
CSI Asia-Pacific 2019会场速递
2019年2月22-24日
2019年2月22日~24日,先天性、结构性和瓣膜性心脏病介入治疗大会亚太分会(CSI ASIA PACIFIC 2019)在广州盛大召开。这是CSI AP大会首次在我国举行,由广东省人民医院、广东省心血管病研究所协办,会议将展现国际及亚太地区先天性,结构性和瓣膜性心脏病导管介入治疗的最新进展。
会议首日,广东省人民医院罗建方教授团队带来了一例胸主动脉腔内修复术(TEVAR)的手术直播,其娴熟的手术技巧获得了CSI AP会场专家的一致好评。

罗建方教授团队手术演示中

CSI AP会场手术转播
现在让我们来回顾这个经典的病例:
Live Case回顾与解析:广东省人民医院罗建方教授团队
罗建方教授 刘 媛教授
丁怀胜医生 张超伟医生
患者术前资料
基本情况:42岁,男性,主因“胸痛1天”入院。
既往史:高血压。
个人史:吸烟。
辅助检查:CTA示主动脉穿透性溃疡(Stanford B型,Debakey III型),参考直径24mm。


检查双侧股动脉情况确定入路。

手术流程详解
消毒铺巾麻醉
穿刺左桡动脉,置入6F PIG管行主动脉造影可见胸主动脉穿透性溃疡。
入路准备
经皮穿刺左股总动脉,预置2Proglide缝合器,建立从股动脉至升主动脉通道,穿刺左股静脉并送入临时起搏电极至右室备用。
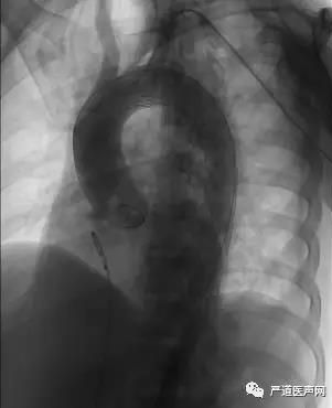
支架植入
经左股动脉沿导丝送入美敦力30*200mm胸主动脉覆膜支架,释放支架成功。

支架完全释放
复查造影示支架贴壁良好,未见造影剂渗漏。

支架释放后复查造影提示无内漏,弓上分支动脉血流通畅。
随着腔内介入技术的发展,主动脉腔内隔绝术已经成为降主动脉疾病治疗的最常用方案。此病例中,罗建方教授团队利用娴熟精湛的手术技巧,在较短的时间内便完成了手术,真正展现了中国在主动脉疾病治疗方面的成熟发展。