一波三折,“奇思妙想”,高难度瓣中瓣

近期武汉大学人民医院心内科江洪教授、陈静教授TAVR团队再次成功为一名重度主动脉反流合并二尖瓣反流病高龄外科高危患者实施经皮导管主动脉瓣植入术,术后恢复较好,症状改善明显。


病史资料

患者男性,75岁,体重60KG,因“反复胸闷气促半年余,加重1月”。患者既往有主动脉瓣关闭不全和慢性肾功能不全病史,曾于2019年拒绝心脏换瓣手术。后因反复胸闷气促加重,一月前出现静息下端坐呼吸、伴恶心纳差和急性肾功能衰竭。体检发现心界向左扩大,胸骨左缘第三肋间可闻及3/6舒张期叹气样杂音,心尖部听诊区可闻及3/6级收缩期吹风样杂音。入院后心脏超声示:升主动脉扩张,重度主动脉瓣关闭不全,二尖瓣中重度关闭不全, LVEF 30%。外科STS评分8.72%为外科高危人群,经江洪教授TAVR团队对其病变进行深入分析,反复讨论后,考虑患者高龄合并多种疾病,外科风险较大,决定为该患者行经导管主动脉瓣置换术(TAVR),是目前最好的选择。

术前分析及手术策略

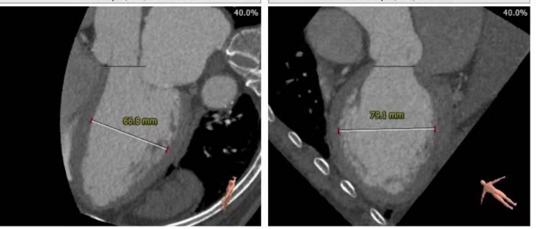
瓣环直径26.7

左室流出道直径:30.8

升主动脉增宽

冠脉高度尚可。左冠高度:13.4,右冠高度:20.6。心脏角度52

心室较大,心尖超薄

入路粗稍弯曲

手术难点

1. 纯反流三叶瓣,纯反流患者主动脉根部较光滑,易发生瓣膜移位

2. 左室流出道比瓣环大,呈喇叭口,支架易深,容易产生瓣周漏,如下滑严重瓣中瓣也无法解决瓣周漏,瓣膜位置要求高

3.心室较大,心尖薄弱,增加术中器械引发的心脏穿孔风险

制定手术策略

1. 瓣膜型号及球囊:瓣环26.7mm,左室流出道30.8mm,考虑32VenusA Plus瓣膜,

2. 冠脉风险:结合窦部大小大,stj高度和直径,冠脉风险小

3. 释放体位:结合瓣膜位置要求高,瓣膜下移风险大,故选择稍高1-2mm释放

4. 入路情况:入路直径较粗,稍弯曲,右股作为主入路

5.其他风险:心脏角度偏横位心,升主增宽,增加过弓难度,置入输送器时可调整超硬导丝调整方向延小弯侧方向靠。心尖较薄注意超硬导丝塑形防止心尖穿孔。

手术及诊疗过程

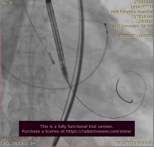
在放射科,超声科和麻醉科的通力协作下,顺利完成了术前准备,术者团队在术中谨慎建立轨道,根据主动脉根部造影的结果选择合适的跨瓣体位。

