为推广CTO介入治疗的规范化发展,促进基层医生快速、扎实、规范掌握CTO介入技术,CTO介入领域的专家们倾力相助、积极推动CTO介入技术的培训与指导。在2019CIT大会上,空军军医大学西京医院的李妍教授以点评的方式,对皖宿州市第一人民医院的户学敏医师的一例齐头闭塞CTO开通操作过程进行了详细地分析与指导。

李妍教授做精彩点评
山重水复疑无路,柳暗花明又一村——齐头闭塞CTO开通1例
安徽省宿州市第一人民医院 户学敏医师汇报如下:
病史特点:
• 女性,76岁,农民
• 主诉:阵发性胸痛3天
• 既往史:高血压病史4年,最高血压190/110mmHg,不规则口服降压药物;无糖尿病史;脑梗死病史1年,否认烟酒嗜好
• 入院检查:
血压:184/85mmHg,心肺听诊无阳性体征
• 辅助检查:
心电图:下壁异常Q波,前壁R波递增不良,ST-T变化
心脏彩超:左房、右心增大,室间隔增厚
肌钙蛋白:0.12ug/L;BNP780pg/ml
• 入院诊断:①冠心病,不稳定性心绞痛;②高血压病3级(很高危)
李妍教授点评:
关注临床情况分析,加强对病变的理解
患者胸痛急性发作3天,肌钙蛋白轻度升高,前壁R波递增不良,EF正常,应考虑判断为NSTEMI。
• 可就目前信息对造影情况进行预判:不排除多支病变,曾发生过前壁心梗,一种情况可能为前降支中段为次全闭塞或重度狭窄(R波递增不良),此次发生高度狭窄基础上的急性闭塞。另一种情况前降支可能为完全慢性闭塞,而LCX或RCA出现重度狭窄是靶血管。
• 有了这样的预判,做完造影就会比较迅速的判定靶血管。
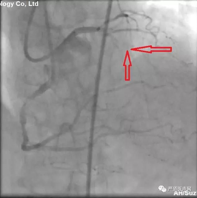
术前造影


左冠造影结果LM末端60%狭窄,LAD开口闭塞,D1近段狭窄90%,LCX近段70%狭窄
李妍教授点评:
良好的造影及细致的分析是成功的一半
尽管闭塞LAD入口不清,从蜘蛛位和肝位造影很难确定CTO入口位置,但仔细分析造影看,仍可发现,最为可能的入口为下图中两处箭头的一处。

从头位及右肩位,提示LAD走形,隐约看到对角支前降支走向。闭塞段不长,基本符合我们术前预判的第一种情况。如果造影提供信息有限,应尽可能优先使用IVUS指引下寻找入口。


右冠全程弥漫性狭窄,近段最重80%,可见朝左冠提供侧支循环
病例作者手术策略:
• SYNTAX SCORE评分34.5分,应该选择搭桥手术,但考虑该患者系76岁老年女性,家人拒绝搭桥,故选择介入治疗。
• 介入治疗可以分次处理,先处理左冠CTO病变,择期处理右冠脉病变。
• 左冠CTO起始部开口不清晰,闭塞长度大于20mm,旁边有一分支开口严重狭窄,是对角支还是中间支?按照CTOCC路径首先进行双侧造影,先尝试正向开通CTO。
李妍教授点评:
• 同意术者介入策略。RCA 虽然有狭窄,看似稳定病变,且为优势血管,并为左冠提供侧支循环,从安全性角度考虑不建议首先干预RCA。
• LAD与术前预测判断一致,是闭塞病变,其实为subtotal 病变,应首先干预,安全性更好
J-CTO 0分。
• 应注重对闭塞血管的评分,J-CTO 2分以下的开通难度较低,基层医院应首先从评分较低的闭塞病变开始。
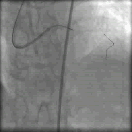
双侧造影


双侧造影显示闭塞段不长,右冠向左冠发出侧支循环供血,但是LAD闭塞段开口仍不清晰

通过双侧造影判断LAD 大致走形方向(图中箭头所示)
病例作者策略分析:
• 根据LAD血管远段走形方向,可以判定右侧分支开口严重狭窄的血管是对角支
• 先扩张对角支显示LAD近端情况,再根据LAD远段走形指导导丝方向,必要时应用平行导丝技术
李妍教授点评:
PCI术中发现闭塞血管后应当按照CTOCC、AP-CTO club等推荐的治疗流程来逐步推进,保证手术策略的正确。此病例采用双侧造影是非常正确的做法,锥形头端、闭塞段不长,应首先实施正向策略。



