
高油高盐的饮食、快节奏的生活、久坐少动的习惯……当代人的生活方式,正在悄悄透支心血管的健康“余额”,呈现出“多部位、复合型”的发病趋势。
当主动脉瓣重度狭窄遇上髂股动脉严重钙化狭窄,传统手术往往面临“有门难入”的困境——心脏的“阀门”坏了,通往大门的“道路”却被堵死。
近日,广东省人民医院李捷教授团队迎难而上,通过下肢入路以“震波球囊+TAVR+覆膜支架”一站式组合拳,先打通“生命通道”,再置换“心脏阀门”,让患者从“无路可走”到“一步到位”。这不仅是一次技术的突破,更是对现代生活方式病的一次精准破局。

病例基础信息
患者男性,66岁
主诉:胸痛2月余
现病史:患者2月余前无明显诱因出现胸痛,伴背部放射,持续约2-3小时可自行缓解,胸闷痛与活动、进食无明显关系,未予重视,症状反复。1周前,患者因“排尿不畅”拟行外科治疗,完善心脏彩超提示主动脉瓣功能二叶化畸形并重度狭窄(瓣口面积0.8cm²),冠脉CTA提示冠心病,LCX近段管腔重度狭窄,右冠R1心肌桥。完善主动脉CT提示主动脉瓣钙化,主动脉及冠状动脉硬化,主动脉及双侧髂动脉多发附壁血栓形成;右肺上叶及双肺下叶间质炎症。予抗血小板、降血脂治疗。今至我院门诊就诊,拟进一步处理“主动脉瓣狭窄”入院。
既往史:排尿困难1年余;有高血压病史1年余;有手术史,因“腰椎管狭窄”近3年反复多次行腰椎手术,末次手术时间2024-10。
生命体征:T:36.5℃,P:76次/分,R:20次/分,BP:144/78 mmHg。
入院诊断:1.主动脉瓣狭窄(重度);2.冠状动脉粥样硬化性心脏病;3.颈内动脉狭窄(双侧重度);4.椎动脉狭窄(右侧V1-V4段重度);5.慢性膀胱炎;6.前列腺钙化灶;7.心功能ǁ级。
术前CT评估
根部结构:Type1二叶瓣(L-R型),左右之间纤维钙化融合嵴,轻中度钙化伴瓣叶增厚,瓣环:22.0mm,左室流出道 :22.1mm,瓦氏窦:33.1mm,瓣上限制区(supra-8mm):21.5mm,极小心腔。


瓣环:22.0mm
LVOT:22.1mm


SOV:33.1mm(高:9.5mm)
瓣上限制区:21.5mm


STJ:30.9mm(高:23mm)
AAO:35.7mm


LVES
钙化积分:273mm³
冠脉风险评估
左冠高度:16.1mm
右冠高度:18.5mm
左右冠高度可,瓣叶长度可,综合评估左右冠阻挡风险低。

入路分析:
走形平顺,但主动脉全程多发溃疡样病变,伴夹层及壁内血肿形成;双髂股动脉内径偏小,右侧最小内径2.2mm,左侧最小内径2.6mm,右侧合并血肿及夹层。



左侧颈总动脉走形、内径均可,少量钙化;左右侧锁骨下动脉内径小,最狭窄处分别4.3mm、4.2mm,且伴有不同程度血肿。



术前病例讨论
李捷教授
广东省人民医院
此病例瓣膜结构较好,预估瓣膜锚定可,冠脉阻挡风险也不高,属于常规病变,主要难点在于器械入路;
患者主动脉全程多发溃疡样病变,伴夹层及壁内血肿形成,其中最棘手的是双侧股髂动脉,严重狭窄伴钙化,内径极其细小,最狭窄部位的管腔大小仅2.2mm ,左右两侧股动脉均无法作为TAVR的器械主入路;
这种外周血管条件下,我们通常会考虑经颈动脉或腋动脉入路,但该患者颈内动脉、颅内血管、椎动脉均有狭窄,且有中风史,因此也无法经颈动脉或者腋动脉做TAVR;
基于上述情况,并且考量患者相对年轻,决定TAVR同期一站式解决其下肢入路狭窄的问题,由于患者股髂动脉血管钙化,因此本次手术采用血管内冲击波技术(intravascular lithotripsy,IVL)先处理下肢动脉入路钙化狭窄后行TAVR,具体手术策略如下:
1.入路:使用赛禾6.5mm外周震波球囊预处理左侧髂总动脉-股动脉钙化狭窄,应用沛嘉TaurusNavi-20F大鞘建立器械通路;
2.行冠脉造影检查;
3.TAVR操作:18球囊预扩张,植入沛嘉Taurus AV23瓣膜,瓣上0-2mm定位,最终植入深度瓣下0-2mm;
4.入路造影检查与处理:TAVR完成后,造影检查主入路血管是否有损伤,评估是否使用覆膜支架Viabahn处理,右股髂动脉狭窄评估是否震波治疗。
手术过程


