
2021年3月29日,空军军医大学西京医院(以下简称“西京医院”)心血管外科杨剑教授团队在一天内成功开展了三例国产球扩瓣Prizvalve®瓣膜系统新技术应用植入手术。该次手术与心血管内科陶凌教授团队合作,为一位主动脉瓣狭窄患者和两位三尖瓣外科生物瓣衰败患者顺利实施了经导管主动脉瓣置换术和经股静脉途径三尖瓣瓣中瓣置换术。同一日连续三台高难度手术的成功完成,再次充分的展示了Prizvalve®瓣膜系统的使用安全性、产品稳定性和优秀的临床效果。目前,Prizvalve®瓣膜系统在主动脉瓣、二尖瓣瓣中瓣、三尖瓣瓣中瓣的多例植入表明该产品能够适应不同的使用条件,为瓣膜疾病患者提供更安全、更多样的解决方案。
病例一

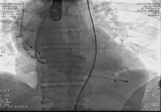
Prizvalve®瓣膜系统TAVR术后位置良好、造影无瓣漏
病例二
71岁男性,三尖瓣外科生物瓣植入术后,三尖瓣关闭不全,心功能Ⅳ级,肺功能不全,三尖瓣瓣环面积575mm²,平均直径27.2mm。选用Prizvalve®29mm瓣膜进行植入,术后无瓣漏,无血管并发症。

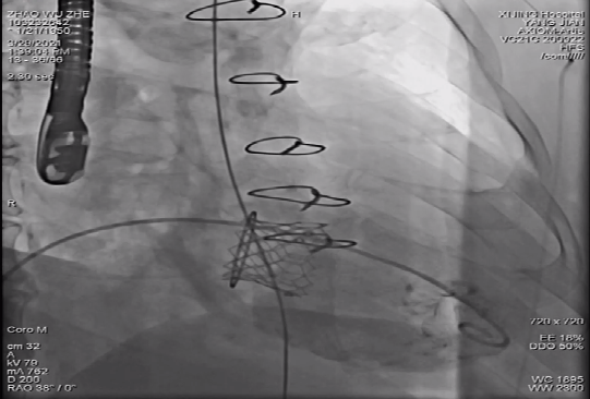
Prizvalve®瓣膜系统行三尖瓣瓣中瓣术后位置良好、造影无瓣漏
病例三
59岁女性,三尖瓣外科生物瓣置换术后,三尖瓣狭窄伴关闭不全,二尖瓣关闭不全,右心房明显增大,肺动脉高压,心功能Ⅳ级,三尖瓣瓣环面积521mm²,平均直径26.8mm。选用Prizvalve®29mm瓣膜进行植入,术后无瓣漏,无血管并发症。
该例患者由于右心房明显增大,导丝容易在心房内缠绕且无支撑力提供,瓣膜的推送跨瓣存在极高的难度。术中,杨剑教授、李飞教授和刘洋教授充分沟通,三人统筹规划分工操作,凭借三位术者各自高超的技艺和熟练的配合,在巨大右心房无任何支撑提供的条件下,顺利实现了输送系统的跨瓣和精准释放。

Prizvalve®瓣膜系统行三尖瓣瓣中瓣术后位置良好、造影无瓣漏
3D打印术前精准评估
针对这三名外科手术高风险患者,在术前采用了国内领先的心血管3D打印技术进行多模态影像评估,充分的完善了超声、CTA等术前检查,尽可能的复刻术中实景,以术前万分的准备,造就手术的精准实施。






术后评价
谈到纽脉医疗的这款自主研发的球囊扩张式瓣膜Prizvalve®,基于此前新技术应用的主动脉瓣置换、二尖瓣瓣中瓣置换及此次的三尖瓣瓣中瓣置换,杨剑教授术后表示“优势明显,前景广阔”:
第一,输送系统推送性能好,具有优秀的双调弯特性,术后并发症的概率低。在本次手术中的第一例患者是一例横位心的高难度病例,使用Prizvalve®输送系统可实现轻松的过弓、跨瓣、调整同轴性,最终实现瓣膜的精准定位精准释放。
第二,由于球扩式瓣膜支架短、高径向支撑力以及精准定位的设计特点,使得这些外科生物瓣衰败患者,在不具备二次外科手术的条件下,能够以最小的创伤实现瓣膜的置换,给患者带来最大的获益。
第三,球扩式瓣膜的操作简单、快速、精准、手术时间短,能够极大的推动今后的极简化瓣膜置换手术的发展。
文章转载:
《国产球囊扩张式瓣膜的临床应用初探》
https://mp.weixin.qq.com/s/dpQywP8KVce0sfzwqAHZ-w