主动脉根部造影

输送器跨瓣

瓣膜稍高位释放


瓣膜位置稍深


使用venus-A plus回收后重新定位释放


瓣膜位置尚可

大结构瓣膜稳定性差,输送器使瓣膜跳到瓣上

奇思妙想使用射频消融大头压住支架至窦底

在大头压迫支架下释放第二个瓣膜

 第二个支架完美释放固定第一个支架

术后基本无返流

术中情况

1.在第一次释放瓣膜时,由于患者主动脉根部瓣上瓣下均比瓣环平面大,受到血流的冲击,瓣膜滑至较深的位置,使用venus-A PLUS回收

2.回收后重新定位释放,由于第一次滑至较深,第二次稍微卸力后瓣膜跳至窦上,使用venus-A PLUS回收,再次重新定位

3.第三次释放瓣膜后位置的把控非常精准,瓣膜位置合适,但由于稳定性差,撤出输送系统时瓣膜跳至窦上,此时非常凶险,瓣膜无法固定住,受到血流的冲击,可能对升主造成夹层的风险,一般会选择开胸取出,但风险非常,在江洪教授的思考下和团队的讨论下,决定使用射频消融大头穿过支架网孔使瓣膜到窦底固定,在此基础上释放第二个瓣膜,使用第二个瓣膜花冠固定住第一个瓣膜

4.第四次瓣膜释放后两个瓣膜均稳定住,造影超声评估无瓣周漏,二尖瓣反流也基本消失,观察一小时后,无其他情况。患者顺利下台

讨论总结

使用大头压迫支架到窦底看似简单的一步,实则巧夺天工,能够在如此危机情况下,想到如此精妙的操作,离不开江洪教授丰富的手术经验和灵敏的思维,如若第一个瓣膜深位释放,瓣中瓣也无法解决瓣周漏,病人也因祸得福,患者术后10天出院,症状得到显著改善,无瓣周漏,术后彩超复查瓣膜工作形态良好,患者反馈良好,精神状态得到很大提升。

团队介绍:

重度主动脉瓣反流是严重危及患者生命的心血管重症。患者猝死风险高。武汉大学人民医院心内科江洪教授团队多次面对高难度、高风险的复杂病例,不畏挑战,勇于攻关,凭借丰富的介入经验和熟练的技术,已顺利为多名心脏骤停、心功能极差、高龄,合并症多的主动脉瓣狭窄/关闭不全的患者进行经导管主动脉瓣置换术介入治疗,术后患者恢复好,生活质量得以明显提高,使生命得以高质量的进一步延续。

专家简介

微信截图_20210812094933.png

一级主任医师,二级教授,医学博士,博士生导师、国务院政府特殊津贴专家。

对心血管疾病的介入治疗有深入研究,对快速性心律失常的消融治疗和缓慢性心律失常的起搏治疗有丰富的经验,对瓣膜病、先天性心脏病和冠心病的介入治疗技术娴熟,安全有效地治疗万余例病人。因在心脏病介入治疗领域具有全面和十分精湛的技术而成为全国同行公认的知名专家。

国务院政府特殊津贴专家,跨世纪学科带头人,湖北省首届医学领军人才,珞珈杰出学者,赛克勒优秀医师奖获得者。兼任中华医学会心血管病学分会常委兼急重症学组组长、中华医学会心电生理和起搏分会常委兼室性心律失常工作组副组长、中国医师协会心血管内科医师分会心律学专业委员会副主任委员、湖北省医学会心血管病学分会主任委员、中国生物医学工程学会心律分会副主任委员、中国医学装备协会心血管装备技术专业委员会副主任委员。

微信截图_20210812094941.png

主任医师,副教授,硕士生导师,美国乔治亚理工大学访问学者。

擅长复杂冠脉介入、心血管急重症及心脏辅助装置管理、结构性心脏病介入治疗。兼任中华医学会心血管分会急重症学组委员兼秘书,中国医师协会心血管内科医师分会危重症学组委员,中国研究型医院心力衰竭专委会委员,中国心衰中心联盟委员,中国中部复杂冠脉介入青年委员会组长,中国心胸血管麻醉学会基层心血管病分会全国委员,湖北省医学会心血管内科委员,湖北省微循环学会心血管专业委员会 副主任委员,湖北省医师协会心血管内科医师分会委员,湖北省急性心血管疾病医疗救治中心秘书长兼委员,湖北省闭塞病变俱乐部委员兼常务秘书。

阅读数: 1126