
4月25日,首都医科大学附属北京安贞医院金泽宁教授团队为一例LAD近段CTO患者成功开通血管。术者李宇医生为我们总结了该病例的基本情况及治疗经过,与大家分享。

术后合影
患者:男性,51岁,发作性胸痛1年。
2018年3月13日外院行造影检查示左优势,LAD发出后闭塞,LCX优势型,远端可见与LAD远端形成心外膜侧支,OM1闭塞,RCA闭塞。当地尝试开通RCA和LAD失败,经我院心内、外科联合讨论后,拟心内科介入开通LAD闭塞。
超声心动:

手术难点:
1、左优势型冠脉,LAD和RCA闭塞,LCX远端与LAD远端心外膜侧支提供逆供,相当于单冠脉。
2、心外膜侧支严重迂曲成襻,若逆向操作刺激LCX和侧支循环痉挛会诱发循环崩溃。
3、正向第二次尝试,难度增大。
4、单冠脉操作,在导丝保护LCX同时需要MC置于LCX远端行Tip injection起到对侧造影目的同时,KDL平行钢丝、正向ADR策略需要8F GC。
5、LAD CTO逆供发现对角支较多,正向策略转换ADR时机和位置需要精心考虑。
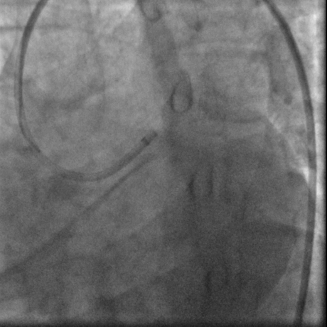
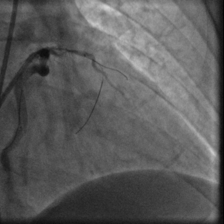
冠脉造影:









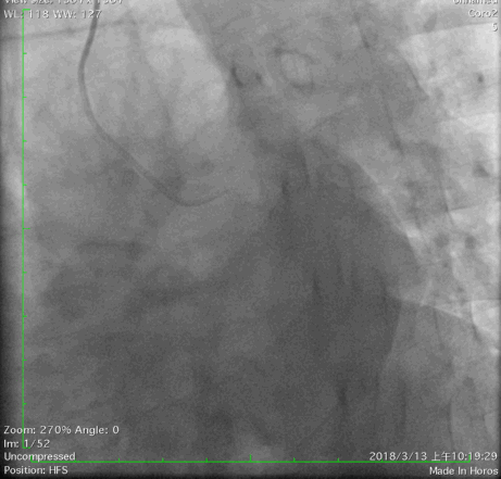
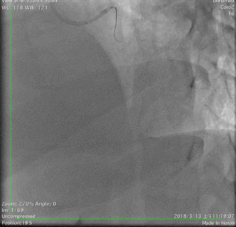
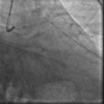
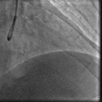
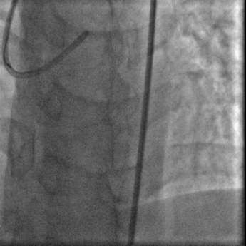
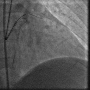
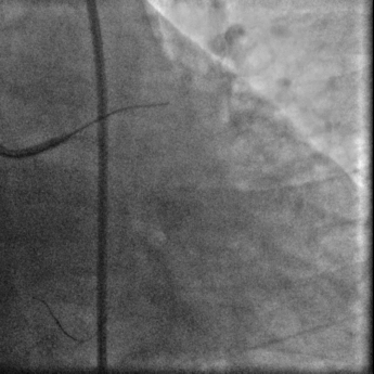
经右股动脉(8F),送EBU 3. 5指引导管指引导管至左冠开口。Sionblue导丝至LCX保护,Finecross 130到达LCX远端待命。Sionblue引导Corsair 135cm微导管进入LAD。近段纤维帽坚硬(伴钙化随后IVUS证实)尝试使用Gaia1st进入前次假腔,导丝升级Gaia 3rd谨慎前进入间隔支S1,推送corsair进入S1交换KDLC,Pilot 200导丝平行进入LAD真腔。Corsair交换Sionblue到LAD远端。IVUS证实全程真腔,闭塞段以纤维为主。植入支架完成血运重建。

右足

右头

蜘蛛位

左头


G3前进

Pilot扭身进入lad

Pilot200进入真腔


结果
IVUS影像提示导丝位于闭塞段斑块内,斑块以纤维斑块为主。
