2019年4月2日,德诺医疗旗下杭州诺茂医疗科技有限公司(以下简称“杭州诺茂”)自主研发的“SeaLA®左心耳封堵器”CFDA注册临床中国首三例在空军军医大学西京医院成功完成,这标志着该产品CFDA注册临床试验正式开始。

应用SeaLA®左心耳封堵器参与人员合影
患者信息
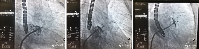
三名患者为两位女性和一位男性,年龄分别为67,76和59岁,分别患阵发性,持续性,阵发性心房颤动;术前经食道超声心动图示:三位患者左心耳均为单腔结构;术中在全麻下经导管植入了杭州诺茂研制的SeaLA®左心耳封堵器,三例封堵器锚定盘直径均为24mm规格,均成功一次性植入左心耳,术中牵拉测试产品锚定良好,术后超声造影均无残余分流,术后患者无不适,各项指标正常。

SeaLA®左心耳封堵器释放后影像图
(三位患者依次从左至右)
此例手术由空军军医大学西京医院陶凌主任团队联合中国人民解放军北部战区总医院的王祖禄主任共同完成。两位专家对SeaLA®左心耳封堵器的优异表现给予了高度评价,认为该器械手术操作过程简单,产品易植入及可靠锚定,封堵效果好,即使针对较复杂的病例也能表现出很好的效果。大家对该产品的继续使用充满信心。
心房颤动(简称房颤)是老年人中以及心脏病患者中常见的心律失常。研究证实,非瓣膜性房颤,90%的血栓栓子源于左心耳。房颤和卒中密切相关,房颤患者年卒中发生率为5%左右,相比于同龄的窦性心律人群,房颤患者发生卒中的风险增加了5倍以上。左心耳封堵术是一个出血量极小,不需要进行开胸的微创手术,其机理是通过封堵左心耳,有效预防房颤时左心耳内血栓的形成,从而降低中风的风险和死亡的风险。堵闭左心耳的关键设备是封堵器,杭州诺茂自主研制的这款SeaLA®左心耳封堵器为这一新型手术提供更多的临床选择。


SeaLA®左心耳封堵器
由杭州诺茂自主研制SeaLA®左心耳封堵器相较于其它已上市产品,具有如下优势:
可完全回收及重复释放
多重封堵,残余分流发生率低
保证有效锚定,倒刺较小,心包积液风险低
较小的输送鞘管输送,创伤小
2017年1月杭州诺茂“SeaLA®左心耳封堵器”进入CFDA创新医疗器械特别审批程序。并于2016至2017年在阿根廷和中国成功完成11例新技术临床试验植入,1年随访封堵完全、无脱落、无并发症。
2019年杭州诺茂将以中国人民解放军北部战区总医院和中国医学科学院阜外医院为牵头单位在全国开展多中心临床试验,将为更多患者提供SeaLA®左心耳封堵器产品。我们也相信未来SeaLA®左心耳封堵器凭借其独特的优势,注定将拥有无比广阔的前景。

德诺医疗是一家专业的创新生命科技产业投资、孵化及运营企业,总部位于杭州,在中国和美国设有研发中心。致力于为严重威胁人类健康但目前缺乏有效手段的重大疾病寻求有效治疗方案。德诺医疗已建设成为一个具备孵化国际前沿最新医疗技术项目的创新平台,目前拥有心衰介入治疗器械、瓣膜病治疗器械、心肌病治疗器械、外周血管介入器械、左心耳封堵器械、肺癌早期诊断和治疗器械等多个项目。

杭州诺茂医疗科技有限公司是德诺集团旗下的子公司之一,公司成立于2016年2月,注册在中国杭州滨江区万轮科技园内。2017年杭州市科技型初创企业培育工程—“雏鹰计划”企业,在德诺医疗不断开拓创新的背后,是一个强强联手的研发与运营团队,公司由医学博士、临床医师、心血管研究专家和材料专家共同组成的技术团队,多学科交叉结合,有着丰富的心脏介入器械经验。诺茂公司致力于全系列结构性心脏病治疗器械的开发探索,顺应医学发展和临床需求,将顶尖中国式创新医疗技术合理转化并走向国际化市场。