背景简介
左心衰竭(Heart Failure,简称左心衰)是由左室代偿功能不全所致,以肺循环淤血为主要特征,其发病率呈逐年上升趋势。目前治疗方法主要以抗心药物为主。然而,经过优化药物治疗后仍有部分患者难以凑效,存在严重的胸闷、憋气等症状,伴随活动耐受力下降,严重影响了生活质量。上述症状的出现与左室舒张功能不全导致的左房-肺循环淤血有关,可通过经导管房间隔造口降低左房压力,改善左心衰的症状,从而提高活动耐量。近年来国际上已有多个临床研究证实了其疗效。
2020年9月25日,闫朝武教授团队首次应用经导管射频房间隔造口术(CURB术式)治疗左心衰患者并获得圆满成功,术后患者血流动力学指标及临床症状均获得大幅改善,这进一步验证了该术式的临床疗效,同时也为此类患者提供了一种全新的治疗方法(ClinicalTrials.gov ID: NCT04573166)。相关病例资料如下:
病例摘要:患者女性,66岁。主因反复胸闷、心悸4年,加重1月来诊。4年前于活动后出现胸闷、心悸伴憋气,偶有后背部疼痛,无黑蒙及晕厥;1个月前症状加重,伴双下肢浮肿,活动耐力逐渐下降。我院超声心动图及心脏磁共振检查提示“肥厚型心肌病”,临床诊断为“肥厚非梗阻型心肌病 心功能Ⅲ级(NYHA分级)”。予抗心衰药物治疗,但症状缓解不明显。为进一步明确病因并改善临床症状,经讨论后建议行左、右心导管检查及选择性冠状动脉造影术,根据术中左室舒张末期压力水平,决定是否行经导管射频房间隔造口术(CURB术式)。向患者及家属交代相关病情并签署知情同意书后,于2020年9月25日进行介入手术,术中详细资料如下:
冠状动脉造影:冠状动脉呈右优势型。左、右冠状动脉管腔通畅,未见狭窄及阻塞性病变。
左心导管检查(mmHg):主动脉压力148/68(87);左室压力148/22(65),提示左室舒张末期压力升高;左室到主动脉连续测压无压差。

图解:左心导管检查提示,左室舒张末期压力明显升高,为22 mmHg。
右心导管检查(mmHg):肺动脉压力44/17(27),提示轻度肺动脉高压;右房压力9/4(6)。
穿刺房间隔后左房测压(mmHg):左房压力30/18(21),提示压力明显升高;
射频房间隔造口术前、术后心房压力变化:

术后临床症状:患者胸闷、憋气及背痛等症状均几近消失,运动耐受力大幅提高;术后心肺运动试验:患者无氧阈(AT)占百分预计值从术前67%升高至术后74%(正常值>80%)。

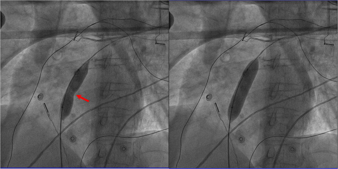
图解:射频房间隔造口术根据患者血流动力学参数进行个体化精准造口;红色箭头所示为扩张过程中球囊中央形成的“腰征”(左图),完全扩张后,“腰征”消失(右图)。

图解:射频房间隔造口术后,左房平均压力降低到正常水平。患者胸闷、憋气等症状即刻缓解,次日患者下地活动后,困扰多年的胸闷、背痛等症状几近消失。

图解:应用射频消融导管对瘘口边缘进行消融,从而确保瘘口稳定,抑制其再闭塞。

图解:术前患者双肺淤血重,术后双肺淤血明显缓解。

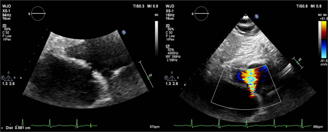
图解:超声心动图提示,术后通过所造房间隔瘘口,房水平可见左向右分流。

图解:术前患者房间隔完整,术后房间隔制作出一边缘清晰的瘘口(红色箭头所示),其前后径约5mm。



图解:闫朝武主任、李世国主任、王建德主任等在进行手术操作。

图解:手术组成员合影。
射频房间隔造口术治疗左心衰竭的适应症:
(1)年龄≥18周岁;
(2)明确的慢性心力衰竭症状、体征,药物疗效欠佳伴NYHA 心功能分级III或IV级,持续3个月以上;
(3)超声心动图提示左室舒张功能减低;
(4)动脉收缩压≥90 mmHg;
(5)射血分数减低心力衰竭:LVEF20-40%伴左室舒张末期压力或PCWP≥18 mmHg;
(6)射血分数保留心力衰竭:LVEF>40%伴左室舒张末期压力或PCWP≥18 mmHg;
射频房间隔造口术的目的及优势:
主要目的:通过制造房水平左向右分流,从而降低左房压力,缓解双肺淤血,改善临床症状并提高运动耐受力。另外,也可改善终末期心衰患者的血流动力学参数,为心脏移植提供过渡。
主要优势:个体化造口,长期稳定开通,非器械植入。
