Drvoice
严道医声网
严道脑血管网
严道医学网
Webcast
Courses
News
Meetings
Download
About Us
Search
Sign in
/
Sign up
病例分享 浦介麟 :永存左上腔患者植入Adaptive CRT一例
严道医声网
2017-08-11 17:08
自动播放
术者:浦介麟、蔡英、周晓茜
同济大学附属东方医院南部
病例分析总结
患者男性,58岁,反复胸闷气促9年,诊断扩张性心肌病。多次住院药物治疗无明显改善。心脏彩超提示,左室壁整体运动减低、全心增大、左心室收缩功能低下(LVEF〈 26% )。BNP:1286ng/L。12导联心电图显示窦性心动过速、室性早搏、左束支阻滞形、QRS〉136ms。患者造影发现为永存左上腔,决定通过右侧锁骨下静脉植入三腔起搏器进行心脏再同步化治疗。
证据引用:
窦性节律:窦律,QRS为130-149ms,LBBB,EF≤35%(药物优化后)的有症状心衰患者推荐使用CRT改善症状,降低发病率和死亡率。类别Ⅰ,证据水平B。
该病例需要选择该器械植入的理由及注意事项:
本例患者药物治疗9年无效,LVEF〈 26%,左室壁整体运动减低,全心增大室性早搏,左束支阻滞形,QRS〉136MS左室扩大。动态心电图(2017-6-26)显示窦性心律,房性心律失常总心博数为128次占心率的0.111%,室性心律失常总心搏数为5431次,占总心率的4.689%。患者左侧锁骨下造影发现患者为永存左上腔,左锁骨下静脉汇入冠状经脉窦,并与右侧锁骨下静脉无交通分支,右侧外周静脉周围血管造影,患者右锁骨下静脉经右上腔静脉汇入右房。决定经右侧植入CRT进行心脏再同步化治疗,最终顺利完成手术。
术后患者心功能改善,取得了良好的手术效果。
病史资料
1.
主要资料
就诊时间:
2017/6/22
主诉:
反复胸闷气促9年,外院诊断扩张性心肌病。药物治疗速尿、安体舒通、倍他乐克、福辛普利等症状时有反复,无明显改善。
现病史:
患者无明显诱因出现胸闷、气促加重、无胸痛、头晕头痛,无黑朦晕厥。血常规、电解质、肾功能血气分析、心梗三项未见明显异常,BNP:1286ng/L。心脏彩超提示,左室壁整体运动减低、全心增大、主动脉窦部稍微增宽、肺动脉稍微增宽、二尖瓣中量反流、主动脉瓣少量偏多反流、三尖瓣少量反流,左心室收缩功能低下(LVEF〈 26% )。12导联心电图显示窦性心动过速、室性早搏、左束支阻滞形、QRS〉136MS,R波上升不良;ST段异常,未见明显T波改变。
诊断:
扩张性心肌病、心律失常、窦性心动过速、室性早搏、左束支阻滞、心功能II级(NYHA)
既往史:
慢性阻塞性肺病、带状疱疹。否认高血压、糖尿病。
体格检查:
血压:138/91mmHg,心率70次/分
心电图
:窦性心动过速、室性早搏、左束支阻滞、QRS〉136MS,R波上升不良;ST段异常,未见明显T波改变。
其他重要辅助检查:
心脏彩超提示,左室壁整体运动减低、全心增大、主动脉窦部稍微增宽、肺动脉稍微增宽、二尖瓣中量反流、主动脉瓣少量偏多反流、三尖瓣少量反流,左心室收缩功能低下(LVEF〈 26% )。12导联心电图显示窦性心动过速、室性早搏、左束支阻滞形、QRS〉136MS,R波上升不良;ST段异常,未见明显T波改变。BNP:1286ng/L。患者左侧锁骨下造影发现患者为永存左上腔,左锁骨下静脉汇入冠状经脉窦,并与右侧锁骨下静脉无交通分支,右侧外周静脉周围血管造影,患者右锁骨下静脉经右上腔静脉汇入右心房。
2.