SION导丝送入D1远端,Sprinter1.5*15球囊扩张D1近端以显示LAD闭塞部位

D1扩张后造影显示LAD闭塞开口位于D1发出处,微导管Corsair支持下Filder XTR未能通过病变
李妍教授点评:
当CTO入口识别不清晰时,应尽可能使用IVUS指导,而不是依赖血管钙化影。在基层无法获得IVUS的情况下,首先进入对角支,小球囊扩张近端高度狭窄,使正向血流更好之后,再行进一步判断LAD走形,是一个有效的方法。反映出术者谨慎操作的良好素质。扩张时应注意不要压力过大,产生夹层,另外保证在分叉的近端部位扩张,不要跨越D与LAD分叉处。正向存在一定的微通道,首先FielderXTR或XTA导丝都是恰当的。

更换指引导丝GAIA2穿刺近端纤维帽,缓慢前行无阻力,对侧造影偏离LAD主支方向
李妍教授点评:
术者使用AWE技术,导丝升级至Gaia2,远端不在预计的LAD走形方向,没有贸然推进微导管或球囊扩张是正确的。但造影时间略短,没有充分显影血管远端,走形上判断应该进入了对角支,所以不宜轻易回撤导丝放弃,可适当回撤近端微导管,再次造影判断远端是否在对角支里,一旦确认,应当更换软导丝先保护对角支再进行后续操作。


调整指引导丝GAIA2至LAD远端,对侧造影在真腔
李妍教授点评:
在CTO介入中应当时刻注意操作细节。右图GAIA 2 导丝头端已经形成knuckle,非常容易导致LAD远端穿孔,应当引起重视,开通闭塞血管后,应注意硬导丝远端走形,及时更换为软导丝再行支架植入。

微导管Corsair无法跟进,Sprinter1.25*15球囊逐次跟进扩张


扩张后微导管Corsair跟进,交换SION导丝,Sprinter2.0*15球囊扩张


冠脉内注射硝酸甘油200微克后造影发现LAD远端血管存在弥漫性病变,前降支开口存在严重狭窄。

Firebird2.5*23支架植入

Firebird2.75*29支架串联


LM-LAD选择Firebird3.5*23支架CROSSOVER术式12atm释放
李妍教授点评:
LAD近端植入支架时未对LCX进行保护,存在回旋支受累的风险;支架定位时也未冒烟,定位的精准性难以保证,这些细节都是需要注意的。左主干口部无病变,左主干支架是否需要打到开口值得商榷。


左主干近段球囊4.0*9mmPOT后造影,左主干血流良好,回旋支未受到影响


最后结果,LAD CTO成功开通,但远端血流受限,也许之后会慢慢恢复
李妍教授点评:
• 我们应当尽可能开通或挽救所有大的分支。造影显示对角支也存在微通道,开通LAD后应在扩张前尝试放入保护导丝,尽可能保护对角支。CTO开通后丢失了这条重要的分支,十分可惜。
• 我们应当关注CTO开通后的远端血管床。本例中CTO开通后,远端出口过小,血流量不够,会引发支架血栓及支架内逐渐闭塞。应当用IVUS识别是否存在负性重塑或远端痉挛及血肿的问题。
李妍教授总结:
随着国家分级诊疗制度的不断推进以及基层医院PCI技术的快速发展,某些发展较快的基层医院已经开始开展CTO介入手术了,这是让人非常欣喜也同时需要谨慎对待的。
这个病例展示了我们基层医院医生对于CTO介入的策略制定与技术掌握已经打下了不错的基础,但一些手术细节上仍暴露出了一些问题,需要我们引以为戒,我们要记住的是:
●CTO介入中最难的是导丝通过闭塞段
●对于患者来说最重要的是闭塞血管血流以及心肌供血的恢复,同时更要全程保护原先正常的供血血管。
警惕!一个细小的错误可能导致全盘皆输,甚至比不做CTO更糟。
基层医院在开展CTO介入手术时应当注意:
从JCTO评分为0~1分的简单病例开始,严格按照CTO标准流程进行,坚持双侧造影及规范化造影,加强基本功的训练,避免并发症的发生,尽力保护所有大的分支及侧支循环,在有IVUS的条件下关注远端血管床,保证患者的远期预后安全。
这个病例的名称是:山重水复疑无路,柳暗花明又一村。
我希望广大基层医院的介入大夫能在刻苦提高CTO介入技术后真正做到:识得庐山真面目,看似无路心有路!