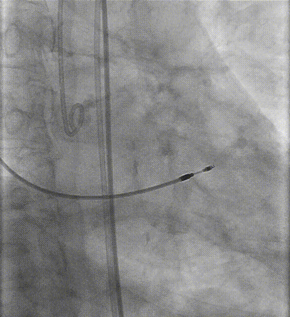
入路造影显示左髂总动脉-左股总动脉严重狭窄伴钙化
确认狭窄位置

送入v18导丝建立通路
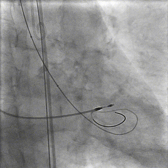
送入6.5×60mm赛禾外周冲击波球囊
定位最狭窄处充盈至4atm进行脉冲治疗
脉冲释放一个周期(20秒)后,将冲击波球囊加压至6atm并保持球囊扩张30秒,造影显示腰征消失,血管顺应性被改善


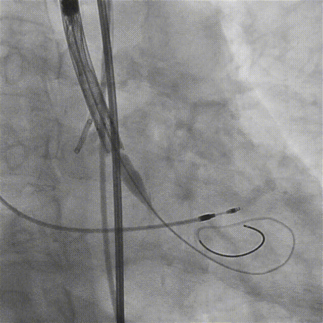
复查造影显示左髂总动脉-股总动脉狭窄较前明显减轻,管腔直径预估达到输送大鞘的要求
20F大鞘到最狭窄段置入略有阻力
随即轻柔缓慢旋转后成功置入(未保存到影像)

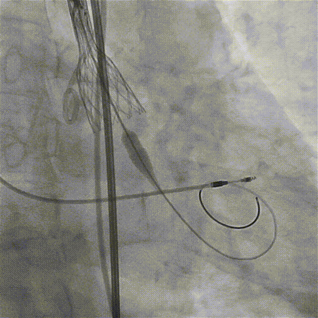
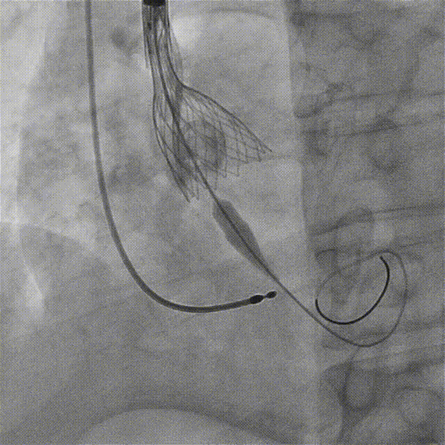
根部造影:可见瓣叶活动僵硬,无反流


18mm球囊预扩,无腰无漏,遂确定选用AV23瓣膜
AV23瓣膜初始定位,瓣上1mm
180bpm起搏下,配合导丝张力,瓣膜稳定释放至工作位

工作位造影,左右重合位下,无窦侧瓣下2mm,小弯侧半个菱形格,瓣膜形态好、同轴性佳

多角度评估,左冠切线位下,瓣膜形态呈类直角梯形,结合术前CT,无窦侧钙化为主,水平夹角不大,小弯侧深度可接受,脱钩趋势保持不变或小弯侧→大弯侧轻微,遂决定完全释放
瓣膜稳定脱钩释放

根部造影,瓣膜形态良好,位置理想,小弯轻微瓣周漏(预估左右融合嵴处);猪尾导管测压无压差
边打造影剂边缓慢撤20F沛嘉大鞘,发现血管夹层

沿导丝送入10mm×100mm覆膜支架至左髂动脉-股总动脉


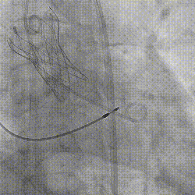
复查下肢造影显示右髂总动脉-右股总动脉明显狭窄
更换V18导丝后再次送入6.5×60mm赛禾外周冲击波球囊,充盈至4atm下进行一个周期的脉冲治疗


复查右侧髂总动脉-股总动脉造影较前狭窄明显减轻
选择J头导丝带JR4.0造影管翻山选择性造影左侧髂总动脉-股总动脉未见明显狭窄及夹层
小结
本例“震波+TAVR+覆膜支架”一站式手术的顺利完成,不仅是技术层面的突破,更折射出心血管疾病治疗范式的演进方向。
从“单病种”走向“多病共治”: 传统的亚专科细分模式,往往将心脏与外周血管割裂对待。而本例患者所呈现的正是典型的“泛血管疾病”—动脉粥样硬化这一病理基础,同时在心脏瓣膜与外周血管留下“印记”。李捷教授团队打破学科壁垒,以一站式方案回应了患者的整体需求,这正是“泛血管医学”理念的生动实践。
从“有路可走”走向“无中生有”:面对严重钙化闭塞的入路,创新者选择“开路”。震波技术让不可能成为可能,TAVR让瓣膜病迎刃而解,覆膜支架让不稳定的变得稳定。技术的叠加,最终产生的是“1+1+1>3”的协同效应。
从“技术突破”走向“范式输出”:本例手术的意义不仅在于个案的成功,更在于它为未来同类患者提供了一种可复制的治疗策略——当“道路”与“阀门”同时亮起红灯时,我们不必绕道,更不必放弃,而是可以“修路换门,一步到位”。
这,正是当代心血管介入医师面对现代生活方式病时,交出的一份有温度、有深度的答卷。
