CASE
病例分享:兰州大学第二医院胡浩主任带领其团队完成由三维标测指引经房间隔穿刺建立动静脉轨道行左室心内膜起搏心脏再同步治疗一例。


CRT心脏再同步治疗(Cardiac Resynchronization Therapy)又称为双心室起搏治疗(Biventricular Pacing)心力衰竭。
30%进展性心衰患者存在左右心室收缩不协调。经冠状静脉植入左室导线实现CRT心脏再同步治疗是结合射频,起搏,PTCA技艺,科技与经验的完美体现。
传统经冠状静脉起搏遭遇到的挑战
冠状静脉解剖异常导致:
⊙ 难以到达分支
⊙ 左室电极固定不可靠甚至脱位
⊙ 起搏阈值高
⊙ 膈神经刺激等…
⊙ 5-10%的患者不能通过冠状静脉植入左室电极

左室侧静脉缺如 冠状静脉窦闭锁
另外,在严格选择CRT指证的病例中仍有30%患者无应答, 如何优化左室搏位置以提高CRT反应率是目前的热点问题,经房间隔穿刺行左室心内膜起搏因其快速的心电传导, 更符合生理的激动顺序, 更多的起搏位置选择等独特优势, 在改善心室同步性和血流动力学、减少室性心律失常、提高导线植入成功率等方面已表现出良好的应用前景。
本例患者因冠状静脉窦口严重成角畸形,经传统冠状静脉导线无法植入,经房间穿隔刺由动静脉轨道建立法并在三维标测指引下植入左室心内膜导线,完成CRT治疗的病例。
患者资料
⊙ 38岁男性患者,无明显诱因胸闷、气短,咳嗽一年余,经正规治疗症状无改善,症状加重4天入院。
⊙ EKG:窦性心律,QRS 呈左束支阻滞型,QRS时限150ms
⊙ 心肌标志物:MY0131.10ng/ml
⊙ Echo:全心扩大,Lad 51mm,LVEDD 79mm,LVEF 26%经超声评估,室壁运动减弱,左右室间存在机械不同步
⊙ 诊断:扩张型心肌病 心功能III级
患者符合CRT 适应症

术前胸片 术前心电图 QRS150ms
手术过程

患者平卧位,接carto3标测系统,穿刺右侧股动脉,送4mm大头标测电极至左室,行左室三维激动标测,经左室三维激动标测显示,左室侧后壁为左室激动最晚部位,将大头标测电极放置该处,并X线下多体位投照,记录该位置,旨在评估激动最延迟区域是否有靶静脉覆盖,并指导左室导线靶向植入。

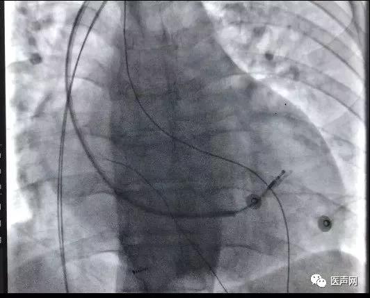
左锁骨下静脉穿刺,沿长钢丝送入可撕开长鞘,操作EP导管及AL1+泥鳅钢丝均无法进入冠状静脉,遂经长鞘造影显示冠状窦口严重成角,畸形,即改为心内膜植入。

经右侧股静脉穿刺送入Swats鞘及房间隔穿刺针穿刺房间隔到达左房,送超滑丝经过左房,二尖瓣,左室-主动脉瓣至升主动脉,降主动脉 静脉肝素3000u,每1小时追加1000u。

穿刺股动脉并送入造影导管并内置圈套器,降主动脉中圈套长钢丝并抓出体外,在牵拉钢丝过程中使股动脉中的造影导管与房间隔穿刺鞘重叠组套,建立动静脉轨道。

将撤出的导丝调转方向(软头朝前)经该自股动脉造影导管重新送至右心房,下腔静脉。经锁骨下静脉可撕开长鞘送入圈套器,于下腔静脉中抓捕导丝后从锁骨下静脉拉出体外。

沿导丝送入可撕开长鞘至左室,送入导线(2088TC 65cm)至三维标测指定的靶向位点,经测试,阈值0.5V,螺旋固定。

常规植入右房右室导线,连接机器,手术结束。
术后用药:
⊙ 螺内酯片 20mg qd
⊙ 比索洛尔 10 mg qd
⊙ 盐酸贝那普利片 5mg qd
⊙ 利伐沙班 10mg bid

术后程控优化,经AV间期及VV间期调整,对QRS宽度进行比对。

最终确认参数,AV间期190ms,VV间期为左右室同时,QRS时限为110ms。
讨论
左室心内膜起搏的优势:
⊙ 较低的左室起搏阈值,较低的膈神经刺激风险
⊙ 更多的左室起搏位点选择
⊙ 电传导快,心肌收缩力更好,更生理且不易诱发心律失常
⊙ 提高心室同步化效率,更好的血流 动力学效应
⊙ 左室心内膜螺旋电极较冠状静脉电极更容易拔出
左室心内膜起搏存在的问题
⊙ 左室电极血栓形成及栓塞
⊙ 对二尖瓣功能的影响
⊙ 手术难度相对较高,术者学习曲线较长,当前经房间隔穿刺的术式还有待改进
⊙ 患者术后需要终身抗凝
⊙ 心内膜炎的感染风险
左室心内膜起搏的CRT疗效
⊙2012年EHRA/HRS制定的CRT植入和随访建议中指出,对于常规植入左室导线不成功者,建议行左室心内膜起搏。

相对传统经冠脉静脉植入左室导线而言,左室心内膜的植入利弊可见。ALSYNC研究提供证据支持对常规不能植入左室静脉的导线的患者,植入左室心内膜导线是一种安全,有效,值得推广的疗法。
经房间隔穿刺,通过动静脉轨道建立法植入左室导线成功率高,减少房间隔创伤的风险,同时经三维标测指引,靶向植入左室导线,从很大程度上提高CRT反应率,这种方法为心衰再同步治疗提供了一种新思路,相信随着植入方法的改进及经验的不断积累,植入成功率会越来越高,CRT应答率也会越来越好。
