严道医声网讯:
近日,由广东医科大学附属医院黄石安主任及团队,在麻醉科及超声科的协助下顺利完成了粤西地区首台房颤消融联合左心耳封堵治疗手术。
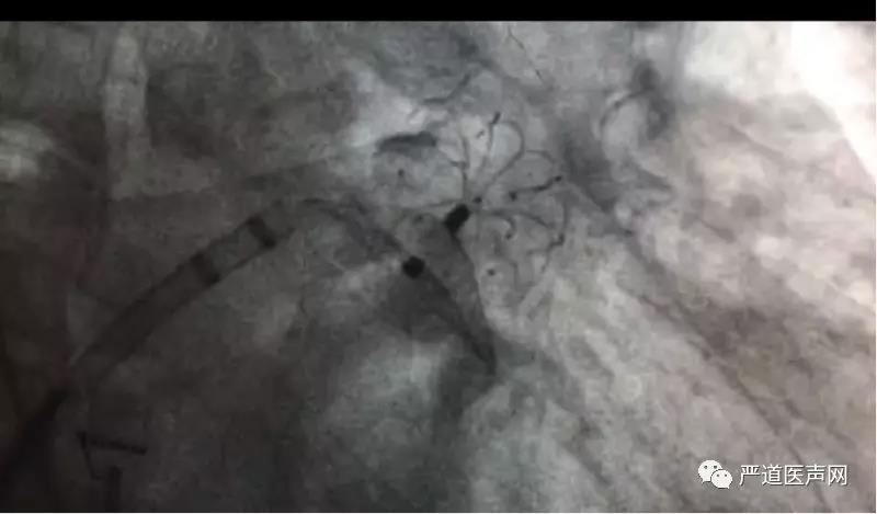
此次接受手术的是位71岁的男性患者,因反复胸痛10余年,心悸8年而入院寻求治疗,被诊断为心律失常持续性心房颤动,合并冠状动脉粥样硬化性心脏病,高血压病3级极高危组,陈旧性心肌梗死等其他病种,CHA2DS2-VASC=3,HAS-HLED=3,符合房颤消融及左心耳封堵适应症,循例对其施行房颤消融联合左心耳封堵手术。当日,在射频消融双侧肺静脉隔离完成后,置入猪尾导管进行左心耳造影,测量左心耳固定盘参考线为23.5mm,密封盘参考线为25.4mm,选用LAmbre™2632封堵器成功封堵,造影验证符合LAmbre™ COST释放原则后释放封堵器。释放后造影提示封堵完全,无残余分流;且在经食道超声0°,45°,90°,135°切面提示封堵完全,对二尖瓣及左上肺静脉结构功能无影响。

双侧肺静脉隔离

左心耳造影测量

左心耳封堵效果

术中操作

手术团队合影
我国房颤患者近1000万,房颤引起卒中的风险较正常人群高5—17.6倍。其中非瓣膜病房颤患者的脑栓塞、脑中风,其栓子90%源自左心耳。一旦发生脑卒中,轻则致残,重则致死,给广大患者及家属带来极大的危害。而预防栓塞和中风的抗凝药,有的价格昂贵,有的需要长期监测血液指标,且不能避免出血风险,导致很多患者不能坚持。
左心耳封堵术是目前全球预防房颤病人卒中的治疗新趋势,它能有效减少病人的病死率、致残率,同时减少出血的发生。对不可以长期口服抗凝药物的卒中栓塞高危房颤患者、服用抗凝药物仍反复发生卒中栓塞的房颤患者、出血风险大的房颤患者尤为适合。黄石安主任认为:LAmbre™左心耳封堵器系统操作相对简单,具备一定的左心耳封堵手术经验的术者通过较短时间的学习便可很快掌握并独立开展手术,坚定了要开展中心的信心,必将加快推动左心耳封堵手术的开展,使更多房颤患者早日接受左心耳封堵治疗。