胸痛中心

胸痛中心的工作,最核心的就是快速识别高危胸痛,快速转诊高危胸痛患者,快速完成规范的救治。下面为大家分享的这例胸痛病历,期待会带给您启发。
一、病史介绍
患者朱某,男,55岁,公司职员,2018-12-7上午10:30左右突发“胸背痛30分钟”,私家车来院(推荐乘120救护车),就诊于泰兴市人民医院胸痛中心。
患者自己描述:胸口及背部疼痛,伴大汗,无吐泻。车上自服“救心丸”,数分钟后疼痛感有所减轻;
既往有高血压病史六年,一直服用降压药。
差不多11点抵达急诊后,首诊医生立即接诊:

▲首次急诊病历记录,接诊时间11:03

▲十分钟内完成的首份心电图:窦性心动过缓,ST-T改变,尤以V4 V5 V6导联明显

▲二十分钟内的心梗三联:CKMB和MYO已经明显升高

▲双上肢血压对称
二、尴尬的胸痛
会诊时的情况:
患者仍诉胸口不适,背部也有点不适,但是,较前已经有所缓解;
体格检查:生命体征平稳,双肺无罗音,心率不快,46次/分,未闻及明显的杂音。剑突下轻度压痛,无反跳痛,无腹水征,下肢无水肿。全身皮肤无皮疹,神经系统检查正常。
患者是院内职工家属。急!急!急!
这例,支持ACS的证据有:
胸痛症状,伴出汗
左右血压对称
心电图改变
心梗指标升高
服“救心丸”症状可以部分缓解
不支持ACS,支持主动脉夹层的理由有:
背痛
心电图上相关导联ST段不上抬
心梗指标中的CKMB和MYO升高太快(30分钟内)
接下来该怎么办?
1、可以诊断NSTE-ACS或者急性非ST段抬高型心梗吗?
2、直接去冠状动脉造影?还是进一步完善其它检查?
3、要不要执行“急救一包药”医嘱?
近乎鲁莽的决定:
术者有些纠结,倾向于支持ACS,但是,内心又不能完全排除夹层。
患者又是院内职工家属,情急之下选择了冠状动脉造影。
患者口服“一包药”。
直接去导管室行冠状动脉造影:
三、冠状动脉造影



▲左冠无严重狭窄

▲右冠不好找呀!

▲非选择性右冠造影,血管通着咧!

▲在主动脉根部推造影剂,似乎也看不出太多异常
难道胸痛的原因 是冠状动脉痉挛?
胸部透视,看看心影吧:

▲胸部透视见纵隔影似乎明显增宽!是夹层吗?
接下来是经猪尾导管行主动脉造影,还是行其它检查呢?
四、冠状动脉CTA检查
考虑到主动脉夹层可能,经猪尾导管行主动脉造影不安全,接下来完成了主动脉CTA检查:




