处理冠状动脉分叉病变,为防止边支丢失,边支的保护非常重要。下面给您分享的一个病历,左主干分叉病变,同侧一根指引导管一次使用5根导丝来进行多边支保护,几乎达到了极限。期待本文会引起您的兴趣……
一、冠脉造影基线资料







回旋支开口狭窄90%,
中间支开口狭窄90%,
左主干尾部狭窄50%并延展至前降支近段,
前降支近段病变伴中段局限性狭窄
二、手术策略
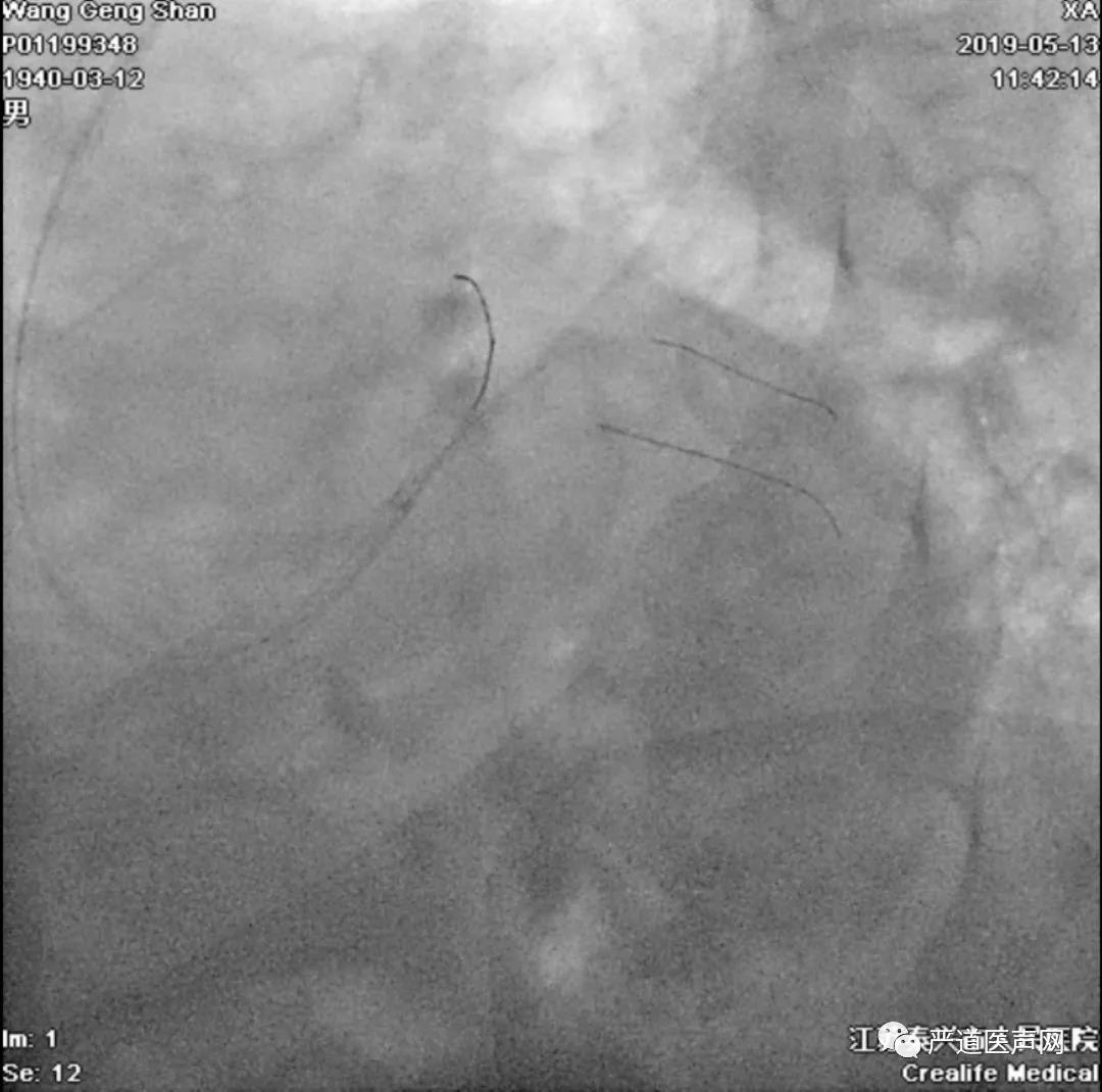
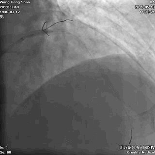
导丝分别至回旋支、中间支和前降支;
处理前降支中段病变;
第一第二对角支导丝保护,前降支近段植入支架;
小球囊预扩张回旋支开口,前三叉拟单支架术式;
回旋支球囊拘禁,前降支-左主干植入支架;
交换回旋支导丝,前降支-左主干支架后扩张;
左主干近段优化;
冠脉内超声评估。
三、手术经过
01 导丝进前三叉分支

