供稿:复旦大学附属中山医院 葛雷 马元吉
非常时期,受疫情影响,各地医院纷纷调整就诊流程,手术也择期开展,对于心内科同样如此。然而疫情并未改变CTO同道们探讨、学习的热情。在关注前线抗疫情况的同时,他们醉心学术,笔耕不辍。
2020年2月25日,复旦大学附属中山医院葛雷教授在微信群内分享了一例右冠开口“刁钻”的特殊CTO病例,很快引起了群内多位专家的热烈讨论。
“外院两次尝试均失败,右冠开口于左冠窦,试了我们导管室几乎所有的指引导管,最后只有 BL 3.0可以靠近右冠开口”葛雷教授介绍道。
这也是葛雷教授春节后的第一例CTO手术。
葛均波院士在看完术后影像时也表示:“结果很好。”同时指出,“进Transporta Ge 的时候一定要铆住远端推送。”
严道医声特别将病例详情呈现如下,供广大同道探讨:
病史概要
基本资料:患者老年女性,79岁,主因“胸闷半年余”入院
现病史:患者半年前开始出现胸闷,活动不受限。外院外周动脉超声提示:颈动脉、股动脉、腘动脉斑块形成,逐步完善冠脉CTA提示右冠完全闭塞,于2019年10月26日外院冠脉造影提示LM未见狭窄,LAD狭窄50%,LCX未见明显狭窄,RCA起源于左冠窦,中段完全闭塞,尝试Fielder XT/Gaia等导丝无法通过闭塞段,遂放弃。
既往史:有高血压、高脂血症病史。
专科查体:血压160/90mmHg,心率68bpm,律齐,各瓣膜区未闻及明显病理性杂音,周围血管征(-),双下肢无浮肿。
入院心超提示:室间隔基底段增厚,LVEF67%。
入院诊断:冠状动脉粥样硬化性心脏病,高血压病,高脂血症
手术过程
术者:葛雷、马元吉
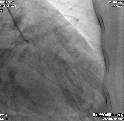
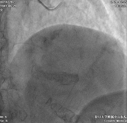
术前造影
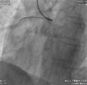
LM未见狭窄、LAD近段狭窄50%,中段30%,D1近中段狭窄80%,、LCX中段狭窄30%、OM未见明显狭窄,RCA近段狭窄50%,中段完全闭塞,远段由自身桥侧枝及心外膜侧枝血管提供显影(图1-3)



图1-3
介入治疗过程
心外膜侧枝血管较为迂曲,尝试正向开通:
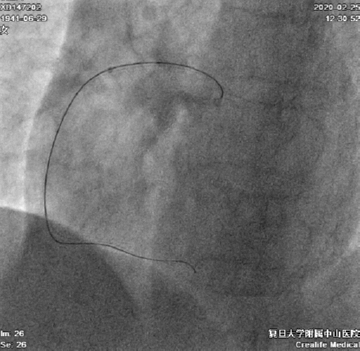
患者右冠异常开口于左冠窦,经左侧桡动脉先后尝试置入7F SAL 0.75SH、1.0SH、EBU 3.5SH、BL 3.25指引导管均无法到达右冠口,最终BL 3.0指引导管成功送至右冠口(图4)

图4
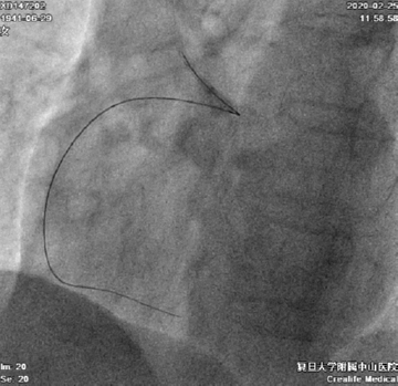
在135cm Corsair微导管支撑下0.014’’Sion送至RCA中段闭塞处,换入Fielder XTR导丝很快通过闭塞段,送至右冠远端。(图5)

图5
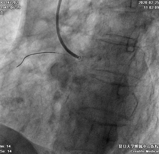
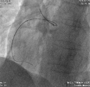
导丝通过后,Corsair微导管无法通过,在球囊辅助下尝试送入6F Guidezilla II,尝试球囊扩张右冠近段、锚定,均无法送入Guidezilla II(图6)

图6
换用4F Transporta GE成功送至右冠中段(图7)

图7
送入Tazuna 1.25*10mm、Artimes 1.0*10mm小球囊,支撑力不够,Transporta GE回弹(图8)

图8
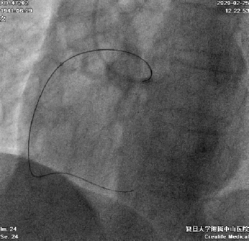
用Sprinter 2.0*15mm、Tazuna 2.5*20mm球囊连续高压序贯扩张右冠近中段多次,此后小球囊顺利通过RCA中段闭塞段(图9-10)

图9

图10
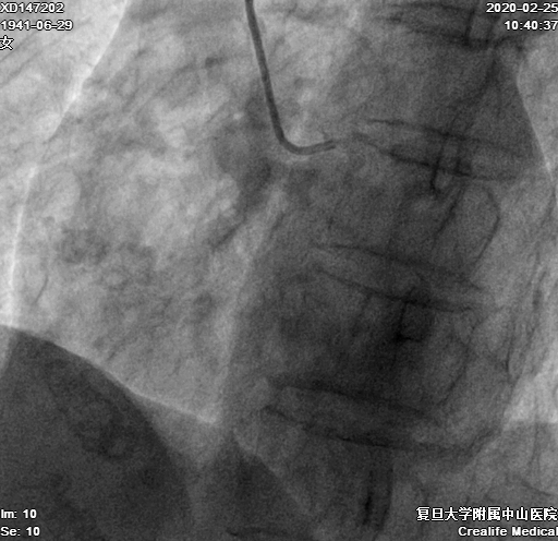
最终结果(图11)

图11
讨论
1.对于右冠开口异常,且开口有成角的病变,常规指引导管到位率低,BL系列导管因其自身导管张力较低,可操控性较高,但缺点为缺乏支撑力。
2.Guidezilla II虽较前一代产品有部分改进,但对于开口异常、成角、指引导管缺乏支撑力的病变,其通过性、可操控性仍有欠缺。
3.Transporta GE相对于Guidezilla II,其自身张力、管径更小,在开口异常、成角、指引导管缺乏支撑力的情况下,可操控性更强。
4.推送Guidezilla导管或Transporta GE时,建议沿球囊导管推送,必要时可先在靶血管内充盈球囊,然后推送。
5.小球囊无法通过闭塞段时,除了加强支撑力(指引导管、Guidezilla II、Transporta GE),闭塞段近端球囊连续高压序贯扩张,可能有助于小球囊通过。