精诚所至金石为开——RCA重度钙化迂曲旋磨一例
2020-10-26 14:18


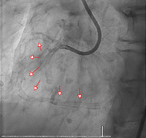
DSA示术前重度钙化影犹如支架术后

旋磨后示全程钙化斑块旋断裂

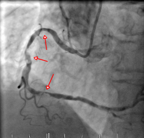
术前示多处狭窄

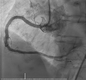
支架植入术后