02 处理LAD中段病变

上图,球囊预扩LAD中段病变


上图,LAD中段植入支架
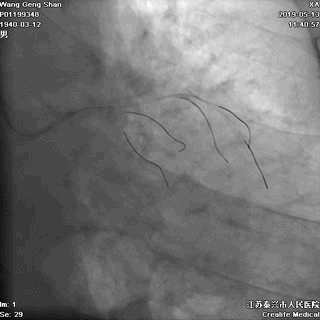
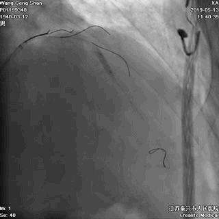
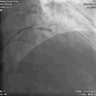
03 第一第二对角支保护


对角支导丝到位
左冠共计5根导丝



前降支近段支架植入后用非顺应性球囊高压扩张
04 处理回旋支

撤出对角支导丝

小球囊预扩张回旋支开口病变
05 LM-LAD支架植入

右头位定位

蜘蛛位定位

LCX球囊拘禁,主支支架释放

回撤LCX球囊

支架球囊再次扩张支架
06 LM-LAD支架后扩张


交换回旋支导丝,非顺应性球囊顺序高压扩张
07 LM支架近段优化(POT)

左主干近段用大一号非顺应性球囊行高压扩张
IVUS评估,支架贴壁良好。
四、最后结果




五、避免导丝缠绕

湿纱布分层叠放导丝
采用上图所示的方法,用湿纱布将5根导丝分层叠放,可以在一定程度上缓解导丝的缠绕。
为了防止导丝缠绕,建议您在推送下一根导丝去边支的时候,尽可能不要旋转导丝,以减少导丝主动缠绕的机会。

当然,本例仅作为手术个案,同侧一次使用5根导丝进行操作,相当繁琐,且容易出错,笔者不推荐大家模仿。你完全可以采用空间腾挪、分步边支保护以及乒乓策略(上图),来减少一根导管内同时操控五根导丝的窘境。
六、术后总结和思考
重视边支血管的保护,争取不丢失每一根边支血管;
根据病变血管的情况,合理选择边支导丝保护或球囊拘禁策略;
简单分叉病变,推荐单支架术式作为首选策略;
复杂分叉病变,估计边支丢失可能性极大的,推荐双支架术式作为初始介入策略。有经验的术者也可以尝试单支架术式+边支药物球囊的策略;
分叉病变支架植入后,非顺应性球囊高压扩张前,推荐交换边支导丝后再进行高压后扩;
莫轻视任何一个分叉病变,推荐做好最坏的打算(边支丢失),把预防边支丢失的功课做足,免得边支丢失后找不回来再来后悔;
防止多根导丝缠绕,湿纱布导丝分层叠放是一个行之有效的方法。
弹指一挥间
转发,产生力量!