二尖瓣反流(MR)是最常见的心脏瓣膜疾病之一,经导管二尖瓣修复的微创介入治疗已经成为当今全球业界的发展热点。

自2018年1月起,厦门大学附属心血管病医院(简称“厦心”)王焱教授团队率先在亚太地区,应用AMEND™系统开展微创二尖瓣环成形术,取得突破性进展,至今已成功完成2例。这项高难杂交手术适用于外科手术风险高或不能承受外科手术的功能性中重度二尖瓣反流患者,术中心脏不停跳、操作创伤小、手术时间短,是由心内科、心外科、超声科、麻醉科等多学科联动的国际顶尖技术。在2017年,王焱教授带领团队赴以色列学习了这项技术。
下图1是AMEND手术的其中一位心肌梗死后缺血性心肌病合并功能性重度二尖瓣反流的老年男性患者,心功能差,左室射血分数仅35%,反流面积接近10cm2。术前食道超声评估该患者二尖瓣瓣叶,腱索等结构并无明显异常,二尖瓣环明显扩张,诊断为功能性二尖瓣重度反流。

图1 术前超声




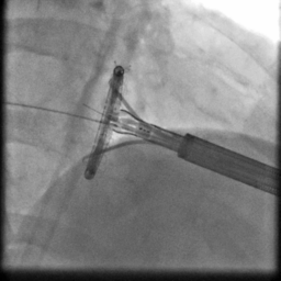
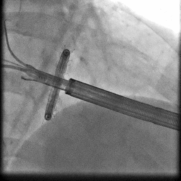
手术过程造影
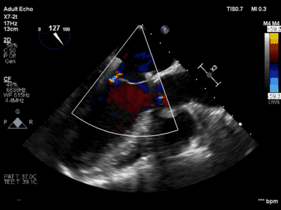
手术在厦心杂交手术室进行,患者处于全麻状态,在实时三维食道超声的指引下,心外科在患者左胸前切开4-5cm的切口,经心尖预缝荷包区域导入AMEND成形环植入系统,顺利通过二尖瓣结构中央区域进入左心房后,在体外操作AMEND系统将“D”型成型环在主动脉瓣与二尖瓣间极为狭小的空间内精确释放,并先后铆钉二尖瓣环的后叶及前叶,从而达到缩小二尖瓣环的目的(图2),这一步操作要求非常精准,稍有不慎便会损伤周围组织,引起并发症。术后即刻,患者二尖瓣反流明显减轻,达到轻度水平(图3),手术从麻醉到结束平均历时3个小时。

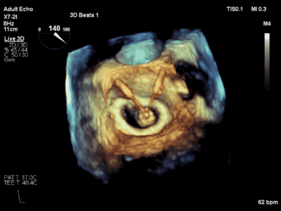
图2 术中超声

图3 术后超声
近年来二尖瓣反流的微创介入治疗技术发展迅速,各种极具有创意的技术不断涌现,AMEND系统就是其中一种突出代表,前期小范围的临床研究证明AMEND二尖瓣成形环技术能有效缩小功能性二尖瓣反流的程度,明显改善心脏功能,具有极其广泛的临床应用前景。期待该术式的出现能给广大的功能性二尖瓣反流的患者提供一条崭新的救治途径。

