状动脉慢性闭塞病变(CTO),因为血管闭塞的时间相对较长,血管走向不明,解剖结构不清,所以,开通这类血管越发地显得困难重重。尽管如此 ,遵循慢性闭塞病变中国俱乐部(CTOCC)CTO-PCI专家共识,术前认真读图,制定周详的血管开通策略,综合运用各种技术手段(前向、逆向、IVUS和ADR等),有经验的术者开通这类血管的成功率仍然可能会超过90%。本篇为入门篇,以一例双支CTO病变为例,旨在通过比较冠脉CTA和冠脉造影两种影像资料的不同,来凸显冠状动脉CTA检查的优势。同时,意在提醒大家,开通CTO病变前,不要忘了最最基础的冠状动脉CT检查……

CTOCC CTO-PCI流程图,首行凸显CCTA地位
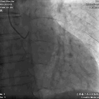
一、冠状动脉造影

右冠几乎齐根闭塞
右向左无侧枝循环


LM分叉处相对正常
回旋支发出侧枝逆向供应右冠
右冠闭塞出口处有分支血管发出

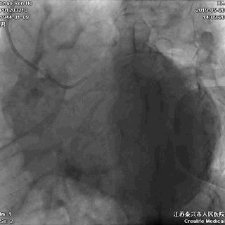
LAD发出第一对角支后即慢性闭塞
闭塞入口显示不清
闭塞出口处血管相对比较“健康”
LAD闭塞段小于20mm




LM分叉相对正常
未见提供LAD的逆向侧枝
推测LAD存在前向微孔道
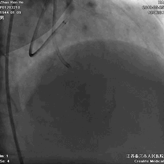
二、双侧冠状动脉造影(1周后)


LCX提供侧枝逆向供应右冠
侧枝血管粗,弯曲小而少
RCA几乎齐根闭塞,非锥形残端
闭塞入口处有分支发出
闭塞出口处发出分支血管
CTO闭塞段长度小于20mm
三、冠状动脉造影的局限性
冠脉造影资料固然提供了相对比较详尽的闭塞血管的信息,但是,仍有不足:
闭塞段血管是否存在钙化 ,是在近段、中段,还是在末段钙化?是内膜钙化,中膜还是外膜钙化?
闭塞段血管的走向,是直线还是曲线?
闭塞段内是否有分支血管发出?
那么,冠状动脉CTA是否可以给CTO病变带来些额外信息呢?
四、冠状动脉CT(CCTA)
关于LAD




LAD CTA特点:
1、LAD发出第二对角支后即慢性闭塞;
2、闭塞入口不太清楚;
3、闭塞近段存在内膜钙化;
4、闭塞段血管的走行相对较直;
5、闭塞出口相对“健康”;
有了上述信息,再结合冠脉造影资料,开通LAD CTO就有了方案:
1、前向开通;
2、IVUS实时指导寻找闭塞入口;
3、XT系列导丝引导;
4、遇上阻力,升级Gaia或CP系列;
5、平行导丝技术;
6、ADR;
7、IVUS评估和优化支架植入。

