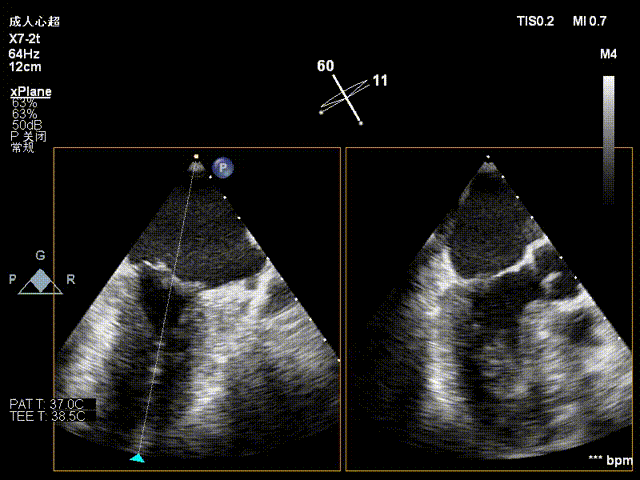
夹合器调整


夹合术后反流评估
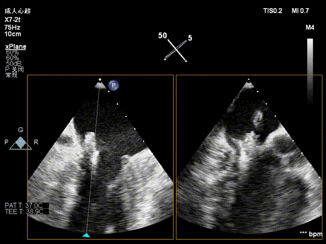
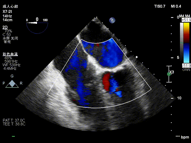
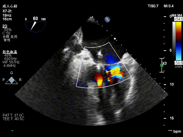
检查示组织桥明显,夹合器稳定,残余反流明显减少,降低至1+等级,二尖瓣平均跨瓣压差为3mmHg,经团队评估,手术效果达既定预期,各项指标平稳,顺利结束手术。

术后压差评估

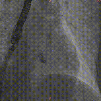
DSA
Case2
患者概况
患者女性,75岁,因“胸闷、憋喘2月余”入院,超声提示重度二尖瓣反流,三尖瓣反流(中量)
术前影像




手术难点/病例特征
该病例为二尖瓣重度反流,前叶A3区瓣叶脱垂并并腱索断裂,后叶瓣叶合并钙化,捕获瓣叶有一定难度。拟植入一枚NeoNova®C6(宽6mm)夹合器于3区脱垂处解决主要脱垂,然后根据残余反流和瓣口面积条件判断是否需要植入第二枚夹合器。
手术过程
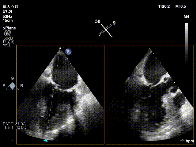
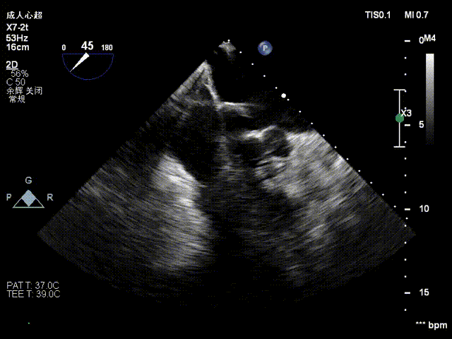
患者取平卧位,消毒铺巾后,穿刺右股静脉后置入6F血管鞘,经食道超声指导下进行房间隔穿刺,穿刺高度约4cm。

房间隔穿刺高度4cm

房间隔穿刺
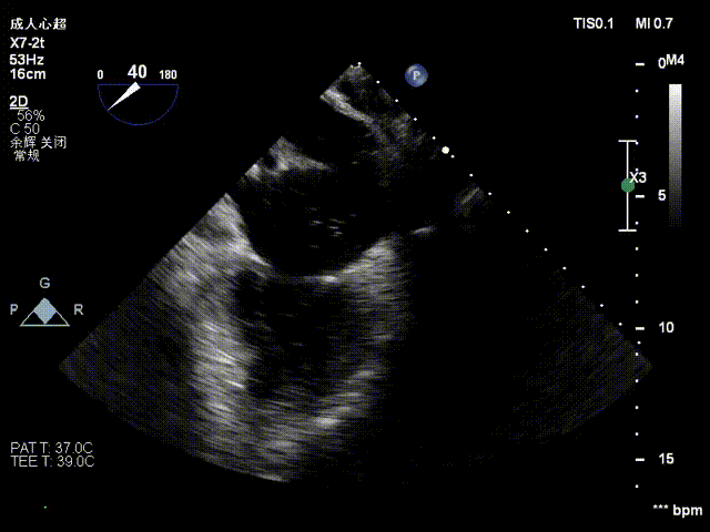
NeoNova®C6(宽6mm)夹合器沿输送系统进入左房,调整夹合器orientation,夹合器抵达3区反流处。


进夹合器

进夹合器

进夹合器调弹道
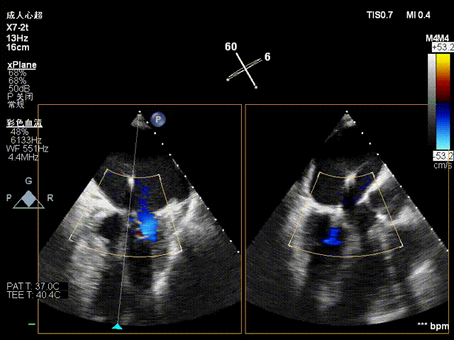
在术者的细致操作下完成瓣叶捕获,再度确认夹合器orientation后操作Gripper down,关闭C6后评估反流量微量即操作解离。影像下显示植入一枚C6可见3区反流明显下降,改善效果明显。

关夹合器

关夹合器评估

夹合器稳定性评估

夹合后反流评估
检查示组织桥明显,夹合器稳定,残余反流明显减少,降低至1+等级,二尖瓣平均跨瓣压差为2mmHg,经团队评估,手术效果达既定预期,各项指标平稳,顺利结束手术。

术后压差评估

DSA
术后总结
在二尖瓣介入治疗领域,三区病变一直是亟待攻克的临床难题,因器械调弯受限且存在腱索缠绕风险。中国首款小半径调弯的NeoNova®凭借独家技术实现突破革新,在实际应用中该优势得以凸显。此次两例均为二尖瓣三区重度反流病例,房间隔穿刺空间有限的情况下,该产品可灵活调整轴向降低操作难度,实现“小径通幽”;此外利用“一字型”延展状态跨瓣,可有效避免腱索缠绕,操作简便,为国内二尖瓣反流患者提供了更安全高效的治疗方案,期待NeoNova®惠泽更多医患。

NeoNova®独创设计
星耀二尖瓣治疗新航向

中国首款“一字型”二尖瓣夹
>避免腱索缠绕
中国首款“弹性自锁”二尖瓣夹
>柔韧适中 自动适应瓣叶强度
中国首款“小半径调弯”二尖瓣夹
>降低房间隔穿刺高度要求
中国首款提供“10 mm”尺寸二尖瓣夹
>降低多夹放置率
关于NeoNova®
NeoNova®经导管二尖瓣夹系统,由臻亿医疗全资子公司杭州端佑医疗科技出品、远大医药进行推广。今年2月获国家药品监督管理局批准上市,3月获国家C码,并已于全国全面开展临床植入。