2020年03月27日,沛嘉医疗科技(苏州)有限公司自主研发的TaurusElite™经导管主动脉瓣系统于空军军医大学西京医院完成本中心首例临床试验。手术由空军军医大学西京医院陶凌主任团队及四川大学华西医院陈茂主任团队的冯沅教授在相关科室协助下共同完成。

术前评估
患者为70岁女性,慢性病程、急性起病,既往高血压病病史20余年。
心脏彩超
主动脉瓣重度狭窄并伴有钙化,PGmean:46mmHg、Vmax:4.34m/s、LVEF:50%并伴有主动脉瓣轻度返流、二尖瓣轻度返流及三尖瓣轻中度返流,肺动脉高压。
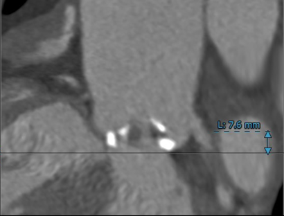
主动脉根部解剖


Type0型二叶瓣,有钙化(HU850:391),延续至LVOT,主动脉瓣瓣环周长71mm,平均周长径22.6mm。


左冠开口高度较低,仅7.6mm,有冠脉堵塞风险;右冠开口15mm,无明显冠脉堵塞风险。
血管入路解剖

双侧股动脉直径均较小,髂总分叉上可见团块状钙化,双侧股动脉均可见钙化点,分叉均较高。但股浅动脉直径可作为主入路。
评估与讨论
空军军医大学西京医院陶凌主任及其团队与四川大学华西医院陈茂团队的冯沅教授对该病例进行了专题探讨,由于该病例为Type0型二叶瓣、左冠开口高度低、左心室较小及股动脉入路情况不佳等因素为此次手术带来了不小的挑战。

经过团队严谨的评估及充分的讨论,决定先行18mm球囊预扩并进行瓣环测量(备20mm球囊),并优先准备AV23的瓣膜装载(备AV26瓣膜);由于股动脉入路情况不佳,决定选用TaurusElite™经导管主动脉瓣系统DS19S型号的输送器,输送器自带内联鞘,可进行瓣膜的无鞘输送。

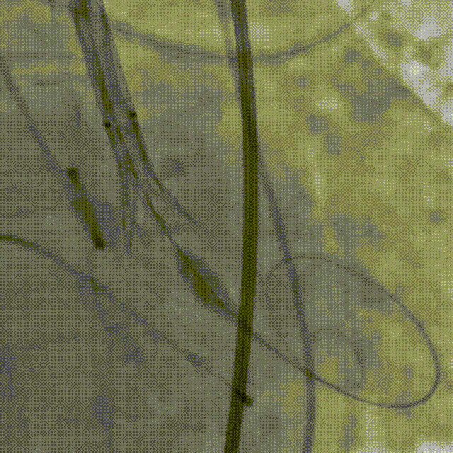
手术过程

18mm球囊预扩,左冠显影良好


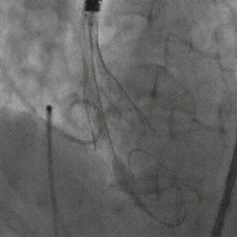
第一次释放,人工瓣膜受自体瓣膜挤压导致下滑
术中,人工瓣膜部分释放时,由于受自体瓣膜的挤压导致人工瓣膜下滑,陶主任立即对人工瓣膜进行了回收再定位,到达预期位置后精准释放,手术结果令人满意。

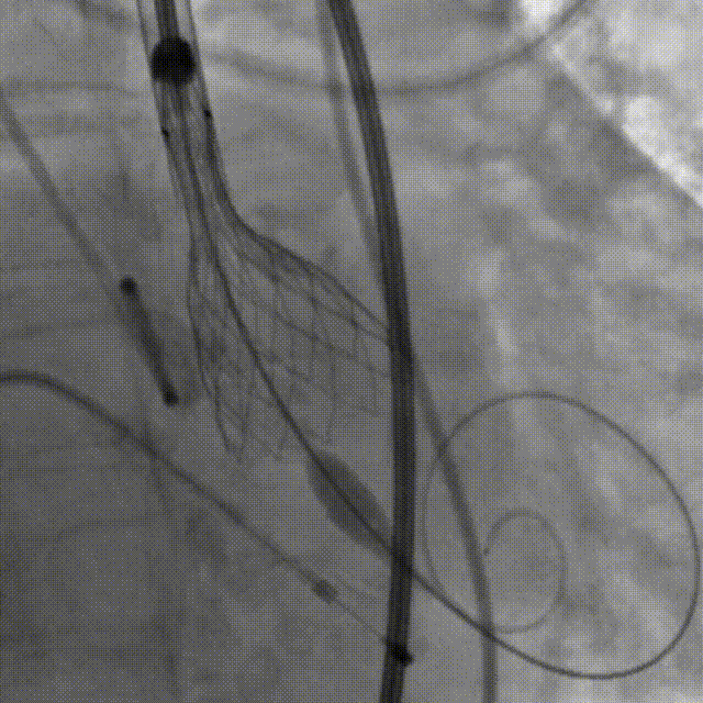
陶主任对人工瓣膜进行部分回收后再定位

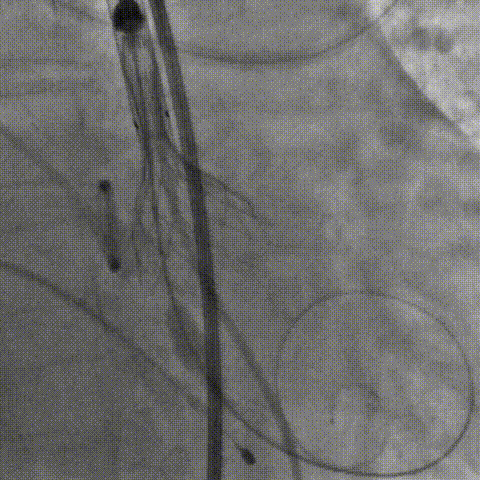
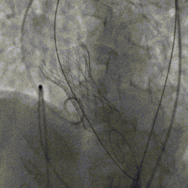
瓣膜成功释放
术后即刻超声显示:无主动脉瓣返流、无瓣周漏,PGmean:8mmHg,Vmax:2m/s,LVEF:58% 。

人工瓣膜释放后造影
术后,陶主任对TaurusElite™可回收输送器过弓性能和瓣膜释放稳定性给予了高度评价,对输送系统可通过6.2mm直径的股动脉也给予了肯定。
TaurusElite™经导管主动脉瓣系统
TaurusElite™经导管主动脉瓣系统正在进行上市前多中心临床试验。该产品保持TaurusOne®瓣膜的原有设计,通过对输送器结构的创新性设计,进一步改进输送系统的过弓和跨瓣的表现,同时实现瓣膜释放的可回收功能,再次定位重新释放,以期最大程度的解决TAVR手术中“定位难”的问题及满足TAVR手术中对于精准释放方面的需求,对于手术结果和技术普及有着积极意义。
TaurusElite™经导管主动脉瓣系统对于股动脉入路条件相对不理想的患者,通过系统自带的内联导管鞘,减小创口面积以及外周血管并发症。
沛嘉医疗专注于结构心脏病介入治疗解决方案的自主研发与创新,以至善尽心、呵护生命为理念,致力于不断推出适合于中国患者惠及世界的高品质医疗产品,救治上千万心脏瓣膜疾病患者是我们不懈努力的方向。在中国,为中国,惠世界。