众所周知,经皮冠状动脉成形术置入金属药物洗脱支架是治疗原发病变的主要手段,可以极大的改善患者的生活质量和临床预后。但是,置入金属药物洗脱支架术后仍然会有一部分患者发生支架内再狭窄(ISR),如果再次置入支架或者行旁路移植术(“搭桥”)作为支架内再狭窄的解决方案,效果并不十分理想。
2020年1月,北京医院心内科季福绥教授团队运用全新一代药物涂层球囊RESTORE DCB以“介入无置入”的方式成功治疗了一例冠状动脉原发病变患者。严道医声有幸采访到了季福绥教授,听他详谈药物涂层球囊如何解决患者的“心头大患”。
No.1
季福绥教授讲述手术点点滴滴
“术前忧心忡忡,术中信心满满”
作为RESTORE DCB的主要术者,季福绥教授在手术成功后接受采访时表示,近年来,冠脉药物涂层球囊(DCB)逐渐成为PCI手术的主流治疗方案之一,DCB作用机制是通过载药球囊扩张向冠脉血管壁释放抗增殖药物,长效抑制血管内膜增生。但DCB的机理认知、规范使用和操作技术仍待提高。

手术团队首次使用RESTORE DCB
“关于DCB治疗冠心病,我做的病例比较多,时间也比较长。就我们中心而言,包括小血管、大血管、分叉病变、开口病变、左主干病变等等几乎所有需要支架处理的病变,DCB都能做。未来也希望大家可以多多尝试DCB。”
同时,季福绥教授也坦言,传统的DCB存在载药涂层易脱落,术者操作时间有限等问题。在这次病例的治疗中,季福绥教授团队使用了新一代创新RESTORE DCB,这是RESTORE DCB上市后在北京医院开展的首例介入治疗。
“我们最大的担心就是球囊在通过病变时不顺利,丢失药物,时间过长后球囊上的药物存量不足,以及球囊膨胀效果不好,好在这些问题RESTORE DCB都解决了。”
术中季福绥教授将RESTORE DCB送到病变位置后,扩张球囊,药物便贴合血管进入病变部位,随后撤出球囊和导管,患者体内不残留任何异物。术后,患者病变血管血流恢复正常,患者状态良好。RESTORE DCB表现出了很好的通过性,能够很顺利的到达远端的靶血管病变,而且在操作过程中没有观察到涂层脱落以及微栓塞现象。
“相信在未来的临床工作中,RESTORE DCB会发挥更大的作用,给广大的冠心病患者带来福音。”
病例介绍
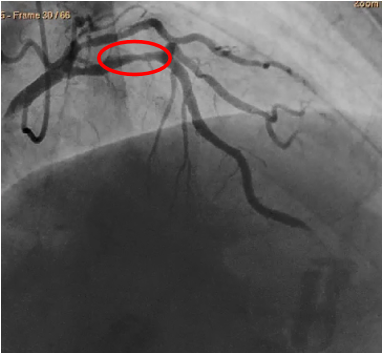
冠状动脉造影
男性患者,65岁
临床诊断以冠状动脉粥样硬化性疾病,不稳定心绞痛收治入院
2020年1月13日经桡动脉行左、右冠脉造影


冠状动脉血管造影
LM未见异常;pLAD 50%狭窄,p-mLAD 50%~75%狭窄长病变;
LCX开口25%狭窄,dLCX 100%闭塞,可见LCX自身侧枝循环形成。
dRCA狭窄25%,PL狭窄25%;右冠优势型。


行LAD FFR检查,应用Medtronic 6F EBU 3.75导引导管达左冠开口,送入ST. Jude Pressurewire Certus压力导丝至LAD远端,静脉泵入ATP 140ug/kg.min 150秒行FFR测量,结果LAD FFR值0.69。与患者及家属沟通后,行LAD介入治疗。
介入治疗——p-mLAD病变预处理1
2.5-15mm半顺应性球囊以12-14ATM扩张p-mLAD病变2次,球囊扩张之后残余狭窄50%,血流TIMI 3级。


介入治疗——p-mLAD病变预处理2
3.0-10mm切割球囊以10-12ATM扩张p-mLAD病变3次


介入治疗——p-mLAD病变预处理之后
切割球囊预处理之后,残余狭窄30%,TIMI血流3级


介入治疗——pLAD病变预处理
3.5-13mm棘突球囊以10-16ATM扩张pLAD病变4次


介入治疗——pLAD病变预处理之后
棘突球囊预处理之后,残余狭窄10%,TIMI血流3级


介入治疗——DCB介入无置入
送入3.5-15mm药物涂层球囊RESTORE DCB 至p-mLAD病变处,到位时间40秒,扩张至10ATM(球囊直径3.65mm),持续时间46秒;DCB治疗后残余狭窄10%,TIMI血流3级。


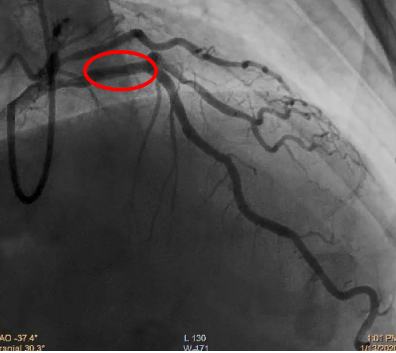
介入治疗——DCB治疗术后
继续观察5分钟,复查冠脉造影未见夹层及弹性回缩,患者未诉不适,生命体征平稳。


介入治疗术后FFR检查
冠脉内推入尼可地尔2mg,复测FFR 0.82。
透视下拔除桡动脉鞘管,加压包扎,返回病房。


介入治疗术前、术后对比
术前50%~75%狭窄

术后残余狭窄10%

术后用药
术后症状消失
术后2天出院
常规药物治疗
DAPT 1个月
随访持续中
No.2
不断进步的介入理念
从无到有,从有置入到无残留
冠状动脉介入治疗经历了早期的“从无到有”,即PTCA没有置入器械,到后来发明了支架可置入的器械,提高了介入治疗的成功率。再从永久聚合物涂层DES到聚合物涂层可降解DES,无聚合物载体DES以及生物可吸收支架的相继问世,体现了介入治疗理念“从有置入到无残留”的历程。
季福绥教授称,“这些都是介入治疗走向成熟的里程碑,不仅给我们临床医生提供了非常有力的武器,让我们(的治疗)有更多的选择方式,更主要还是为冠心病患者带来福音。”
在介入治疗理念不断进步期间,DCB因其独有的优势受到了广大患者与临床医生的青睐。从最初治疗支架内再狭窄不断发展到治疗de novo原发病变,包括很多复杂的病变。DCB的优势包含了无异物置入、无聚合物基质、无金属网格残留;保留后续治疗的机会;缩短抗血小板治疗的时间,减少血管内膜炎症反应、降低血栓形成以及降低出血风险等诸多优势。
与此同时,RESTORE China等一系列研究的开展,为DCB适应证的不断拓展提供了有力的循证医学依据。2014年DCB治疗支架内再狭窄首次写入欧洲心肌血运重建指南,2018年ESC/EACTS指南维持IA。
RESTORE DCB的问世加强了“介入无置入”理念在中国的推广普及,这项新器械的推广使用将为更多冠心病患者带来“心”的希望。
季福绥教授在采访的最后满怀希望地说道,“相信随着‘介入无置入’理念的推广以及介入医生经验的积累,DCB在冠脉介入领域里将会越来越重要。”