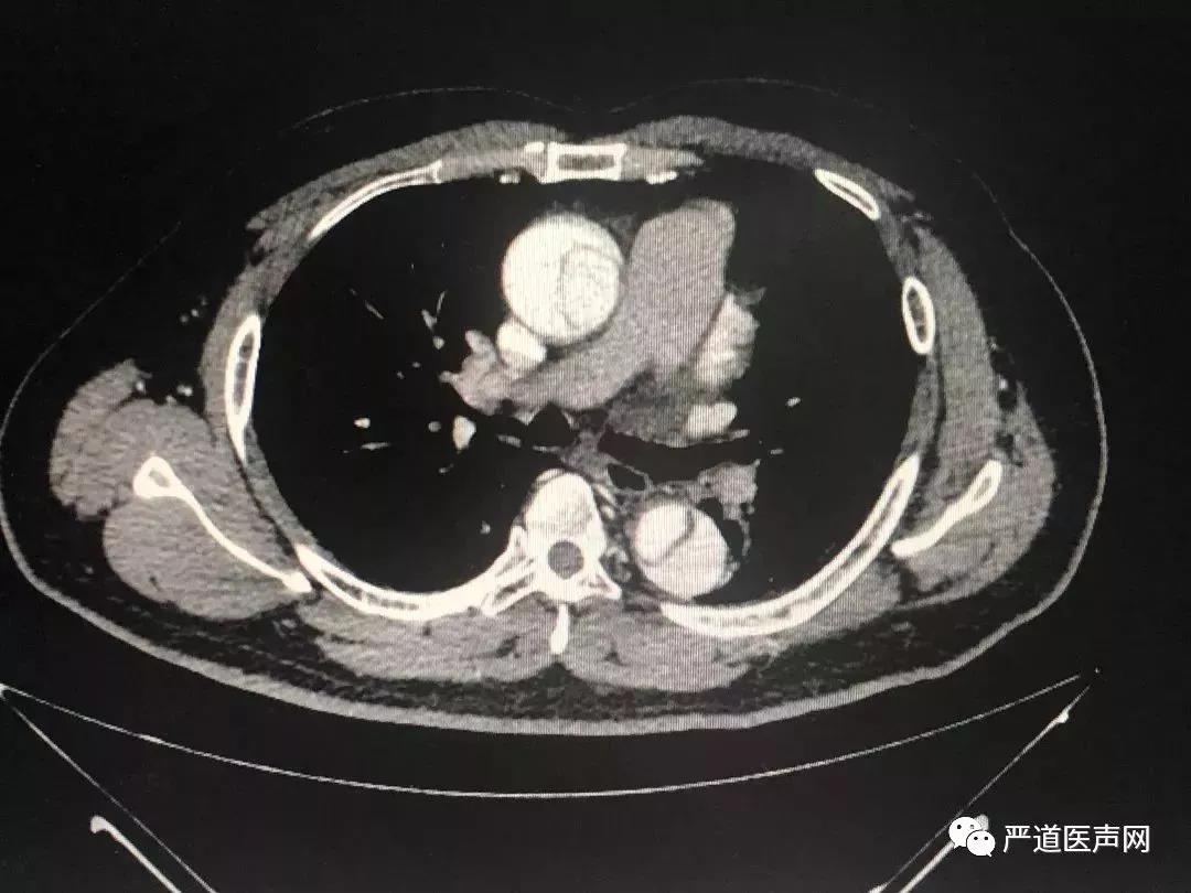
▲主动脉CT提示:自升主动脉根部开始至腹主动脉分出髂动脉之前全段夹层形成
至此,患者胸背痛的原因基本明确:1型主动脉夹层
五、患者转归
1型主动脉夹层诊断明确,嘱咐患者安静,安心,忌躁动不安。
充分医患沟通,交代到位后立即呼叫120,将患者转诊至其它医院救治。
当天下午四点,患者开始接受外科手术,晚九点多完成了手术,手术成功。
患者非常幸运。
期待他早日康复出院。
病例讨论
主动脉夹层指主动脉腔内的血液从主动脉内膜撕裂处进入主动脉中膜,使中膜分离,沿主动脉长轴方向扩展形成主动脉壁的真假两腔分离状态。主动脉夹层是一类非常危险的疾病,跟急性冠状动脉综合征、肺动脉栓塞以及张力性气胸等一起构成了高危胸痛疾病的疾病谱,是胸痛中心区域协同救治流程中需要快速鉴别、快速诊断、快速转诊以及快速有效处理的疾病。
本病相对比较少见,发病率每年为十万分之一至二十万分之一,高峰年龄是50~70岁,临床表现为胸痛、背痛和/或腹痛,65%~70%的患者在急性期内会死于心脏压塞、主动脉破裂、心肌梗死以及其它部位的缺血症状等,所以早期诊断和治疗非常必要。
胸痛中心救治的各个环节上每一位同仁都需要有主动脉夹层的概念,每一位大夫遇上胸痛患者都需要及时地进行鉴别诊断。千万不能因为只关注心肌梗死,而忽略了主动脉夹层的存在。急性冠状动脉综合征需要双联抗血小板药物治疗,而主动脉夹层在急性期是禁忌使用抗血小板药物的。所以,遇上胸痛患者给抗予血小板药物治疗前,首诊大夫最好先评估一下您面前的患者是否已经排除了主动脉夹层。
再遇胸痛,耿医生建议:
1、急性胸痛,尤其是急性高危胸痛,怀疑为主动脉夹层的,首诊大夫记得给患者抽血查D-二聚体浓度,明显升高的,主动脉夹层可能性大,完善心脏超声和/或主动脉CTA检查。排除了主动脉夹层后,才给予双联抗血小板药物。反之,诊断为主动脉夹层的,立即稳定患者的情绪,祝患者安静卧床,给予有效的降压治疗,并请血管外科会诊。
2、NSTE-ACS,即使患者胸痛持续,也需要谨慎排除主动脉夹层,再给予双联抗血小板药物。
3、首份心电图明确诊断为STEMI的,上台前,术者要亲自再评估,谨慎主动脉夹层并发的急性急性心梗。如果心里没底,推荐术前床边心脏超声检查,排除夹层后才上台。
4、院前明确诊断为STEMI准备绕行急诊的病例,上台前术者还得亲自评估病情。如果怀疑主动脉夹层合并急性心肌梗死,停下来完善相关的检查,排除夹层后才上台。
5、时间就是生命!但是,再快,也不能忙中出错,莫把主动脉夹层错误地当成急性心肌梗死。
6、STEMI合并夹层,的确有,但在临床上也只是小概率事件。争取更高比例的双绕,仍是胸痛中心今后主要追求的指标。
王斌(厦门心血管病医院):
没有ST段抬高的心跳慢不是好事情。 因为升主动脉上有很多牵张感受器,主动脉夹层发生的早期,因为主动脉壁上的压力牵张,可以激发感受器,引起患者心率减慢。
主动脉夹层发生真假腔的腔贯通后疼痛的症状可有一定程度的缓解。
即使患者真的是非ST段抬高型心肌梗死,也不要着急,排除主动脉夹层更关键。
某些极端的情况下,主动脉夹层不是急诊冠状动脉造影的禁忌。如夹层累及左主干或右冠开口并可能危及到生命,此时就可以急诊造影植入支架保持左主干或者右冠的通畅。