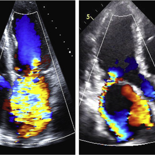
此培训为MAYO诊所推出的心内科fellow系列培训之一,主要目的是能够使大家学习到AMI以后心脏机械并发症的识别和诊断,还有ACS的非心脏的并发症的表现,以及临床中存在与ACS临床上有相似之处的非心脏疾病。 急性心肌梗死后出现的并发症,分为心脏性和非心脏性的,心脏并发症又包括心电学方面的并发症以及机械并发症,非心脏性并发症包括血栓栓塞和出血,还可能出现与心包相关的并发症。 心脏机械并发症包括就是破裂性和非破裂性的2类,破裂性并发症包括游离壁破裂、室间隔穿孔和乳头肌断裂,其中游离壁破裂既可能是直接的穿孔,也可以是亚急性破裂形成假性动脉瘤这样包容性的破裂。而非破裂性机械并发症包括严重的左室心力衰竭,右室梗塞,左室壁动脉瘤以及缺血性二尖瓣反流。 从根本上来说,这些严重并发症的发生都与心脏的泵功能衰竭有关,泵功能的衰竭造成了血流动力学不稳定以及基线的电不稳定性。 第一节:非破裂性机械并发症 非破裂性机械并发症,即严重的左室心力衰竭——心源性休克,右室梗塞,左室壁动脉瘤以及缺血性二尖瓣反流。 1、 心源性休克:在心梗发生时,发生心源性休克的主要原因就是大面积的心肌梗死,那么如果要导致心脏泵功能衰竭,左室心肌质量至少要损失40%以上。其他导致心源性休克的原因还有右室梗塞、心脏破裂以及快速和缓慢性心律失常。 2、 右室梗塞:也是导致心源性休克发生的重要原因。在下壁心梗的患者中,大概有33%的患者同时也发生右室梗死,这种情况多见于RCA近端闭塞,与高死亡风险相关。在所有下壁STEMI者中都要考虑是否同时存在RV梗塞,心电图V1和RV4导联ST段抬高超过1mm为其特异性心电图改变(图1)。 图1. 右室梗塞的心电图表现 3、 右室梗塞为什么会导致患者发生心源性休克呢?从病理生理上讲,右室急性缺血时会致其收缩不良,导致RV每搏输出量和峰压降低,继而是左室前负荷降低,心输出量降低;另一方面,急性缺血还同时使右室舒张功能受损,此时右心充盈压显著增加,并且由于右室急剧扩张,会在心包内占据很大体积,使得心包内压力显著增加,这些综合造成的结果使RV和LV的充盈减少。左心充盈压下降而右心压力不断升高,最终导致低血压、肺血流减少、颈静脉压升高,其临床结果可能类似于心包填塞以及缩窄性心包炎。 4、 左室壁动脉瘤(图2):首先提出一个问题供大家思考,以下有关左室壁动脉瘤的说法哪一个是正确的?1左室壁动脉瘤只局限于心内膜下;2有一个相对狭窄的颈部;3是否都与前壁心梗有关;以及4容易有血栓的附着,并且心包是组成瘤壁的一部分。实际上,左室壁动脉瘤在STEMI后的发生率<5%,前壁梗死的患者更易发生,及时进行再灌注治疗可以降低其发生率。它突出于心腔外侧,瘤壁就是左室壁,颈部和底部的比例大约是1:1,可以出现附壁血栓。所以上述说法中只有3是正确的。 图2. 左室壁动脉瘤示意图,O;颈部,D:底部,LA:左心房,LV:左心室,AO:主动脉 5、 缺血性二尖瓣反流:为心梗后左室重构所致,表现为乳头肌移位、乳头肌功能不良使瓣叶活动受限以及瓣环扩张(图3)。治疗的焦点集中于及时的再灌注治疗、利尿剂的应用和后负荷的降低,如果遗留严重的二尖瓣反流,则会导致心梗后的远期生存率下降。 图3. 瓣环扩张(A)、乳头肌功能不良致瓣叶活动受限(B)导致大量MR 第二节:破裂性机械并发症 破裂性并发症包括游离壁破裂、室间隔穿孔和乳头肌断裂,其中游离壁破裂既可能是直接的穿孔,也可以是亚急性破裂形成假性动脉瘤这样的包容性破裂。大多数破裂性并发症都发生在AMI的第一个24小时之内,剩余的则发生在1周之内。通过超声心动图可以发现MI的机械并发症,包括急性乳头肌断裂、下段室间隔断裂、上段室间隔断裂以及二尖瓣脱垂。 1、 乳头肌断裂所致二尖瓣反流(图4):乳头肌断裂常发生在MI后的2~7天,急性缺血事件发生时,从心外到心内的压力梯度增加,心内灌注降低,乳头肌属于心内结构,缺血的敏感性增加。