驾轻就熟,稳健精准!西京医院杨剑教授团队再次成功完成股静脉-房间隔途径二尖瓣瓣中瓣置换术一例!
2020-12-31 09:51

杨剑教授团队术后合影
患者,女,72岁,因“二尖瓣生物瓣置换术后11年,间歇性胸闷、气短半年,加重3月”入院就诊。患者于11年前因二尖瓣关闭不全,行二尖瓣生物瓣置换术,植入爱德华27规格的外科生物瓣膜。半年前无明显诱因感气短、胸闷,不能平卧,休息后缓解,未予特殊处理,其后症状逐渐加重,至西京医院就诊。行超声心动图检查提示:左心室,射血分数(EF)67%,二尖瓣位生物瓣位置正常,瓣膜略增厚,测得二尖瓣生物瓣有效瓣口面积约2.5cm2,瓣下血流速度加快(Vmax=207cm/s),平均跨瓣压差达7mmHg,瓣上可见大量返流,二尖瓣生物瓣关闭不全伴狭窄(轻度)并后内侧瓣叶脱垂及钙化;三尖瓣可见少至中量返流,肺动脉高压(收缩压)约为62mmHg。




基于3D模型进行术前体外模拟


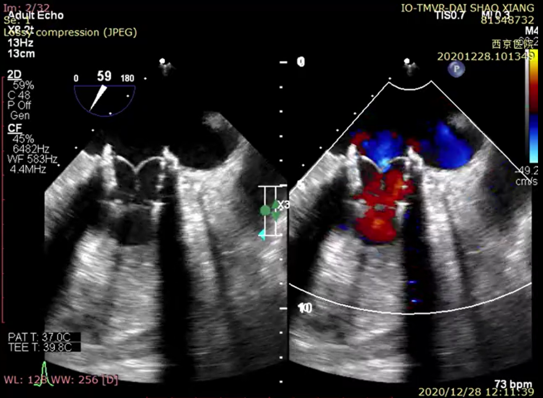
术后超声心动图
术后次日患者即下床正常活动,复查各项血液生化指标恢复良好,超声、CTA、3D打印等多模态影像评估结果显示二尖瓣“瓣中瓣”位置良好,二尖瓣血流速度无加速,未影响左心室流出道等重要解剖结构,顺利康复出院。
杨剑教授术后表示,此次手术是他第二次使用国产球扩瓣为患者实施股静脉-房间隔途径经导管二尖瓣瓣中瓣置换术,手术的再次成功表明Prizvalve®的质量稳定可靠,经房间隔途径行二尖瓣瓣中瓣置换术最大程度减少了此类患者再次手术的创伤和风险,提高了治疗的安全有效性,对于二尖瓣生物瓣衰败这类复杂解剖结构患者,术前多模态影像评估尤为重要,尤其是应用3D打印技术,不仅能够增进术者及团队对局部解剖结构的了解,更为重要的是可以术前进行比拟和手术方案的规划,更加精准设计和制订手术方案,为患者个性化治疗及精准治疗提供可靠保障。