
2021年4月15日,“视说心耳 超乎想象”上海市胸科医院心腔内超声左心耳封堵手术的直播完美落幕。回顾2018年7月7日,上海市胸科医院何奔教授团队就已经完成了全国首例心腔内超声(ICE)指导下左心耳封堵的手术直播。此后,团队在实践和经验中也一直不断在改进术式,总结最新的方法和技术,给业界带来惊喜。本次活动,何奔教授及其团队在线演示了4台手术,并通过授课的形式分享了本中心经验,同时与其他各中心教授展开热烈的技术探讨。将新技术与成熟的手术操作进行结合,既提升了手术的整体效率,又改善了患者体验,达到了1+1>2的效果。
主要内容回顾:
4月,万物焕发着生机、迸发着能量。何奔教授团队此时也正顺应这个时节,不断通过努力为患者重新带来健康。4月15日,上海市胸科医院通过网络直播的方式为大家演绎了一场精彩的大型左心耳封堵术培训班,来自全国各地的百来位专家学者线上参与讨论学习。术者们通过讲课分享、线上联动、手术演示、互动讨论等多种方式交流各家中心开展超声指导下左心耳封堵术的情况和进展。在这其中,由何奔教授领衔的上海胸科团队为大家连续展示了4台三维心腔内超声(下称ICE)指导下的左心耳封堵术,并在手术间歇给广大观众详细分享了中心经验。
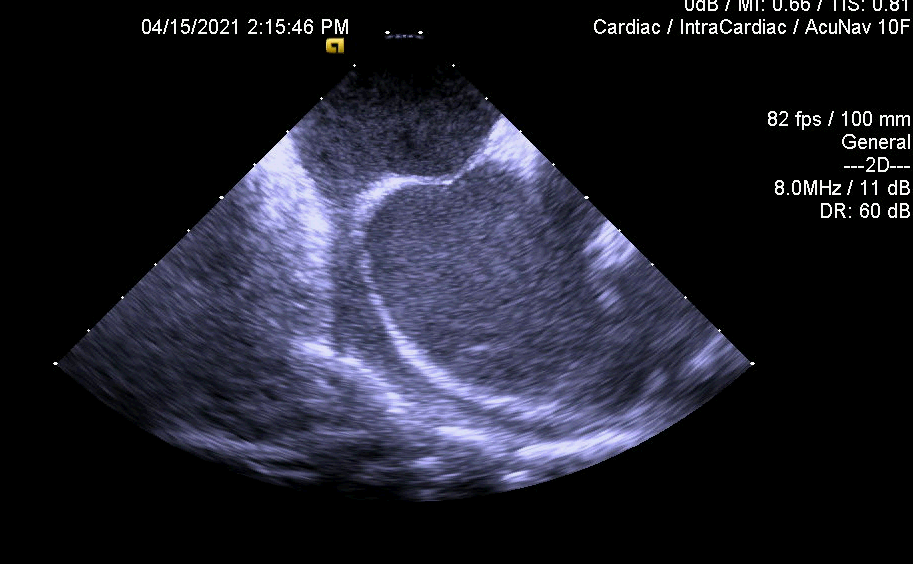