IVUS实时指导寻找LAD入口

开通后的LAD
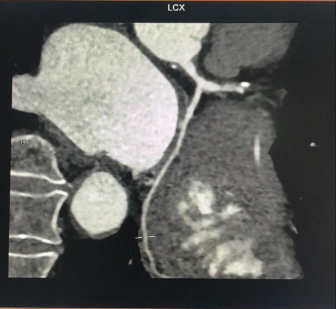
关于LCX






LCX CTA特点:
1、LCX血管相对比较“健康”;
2、LCX近中段发出比较粗大的侧枝逆向供应右冠左室后支,侧枝血管仅轻度扭曲;
3、LM前分叉相对“健康”。
有了上述信息,结合冠脉造影资料,逆向开通RCA就有了一根条件相对比较好的侧枝血管。
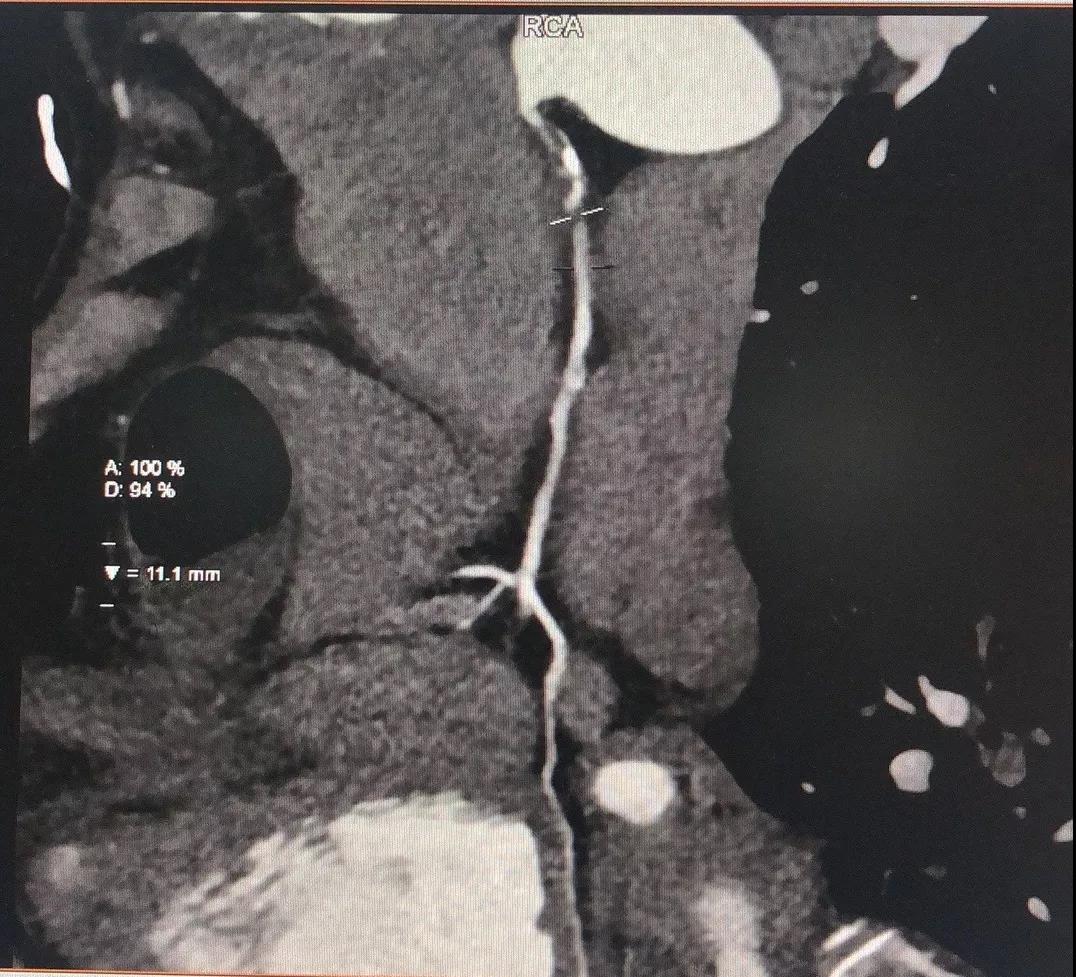
关于RCA





RCA CTA特点
1、入口清楚;
2、闭塞段长度小于20cm;
3、闭塞段血管无明显扭曲;
4、闭塞段内有两处明显的钙化斑块;
5、闭塞出口处血管相对比较“健康”;
6、侧枝血管汇入左室后支;
7、后三叉处的血管相对比较“健康”。
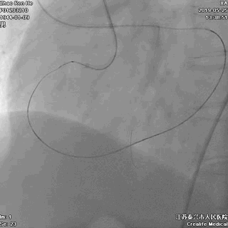
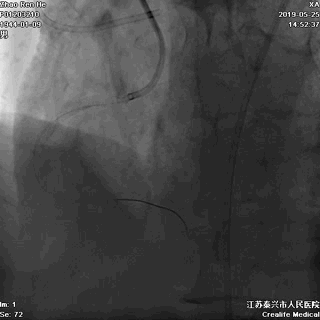
有了上述信息,再结合冠脉造影资料,开通RCA就有了比较清晰的思路:
1、逆向导丝抵达闭塞出口,Fielder系列引导,迅速交换CP或Gaia3导丝逆向进攻;
2、灵活使用Knucle技术;
3、前向CP或Gaia3导丝正向准备;
4、正逆向导丝交汇/无限接近;
5、Re-Cart,Kissing Wire,AGT;
6、IVUS评估和优化支架植入。



逆向途径开通RCA
五、冠状动脉CT检查的优势
相较于冠状动脉造影,冠状动脉CT(CCTA)具有自身的优势:
1、无创检查,患者依从性较好;
2、了解闭塞入口的情况:有无残端,有无重要的分支发出;
3、了解血管闭塞段有无钙化斑块,是内膜下,还是其它;
4、了解血管闭塞段走行是否扭曲;
5、了解血管闭塞段有无重要分支发出;
6、了解血管闭塞段的长度;
7、了解闭塞出口处(landing zone)血管的“健康”情况;
8、了解血管闭塞出口处有无重要分支发出。
基于上述信息,CCTA可以丰富血管闭塞段的信息,结合冠状动脉造影,可以为术者提供更为完整的血管信息,从而帮助术者制定更为合理的血管开通策略。
六、哪些情况更需要CCTA评估
几乎所有的CTO病变都需要CCTA评估。但是,下列情况更需要CCTA检查:
1、入口不明的CTO病变;
2、无锥形残端的CTO病变;
3、之前操作失败过的CTO病变;
4、齐口闭塞的CTO病变:RCA齐口闭塞,LAD齐口闭塞;
5、血管闭塞段走向不明的CTO,尤见于RCA近段闭塞的长段CTO病变;
6、闭塞段血管长度超过20mm以上的CTO。病变越长,越需要CCTA评估。
核心提示
跟CT室老师多交流!