2021年4月11日,福建省心脏医学中心暨福建医科大学附属协和医院心内科陈良龙、方军、孙旭东教授团队成功为一名88岁超高龄心脏瓣膜病患者实施经皮(经股静脉)二尖瓣夹合术。
该介入手术使用MitraClip二尖瓣夹合系统,术中使用最新EPIQ CVx心血管超声机引导。据了解,这是MitraClip在国内上市后,目前所接受治疗的最高龄患者,也是福建省内首次使用EPIQ CVx这一瓣膜病介入治疗新武器引导二尖瓣夹合术。福建省心脏医学中心此前已成功开展经心尖二尖瓣夹合术(ValveClamp),此次开展经皮二尖瓣夹合术,成为目前福建省唯一一家同时开展经皮和经心尖两种途径二尖瓣夹合术的心脏中心。

陈良龙、方军、鄢晓平教授在手术中(左图)
孙旭东教授进行超声引导(右图)
患者系88岁高龄男性,因反复气促1年,加重1个月入院。超声心动图评估为“心脏瓣膜病:二尖瓣后叶腱索断裂、脱垂伴重度关闭不全”。
福建协和医院心脏团队讨论认为,该患者反复发作心力衰竭,有手术干预指征,但系超高年龄,STS评分9分,外科手术风险很高,只能选择不开胸经股静脉途径的二尖瓣夹合介入微创治疗。

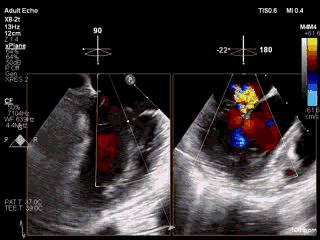
视频1 经皮二尖瓣夹合术中经食道超声心动图证实术前诊断,即二尖瓣后叶腱索断裂、脱垂(P2为主,累计部分P1)伴重度关闭不全

视频2 经食道超声心动图引导穿刺房间隔

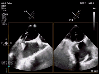
视频3 第一枚MitraClip XTR夹合器在二尖瓣P2区植入,图示夹合器释放过程

视频4 在食道超声心动图引导下于二尖瓣P2区植入一枚MitraClip XTR夹合器后二尖瓣关闭不全减轻,但夹合器内侧仍存在反流

视频5 第二枚MitraClip NTR夹合器在P2区第一枚夹合器内侧顺利植入,图示夹合器释放过程

视频6 经食道三维超声心动图显示在植入第二枚MitraClip NTR夹合器后,二尖瓣呈双孔启闭,两枚夹合器位置、结构正常

视频7 经食道三维超声心动图(配备最新心腔镜功能)TrueVue彩色多普勒显示二尖瓣夹合术后二尖瓣反流降至少量

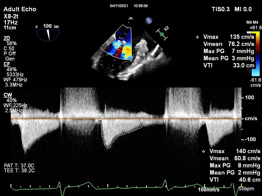
图1 两枚夹合器植入后,未致二尖瓣口狭窄,二尖瓣平均跨瓣压差为3mmHg
4月11日上午患者在全麻下接受MitraClip经皮二尖瓣夹合术。术中穿刺右股静脉,经食道超声心动图(TEE)再次评估瓣膜病变(视频1),并引导顺利穿刺房间隔(视频2)。随后送入二尖瓣夹合系统,在TEE引导下于二尖瓣P2区植入MitraClip XTR夹合器一枚(视频3),二尖瓣关闭不全减轻,但夹合器内侧仍存在反流(视频4)。团队决定为患者植入第二枚夹合器(MitraClip NTR),手术过程顺利(视频5)。TEE三维显示在植入第二枚NTR夹合器后,二尖瓣呈双孔启闭,两枚夹合器位置、结构正常(视频6)。配备心腔镜功能的TEE三维TrueVue彩色多普勒显示二尖瓣反流将至少量(视频7),且未致二尖瓣口狭窄(图1),夹合效果满意。手术通过视频连线得到香港亚洲心脏病中心主任林逸贤教授的技术支持。
二尖瓣关闭不全(MR)是临床上最常见的心脏瓣膜病之一,传统治疗方法是外科瓣膜修复或者置换。许多患者由于年龄大、合并症多,无法耐受外科手术,没有得到治疗。近年来,以MitraClip为代表的经皮二尖瓣缘对缘修复技术(二尖瓣夹合术)成为主要替代方法。随着证据积累,2020年ACC/AHA指南已将经皮二尖瓣夹合术的推荐级别从原来的IIb提升至IIa,建议用于外科手术高危的原发性MR和经优化药物治疗仍有症状的功能性MR患者的治疗。随着介入技术的推广应用,将有更多心脏瓣膜病患者获益。
