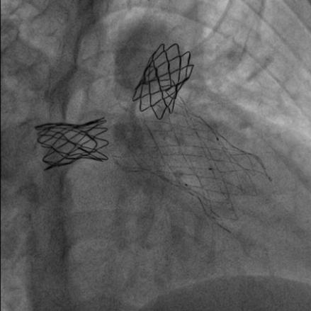
2021年6月29日,上海儿童医学中心心内科高伟主任团队为一名13岁, 患有复杂先心病:法洛氏四联症合并房间隔缺损及左上腔静脉残余(TOF/ASD/LSVC)术后13年,肺动脉分支支架术后8年,肺动脉返流的男性患儿,经导管植入介入肺动脉瓣膜PT-ValveⓇ 一枚,术后肺动脉返流消失。
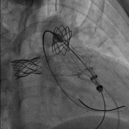
患者在全麻下,首先从左股静脉将造影导管分别送至右心室和肺动脉主干,行造影以明确右室流出道、肺动脉及肺动脉分支的基本情况。同时测量了右室流出道及肺动脉的尺寸。随后输送器通过右侧股静脉延加硬导丝将瓣膜输送到右室流出道,在X线的引导下,将瓣膜精确定位到植入部位并顺利进行瓣膜释放,无反流和瓣周漏,手术效果十分理想。
术后,高主任介绍说:法洛氏四联症术后常见的并发症是肺动脉分支狭窄及肺动脉瓣反流,尤其是肺动脉发育不良的四联症。法洛氏四联症合并右室流出道狭窄的患者,在国内大多采用右室流出道-肺动脉扩大补片术式,术后会出现肺动脉瓣反流,随着年龄的长大,反流也会逐渐加重。
如同时有肺动脉分支狭窄和肺动脉反流,将对患者的右心功能影响很大,出现易疲劳,活动耐力下降,后期出现水肿。如不及时干预,右心功能出现失代偿改变,将失去再次救治的机会。即使再处理,也会出现严重的心律失常,甚至死亡。
如何在右心功能失代偿前改变这一切?传统的方法就是外科再次开胸手术,用补片再次扩大左右肺动脉或在右室流出道植入人工带瓣管道。但是再次开胸手术,会面临严重的粘连,手术难度加大,麻醉风险加大,体外循环时间延长等,患者受手术打击很大,恢复很慢。同时人工管道也容易随着时间变化引起挛缩狭窄,或发生钙化,造成再次狭窄和瓣膜功能的消失。
高主任总结道:本例病例就是在没出现严重肺动脉反流时,先解决了严重的左右肺动脉分支起始部狭窄,不仅促使狭窄远端肺血管的发育,避免了肺动脉分支的闭塞。随着年龄长大,肺动脉反流加剧,右心功能受损时,我们及时植入肺动脉带瓣支架,阻滞了右心功能向失代偿期的发展。
随着介入技术和介入材料的改进,通过经皮介入技术可以替代传统的外科手术。特别是肺动脉支架和肺动脉带瓣支架的应用,替代传统外科手术,可以起到非常好的效果。这2类支架,在同时出现狭窄和肺动脉严重反流时可以同时应用。一次性解决肺动脉分支狭窄和肺动脉反流问题。如果只有肺动脉分支狭窄,反流并不严重时,可以先处理肺动脉分支狭窄,也就是可以在狭窄部位植入Pul-Stent®肺动脉支架进行扩张。一旦解除了狭窄,也会延缓肺动脉反流的加剧。这样可以保护了右心功能,促使肺血管发育,而且会推迟肺动脉反流干预的时间。
专家简介

主任医师,现任中华医学会心血管病学分会结构心脏病学组委员,中国医师协会心血管内科医师分会先心病工作委员会委员,亚太心脏联盟结构心脏病分会常委,中国医师协会儿科医师分会先天性心脏病专家委员会委员,美国小儿先心病介入治疗大会国外委员。