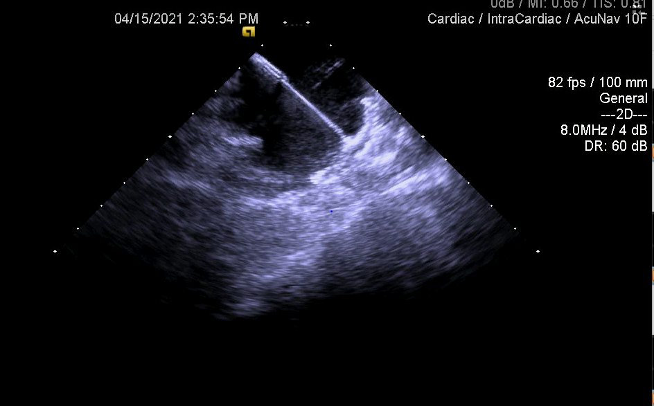
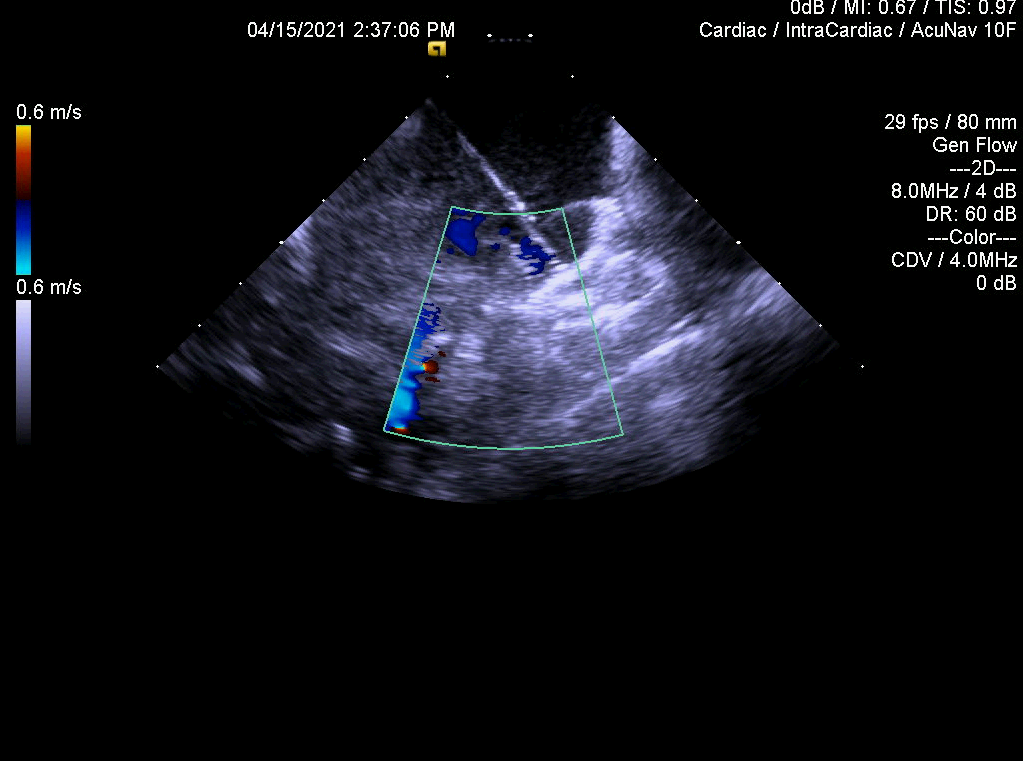
ICE是目前最先进的心律失常介入诊疗影像技术之一,通过“第三只眼”的加持,可以精准指导左心耳封堵手术,真正实现安全、高效、绿色。对比传统的食道超声(TEE),ICE使用新技术、新术式,打造左心耳封堵的新流程,让更多的房颤患者获益。

直播亮点如下:
亮点1:心房永存左上腔房颤患者,ICE指导下房间隔穿刺

亮点2:ICE指导术中评估左心耳封堵情况

亮点3:ICE多维度评价左心耳封堵结果—锚定,有无露肩,压缩比测量,有无残余分流

亮点4:干货满满-何奔主任详尽分享中心经验

亮点5:思维碰撞—线上面对面交流心得

结语:
2018年,上海市胸科医院创新性地开展ICE在左心耳封堵手术中的使用,成为第一家在手术直播中演示超声指导左心耳封堵的中心,为左心耳封堵开启了新篇章。直至今日,新技术的应用不仅提升了手术效率,也让手术效果得到了更好的保证。通过直播视说心耳,利用超声弥补想象。4月15日的直播活动已暂告一段落,但同时这也是一个好的开始。接下来会有更多超声左心耳封堵的技术交流活动陆续推出,期待在未来何奔教授团队给我们带来更多的惊喜!