临床诊断
入院诊断:
1.扩张性心肌病;
2.心力衰竭,心功能III级;
3.心律失常:左束支传导阻滞,房性早搏,室性早搏。
危险评估
:
该患者心力衰竭反复发作长达9年,患者左侧锁骨下造影发现患者为永存左上腔,左锁骨下静脉汇入冠状经脉窦,并与右侧锁骨下静脉无交通分支,右侧外周静脉周围血管造影,患者右锁骨下静脉经右上腔静脉汇入右心房。,经静脉植入左室电极难度较大,手术风险极高。
诊疗策略:
入院后给予强化抗心力衰竭治疗,患者心衰症状趋于平稳。遂决定通过特殊鞘管从右侧植入心脏再同步治疗起搏器(Adaptive CRT-P,C5TR01,Medtronic)。
选用该策略器械理由:
窦性节律:窦律,QRS为130-149ms,LBBB,EF≤35%(药物优化后),有症状的心衰患者推荐使用CRT改善症状,降低发病率和死亡率。类别Ⅰ,证据水平B。
该患者药物治疗9年无效,反复住院,且年龄为58岁,患者窦性节律,房早,QRS<136ms,LBBB,EF<26%,建议使用Adaptive CRT每分钟自动AV,VV间期优化,提高患者CRT的反应率,降低患者再住院的风险,降低持续性房颤发生的概率,降低心衰入院及死亡率的风险。
手术过程
1.
手术过程
手术时间:
2017年7月5日
过程说明:
通过左室递送系统鞘管6250MPR在右侧经静脉放置起搏右房、右室、左室导线,囊袋制作。
选择静脉:
右静脉
心房导线位置:
右心耳
右室导线位置:
心尖
造影图片:
2.
手术小结
术后心电图(依照QRS优化后):
心电图编号:图2
术后管理与随访
1.
术后管理
术后检查:
术后1周患者心力衰竭症状明显改善,LVEF<33%
术后心电图QRS时限缩窄到 112 ms,术后心电图(图2)
2.
术后程控
术后程控:
术后一天
程控模式:
Adaptive Bi-V and LV
程控参数:
PAV/SAV:自动
VV:自动
诊断参数:
3.
术后彩超优化
术后程控:
术后一天
程控模式:
DDD
程控参数:
Adaptive Bi-V and LV
PAV/SAV:自动
VV:自动
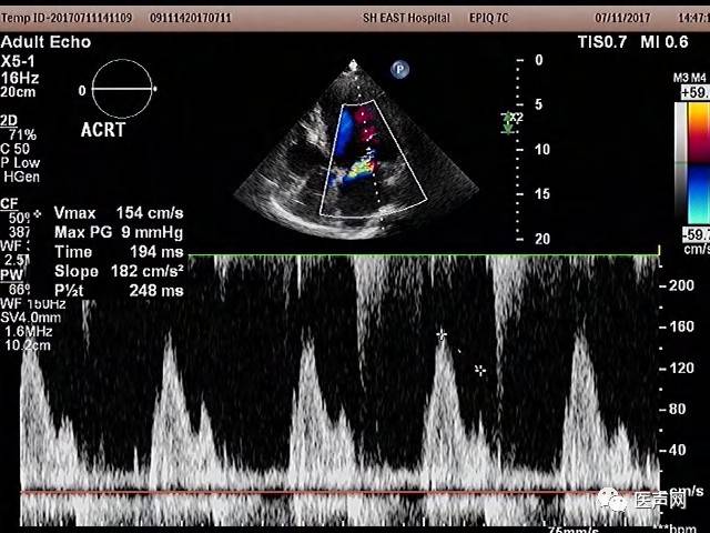
术后彩超:
阅读数: 1720