导语:
2018年1月20日,青海红十字医院葛均波院士工作站正式揭牌成立。期间,葛均波院士与青海红十字医院甘立军教授团队共同为一位患者行PCI手术,成功开通了狭窄血管。

病史资料
患者:男性,56岁
主诉:“发作性胸骨后疼痛1周”
既往史:既往“糖尿病”5年,大量吸烟史20支/日*20年
入院检查:查体无明显阳性体征
心脏彩超:心腔内径正常,LVEF58%,左室舒张功能减低
冠脉CT:LAD中段重度狭窄
手术策略
策略选择:冠脉造影术+PTCA(经皮腔内冠状动脉成形术)+冠脉支架植入术
操作要点:对角支应用导丝保护,选择直径3.0mm支架,精确定位支架近端。一是避免支架近端贴壁不良,二要避免支架影响对角支开口。
麻醉方法:局部麻醉
手术过程
1.术者、导管护士、技师共同核对患者身份及手术部位无误,常规消毒铺无菌洞巾
2.穿刺右桡动脉成功,给予肝素3000U
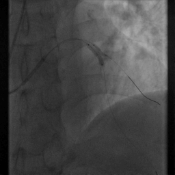
3.择5F冠脉公用导管多体位头照
结果:
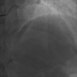
右冠优势型冠脉,LM(-),LAD近段粗大,内膜不光滑
D1开口后管状狭窄,狭窄最重90%,D1开口狭窄40-50%,前向血流TIMI Ⅲ级
LCX内膜不光滑,前向血流TIMI Ⅲ级
RCA内膜不光滑,前向血流TIMI Ⅲ级
造影结果显示:对角支发出后狭窄90%,狭窄前后血管直径相差大
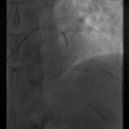
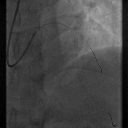
4.追加3500U肝素,择6F EBU3.5指引导管送至左冠口,Runthrough导丝送至LAD远段,择sion导丝送至D1远段
5.择2.5*15mm球囊送至LAD病变处,以12atm*8s扩张
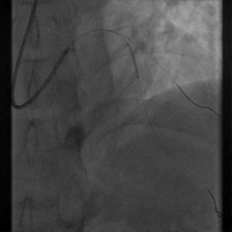
6.择resolute3.0*18mm支架送至LAD中段病变处,以12atm*8s释放支架。
重复造影:前向血流TIMI Ⅲ级,支架近段贴壁欠佳,无夹层、残余狭窄等,D1开口狭窄较先有所加重
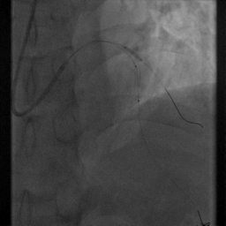
7.择2.5*15mm球囊送至D1开口处,以6atm*8s扩张
8.将支架囊送至支架近段,对吻扩张
重复造影:前向血流TIMI Ⅲ级,支架贴壁良好,无夹层、残余狭窄等。
术后患者未感不适,血压120/70mmHg,心率75次/分
9.结束手术,拔出右侧桡动脉鞘管,加压器加压包扎







术后注意事项
1.监测生命体征变化;
2.充分抗血小板、抗凝、稳定斑块治疗;
3.注意穿刺点有无出血、渗血;
4.补液促进造影剂排出
术后点评
患者冠脉造影显示冠脉重度狭窄,活动量略大即可诱发心绞痛发作,有血运重建指征。
支架直径的选择及定位是本例手术的关键
葛均波院士采用导丝保护对角支,支架精确定位,两球囊对吻扩张的技术手段,既保证支架近端贴壁良好,又避免影响对角支开口,是手术效果良好的基础。
