2019年12月31日厦门大学附属心血管病医院王焱院长及王斌主任心脏团队为82岁陈奶奶实施了经导管主动脉瓣置换术,手术非常顺利。这例病例病情非常危重,术前反复发生晕厥症状,入院后予以抢救,行气管插管及主动脉内球囊反搏术(IABP)。病情稳定后即予急诊行经导管主动脉瓣膜置换术(TAVI),术后患者病情得以明显改善。本院作为目前国内独立开展TAVR手术的单位之一,持续让更多高龄高危心脏瓣膜病患者享受到微创手术治疗。

82岁陈奶奶,入院前10多天无明显诱因出现晕厥症状,未予重视。1天前陈奶奶呕吐后再次出现晕厥症状,持续20分钟,伴有持续性胸痛,伴肢体抽搐,伴大小便失禁。即于当地医院就诊,查肌钙蛋白明显升高,考虑非ST段抬高型心肌梗死,为求进一步诊治12月17日转诊我院。
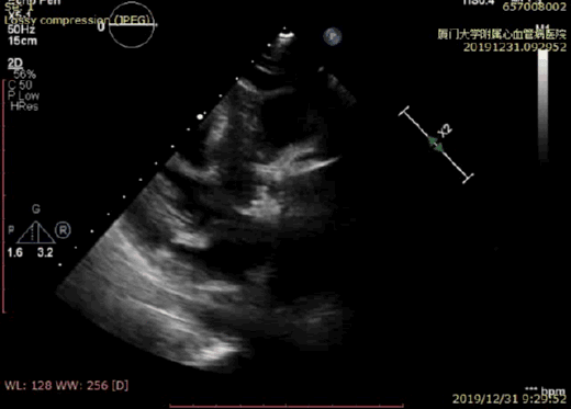
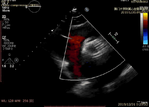
入院行床边超声提示:主动脉瓣重度狭窄伴轻度度关闭不全(Vmax: 4.4m/s,PGmax: 79mmHg,PGmean: 49mmHg,,AVA0.3cm2,EF: 59%);室间隔基底段增厚,左室下、后壁基底段运动幅度相对减低 ;二尖瓣后瓣环钙化伴中度反流;左室整体收缩功能正常。
冠脉造影提示:右冠优势型,三支血管病变,LAD中段狭窄60%,D1近段狭窄80%,LCX远段狭窄90% ,RCA中段50%。TIMI血流3级,未见闭塞血管。
王焱院长结合病人病情及检查结果,考虑晕厥及胸痛的原因为重度主动脉瓣狭窄所导致。病人病情危重,随时可能出现恶性心律失常甚至猝死等危及生命危险。立即行主动脉内球囊反搏术(IABP),IABP是一种对左心功能衰竭的辅助治疗方法。通过物理作用,提高主动脉内舒张压,增加冠状动脉供血和改善心肌功能。现广泛应用于心功能不全等危重病患者的抢救和治疗以及高危心脏病人的术前准备。

IABP
陈奶奶的主要病因是重度主动脉瓣狭窄。主动脉瓣就相当于心脏的“门户”,狭窄就像“门”堵住了,血液流不到外周脏器,心脏功能会越来越减退,随时都有死亡的可能。IABP是一种保守的治疗方法,能改善左心功能,改善心衰症状,但是不能解除病因。陈奶奶已是82岁高龄,而且病情危重,若进行开胸手术风险太大,建议陈奶奶择期行经导管主动脉瓣膜置换术(TAVI),但因费用问题,于12月21日拔除IABP自动出院。
12月24日陈奶奶突发呼吸急促,意识不清,呕吐大量非咖啡色胃内容物,于12月25日凌晨2时再次来我院。入院诊断考虑:心脏病瓣膜病:重度主动脉瓣狭窄、冠心病、三支血管病变、非ST段抬高型心肌梗死、肺部感染(吸入性肺炎可能性大),入院后予维持生命体征、抗血小板、抗感染等支持治疗。12月25日上午8时陈奶奶出现神志淡漠,气喘不适,血氧饱和度及血压进行性下降,立即予抢救并气管插管,呼吸机辅助呼吸,再次置入IABP。于2019年12月31日行TAVI手术。TAVI手术不用开胸,仅需穿刺血管,通过导管输送人工主动脉瓣膜到达心脏完成瓣膜置换。

术前超声显示瓣叶钙化,活动度明显受限

术前CT:三叶瓣,中度钙化,钙化主要分布于瓣叶边缘

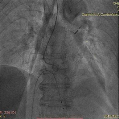
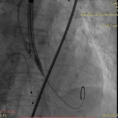
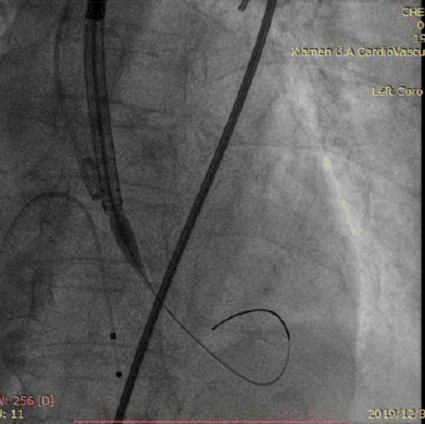
直头导丝跨瓣

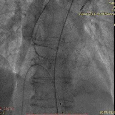
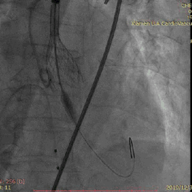
TAV8-1722球囊扩张




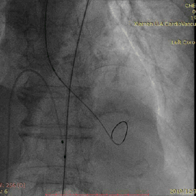
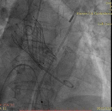
释放VenusA-Valve L26瓣膜

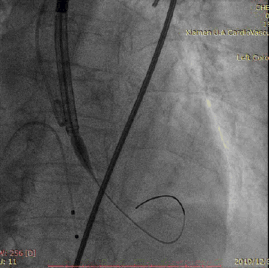
瓣膜释放后造影

术后超声显示瓣膜位置良好

术后超声显示无瓣周漏

术后超声显示压差明显降低

不到2小时的手术时间,王焱院长带领的心脏团队成功完成了TAVI手术。陈奶奶主动脉瓣重度狭窄的情况得以解除,主动脉根部-左心室压差由术前的74mmHg降到了4mmHg,患者左心功能恢复正常,术后即撤除了IABP。
TAVI是目前国际上最先进、最微创的心脏瓣膜置换技术,同时也是一项操作难度大,考验多种学科实力的“抱团”手术。早在2014年厦心就已率先于省内开展这一高新微创技术,在王焱院长带领的TAVI团队已独立完成了50余例经股动脉主动脉瓣置换手术,具有丰富的经验。团队多次前往国外培训,现已成熟开展,处于全国领先地位。
厦心已先后成功为多名病情危重或合并其他重要疾患的主动脉瓣狭窄或伴主动脉瓣关闭不全的高危患者完成经股动脉主动脉瓣置换术,受到患者及家属的高度好评。随着TAVI技术的不断发展以及临床数据的不断累积,新的微创治疗方法为这些患者带来新的生存希望。