
编者按:
二叶式主动脉瓣狭窄既往被认为是经导管主动脉瓣置换术(TAVR)的禁忌证,但随着手术经验的积累,这一禁忌已逐渐被打破。2018年4月7日,在2018中国南方国际心血管病学术会议上,广东省人民医院罗建方教授团队成功直播一例重度二叶式主动脉瓣狭窄的TAVR,术中应用了最新的VENUS-A PLUS瓣膜支架。与会代表直观地见证了这一高难度手术的实施过程。
患者病史资料
患者:男,69岁
主诉:反复胸闷、胸痛1年。
合并症:冠心病(陈旧心梗、左主干+三支病变、PCI术后)、脑卒中、双侧肾动脉重度狭窄。
心脏彩超:重度主动脉瓣狭窄伴轻度反流,LVEF 23%,LVEDD 62mm, Mean gradient=32mmHg,Vmax=3.74m/s。
诊断:心脏瓣膜病 主动脉瓣重度狭窄 NYHA IV级
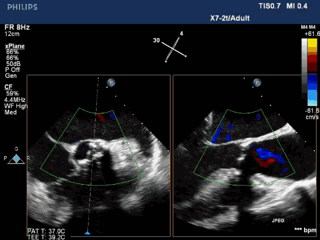
术前心超:

双平面示type 1型二叶瓣

术前全麻状态下LVEF 17.7%
术前CT:

瓣环直径28.4 mm * 19.4 mm(平均径23.9mm)
周长76.8mm
面积444.7 mm2

乏氏窦直径26.5 mm * 33.4mm (平均径30.0 mm)

左冠开口高度14.9mm

右冠开口高度 15.3mm

瓣膜中度钙化

横位心:成角57度

选择左侧股动脉入路
手术风险评估
冠心病,NYHA IV级,LVEF低,脑卒中,重度肾动脉狭窄,STS 评分高达9.96%,外科手术风险极高,经心脏团队讨论后决定行经导管主动脉瓣置换术(TAVR)
手术策略
麻醉方式:全麻
瓣膜选择:26mm VENUS-A PLUS Valve
血管入路:左侧股动脉
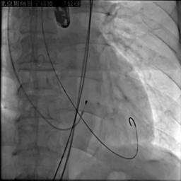
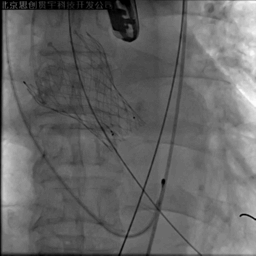
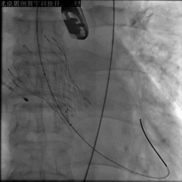
手术过程:

主动脉根部造影

20mm球囊预扩

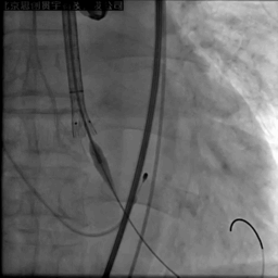
第一次释放,瓣膜位置偏高

应用PLUS回收支架,重新定位


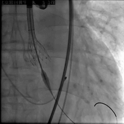
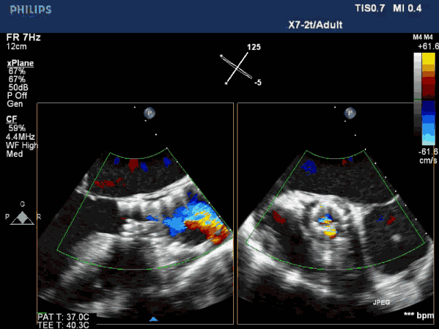
释放后造影见中度瓣周漏,彩超提示支架没有充分打开

22mm球囊后扩

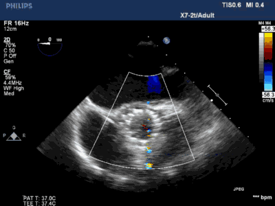
复查彩超,瓣膜贴壁良好,无瓣周漏,残余压差<10mmHg

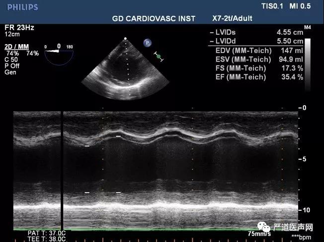
术后即刻LVEF 35.4%,较术前显著改善
术后总结
• 二叶式主动脉瓣根部结构较三叶瓣复杂,瓣膜释放后位置不佳、膨胀不全、瓣周漏的发生率较高。本案例中患者为二叶式主动脉瓣狭窄,且手术风险高,极具挑战性。新型可回收VENUS-A PLUS瓣膜支架为术者更精准调整瓣膜位置提供了可能。尤其是对于存在中重度钙化的二叶式主动脉瓣狭窄的患者,可回收支架可显著提高瓣膜植入的成功率。由于二叶式主动脉瓣的偏心结构,瓣膜释放后形态不佳导致瓣周漏的情况屡见不鲜,选择合适的瓣膜尺寸(通常选小1号)以及充分的球囊后扩,是减少二叶瓣患者TAVR术后瓣周漏发生率的有效手段。

广东省人民医院罗建方教授团队合影
罗建方教授团队简介:
广东省人民医院血管病诊疗中心以“立足心脏,关注全身”的泛血管介入理念,多学科融合综合诊治包括冠状动脉、主动脉瓣狭窄,主动脉夹层,腹主动脉瘤,颈动脉,肾动脉和下肢动脉狭窄等血管疾病。在主动脉腔内修复领域,是国内最早开展经皮穿刺主动脉腔内治疗的心血管中心。2016年4月,血管诊疗中心组建了包括心外科、心内科、CCU,麻醉科、超声科、放射科等人员组成的瓣膜病介入心脏团队,正式引进经导管主动脉瓣置换术(TAVR)。TAVR手术为大量无法耐受外科手术的主动脉瓣狭窄患者提供了介入治疗的机会,广东省人民医院是华南地区开展最早、技术最成熟的瓣膜病介入治疗中心。
团队领军人物:
心外科范瑞新主任:心外科副主任,擅长心脏瓣膜病,大血管疾病的外科手术治疗。
心内科罗建方主任:血管诊疗中心主任,擅长冠脉和主动脉,周围血管介入治疗。
心内科李光主任:心内科五病区区长,擅长冠脉介入和二尖瓣球囊扩张等结构性心脏病的介入治疗。
瓣膜病门诊时间:
罗建方:周二、周四上午
李光:周一、周四上午
李捷:周二下午
付明:周一下午