导语:
2018年3月-6月,香港林逸贤教授联合澳门镜湖医院谭冠昶医生及其团队,创新应用Sentinel脑保护装置系统、全程食道超声介导下成功完成4例左心耳血栓患者左心耳封堵术,打破左心耳血栓患者行左心耳封堵术的禁忌。经过术者同意,严道医声网特将手术资料整理和大家共享,并附上林逸贤教授讲解Sentinel CPS系统应用于左心耳封堵术的教学短片。

手术医生:林逸贤教授、谭冠昶医生
食道超声医生:钟桃娟医生、梁逸伦医生

操作方式:全麻、食道超声介导下进行LAAO (LAmbre)
入路:右侧股静脉
手术过程:
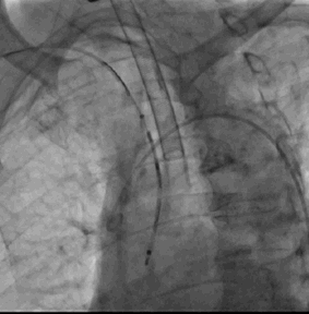
1. 患者于全麻下行LAAO术,常规消毒铺巾,经右桡动脉置入6F Sheath,右侧股静脉置入6F Sheath,左股动脉置入5F Sheath,5F pigtail后行主动脉弓造影

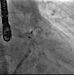
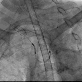
2. 经右桡动脉置入Sentinel CPS系统,释放于头臂干、左颈总动脉位




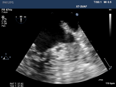
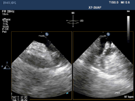
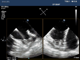
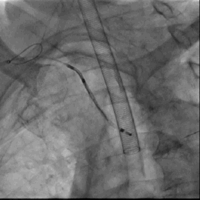
3. 经右侧股静脉置入SL1鞘管,沿鞘管送入房间隔穿刺针,食道超声下见左心耳血栓

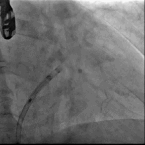
4. 超声指导下成功行房间隔穿刺,将鞘管推进至左房后予肝素7000U,SL1 导丝送左房后,超声下测左心耳开口大小后选用LAmbre 左心耳封堵器(20-26mm)




5. 超声及造影下见封堵器放置位置良好,二尖瓣及肺静脉段未见影响,测试位置固定后释放封堵器


6. Sentinel CPS系统



7. 退出LAmbre左心耳封堵器系统,术程顺利,右股静脉穿刺部位予缝线缝合,右桡动脉TR BAND加压包扎,左股动予Pro-Guide内缝包扎

Sentinel CPS系统在另一患者中應用捕抓到的左心耳血栓
术后总结
左心耳封堵术是对于心房颤动患者的脑卒中预防以及有长期抗凝治疗禁忌症患者有明显疗效。但左心耳血栓为左心耳封堵术禁忌症,以LAmbre 左心耳封堵器于食道超声全程介导下进行手术能克服这一难题,对于左心耳封堵术是一个突破。