一旦出现需要外科手术治疗。 图4. 乳头肌断裂(箭头所示) 2、 室间隔缺损(图5):属于MI后的罕见并发症,多于梗死后3~5天发生,在梗死后即刻或者第一个24小时内就可以发生,部分与患者进行的纤溶治疗有关。由于再灌注治疗的开展,目前发生率已经由2%降至0.2%。破裂发生在健康心肌和坏死心肌的交界处,在前壁心梗时,缺损位于室间隔心尖部,下壁心梗时缺损则位于下-后间隔基底段,RV梗死及功能失常者预后不良。 图5. 前壁心梗(A)、下壁心梗(B)所致不同部位室间隔穿孔 3、 游离壁破裂:急剧的、常为致死性机械并发症;发生率<1%;MI后死亡约8~24%是由此而造成;通常在梗死后的5天内发生。好发因素包括1首次心梗,2前壁心梗,3老年患者以及4女性。 4、 亚急性破裂:是一种特殊类型的游离壁破裂,占所有游离壁破裂患者的约1/3,是因为附壁血栓和心包覆盖了穿孔部位所致,局部表现为假性动脉瘤(图6),临床上常比较隐匿,并且可能仅通过UCG发现,因此任何超声发现的心脏周围局部积液都需要引起怀疑并详细扫查。与真性动脉瘤(即左室壁动脉瘤)不同,假性动脉瘤的颈部狭窄,颈部与底部的比值<0.5,心包是瘤壁的组成部分。亚急性破裂的进展常是难以预测,可以进展至完全破裂乃至心包填塞,因此需要外科治疗。 图6. 左室假性动脉瘤示意图,O;颈部,D:底部,LA:左心房,LV:左心室,AO:主动脉 第三节:AMI的非心脏并发症 AMI的非心脏并发症主要包括血栓栓塞和出血,以及心包并发症。那么下面关于左室血栓的说法哪个是正确的呢?1下壁心梗更为常见,2如果不予治疗栓塞风险可达50%,3栓塞的风险取决于血栓的移动性和是否凸出于腔内。左室血栓常(图7)见于大面积前壁心梗,在再灌注前时代其发生率可高达40%,有再灌注治疗后这一几率已降至4~15%;经胸超声心动图是发现LV血栓的第一选择;心脏MRI的敏感性更高,但与超声心动图的特异性相似。由于心梗后不运动和运动障碍的室壁区域存在静止血流,因此如容易在局部形成附壁血栓。如果梗死部位为心尖部,且左室EF值减低达<30%,则存在血栓栓塞的高风险。如果未治疗,左室血栓发生栓塞的风险为10~15%,这一风险的高低还取决于栓子的移动性和是否突出于心腔内,早期且持续的抗凝治疗(3~4个月)可以降低栓塞风险。 图7. 左室心尖部附壁血栓 一图总结心脏机械并发症 第四节:类似ACS的非心脏疾病 通过一个有趣的病例,我们来学习一下在临床中可能存在类似于ACS表现的非心脏疾病。这是一个77岁老年女性,症状为头晕、恶心、呕吐,急诊CT除外了急性卒中,但心肌坏死标记物升高,心电图提示为Af、并且下壁前壁导联T波倒置,但超声心动图上仅表现为室间隔中下段至左室心尖部运动减低,没有看到下壁及前壁的运动异常。随后患者出现严重的高血压和心动过缓,并存在定向力、消化不良和眼球震颤,继续监测头CT及MRI,结果发现枕叶大面积脑梗。实际上,早在1947年,急性卒中所引起的ECG变化就已经被报道,病程中出现深大的倒置T波则被称为神经源性T波。在急性颅内事件发生时可以存在肌钙蛋白的升高以及心电图出现ST-T改变,在卒中的急性期,ECG诊断急性心梗的特异性会降低。 除急性脑血管病以外,以下疾病也会出现类似于ACS的临床发现,包括心电图异常和心肌坏死标记物升高,如特发性应激性心肌病,主动脉夹层,肺栓塞等等,需要及时进行诊断及鉴别诊断。 最后需要强调的是,超声心动图是发现AMI后心脏机械并发症的最重要检查,AMI发生后一周内必须行UCG检查以发现隐匿的高危并发症。
专家简介
副主任医师,临床医学博士,毕业于北京大学,任职于北京积水潭医院心内科,长期从事心血管内科有关高血压病、冠心病、结构性心脏病、心力衰竭及心律失常等临床及危重症的诊疗工作。兼任北京医师协会高血压分会青年委员、中国医师协会心脏重症分会青年委员。曾在香港中文大学威尔士医院心脏中心进修超声心动。参与多项国际及国内多中心临床研究,在国内核心期刊及国际期刊发表文章10余篇。