近日,暨南大学附属第一医院李自成教授团队在麻醉科、影像科、超声科、体外循环及ICU等科室全力配合下,使用VenusA-Plus可回收输送系统完成首例可回收瓣膜TAVR手术。手术效果良好,基本无压差,无明显反流,结果满意。
患者基本情况
患者为73岁老年男性。CT评估显示其为三叶瓣,伴有轻度钙化,双冠高度可,升主动脉未见明显增宽,主动脉弓部角度平缓。瓣环最短径为17.6mm,最长径为24.7mm,平均瓣环直径为21.1mm。升主动脉平均直径33.6mm。左冠开口高度12.0mm,右冠开口高度14.2mm,冠脉阻塞风险低。外周血管未见明显钙化,最窄处直径为5.7mm。入路情况较佳。
瓣环
主动脉窦
窦管交界部
升主动脉
冠脉开口高度可,未有瓣叶遮挡征象
外周血管入路
手术策略
结合CT分析,李自成教授团队考虑使用右侧股动脉做为主入路,由于左侧髂总动脉近腹主动脉分叉处局部狭窄,考虑副路选择桡动脉;拟选用VenusA-Plus 26型号瓣膜植入。
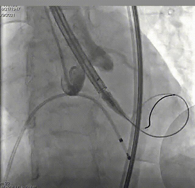
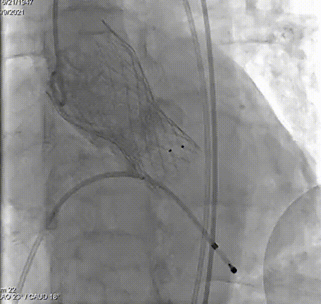
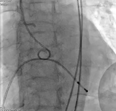
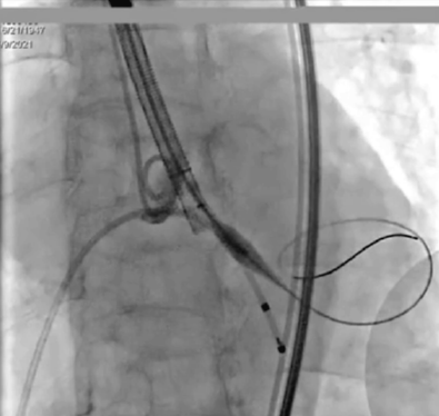
手术过程
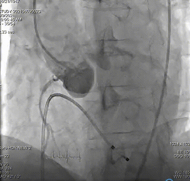
主动脉根部造影,双侧冠脉血流未见明显异常。
选取20mm球囊180bpm频率下快速起搏预扩。球囊扩张后未见反流,左右冠血流未受影响,选择VenusA-Plus 26型号瓣膜植入。
预扩
输送系统输送至窦底,行主动脉根部造影,借助无冠窦猪尾造影定位,由于该患者基础心率较缓慢,瓣膜无起搏顺利释放。

释放
术后心电监护未见传导阻滞。即刻造影和测压显示基本无压差和无反流。

手术圆满完成。李自成教授团队凭借着强大的团队配合,熟练的手术操作,临危不乱的心理素质,将患者从死亡线上拉了回来。再次展示了暨南大学附属第一医院在TAVR技术领域内的深厚实力。
在术后点评时,李自成教授谈到,VenusA-Plus瓣架在释放后可完全回收并重新定位,对于释放定位不佳、型号偏差或瓣膜移位的情况,术者可以拉回瓣膜重新释放,或完全回收后重新选取型号合适的瓣膜,从而取得更精准的释放和更良好的效果。
医院科室简介:
暨南大学附属第一医院心血管内科现为暨南大学博士、硕士学位授予点、临床医学博士后流动站。人才梯队合理,技术力量雄厚,目前设立二个专科病区及一个冠心病重症监护病房、心导管介入治疗室、心脏电生理室和心功能检查室等部分,拥有心血管造影仪、心脏电生理记录仪、主动脉球囊反搏仪、心电图活动平板、动态心电图和动态血压等先进诊疗设备。我科医师有十多人次曾赴德、日、美等发达国家学习,硕士及以上学历者达100%,博士学历者达80%。近年来,心血管内科教学科研成果丰富,培养海内外研究生200余名,获批国家级及省市科研立项资助达100余项,国际与国内横向研究项目30余项,发表学术论文(包括SCI论文)100余篇。截止目前成立了六个重量级心血管疾病管理中心:国家级胸痛中心、国家级房颤中心、国家级高血压达标中心、国家级心衰中心、CDQI心脏康复中心、华南远程心电检测中心。
暨南大学附属第一医院心血管内科开展多项特色技术,是国内首批使用冠脉旋磨术、药物球囊扩张术、急性心梗准分子激光消蚀新技术的医院之一,常规开展冠状动脉血流储备分数测定及冠脉内超声检查指导下的PCI术,国内首批应用可吸收支架冠脉介入治疗。联合床旁IABP、ECMO、 CRRT救治心肾等多器官功能衰竭,省内首批开展TAVI(经导管主动脉瓣膜置入)手术。国内首批开展局麻下左心耳封堵联合房颤射频消融一站式治疗,省内较早开展房颤冷冻球囊消融术,常规开展室早、室速、房扑的射频消融术、心脏起搏器植入术(ICD、CRTD、希氏束(左束支)起搏)。开展了肾动脉狭窄介入治疗、基因检测诊断单基因性高血压及高血压防控的网络化管理。
TAVR团队介绍
主任医师、教授、博士研究生导师。博士。
分别于1983、1989和1997年在武汉大学医学院获得医学学士、心血管内科学硕士和心血管内科学博士学位。1983年至今先后在武汉大学医学院和暨南大学医学院的附属医院从事医疗、教学和科研工作。1986年开始从事心血管内科临床工作和心血管病的实验与临床防治研究工作,1990年开始从事心血管病介入诊疗工作。承担或参加国家级、省部级和厅局级课题10余项,主要从事高血压、动脉粥样硬化的防治研究和冠心病PTCA后再狭窄的防治研究,迄今以第一作者发表学术论文30余篇。
擅长:擅长各种心血管内科疾病的诊断与治疗,特别是难治性心力衰竭、高血压病、心律失常、心瓣膜病和冠心病的诊断与治疗,包括心律失常、心瓣膜病、冠心病、肾血管性高血压和先天性心脏病等心血管病的心导管介入诊断与治疗。
擅长各种心血管内科疾病的诊断与治疗,特别是难治性心力衰竭、高血压病、心律失常、心瓣膜病和冠心病的诊断与治疗,包括心律失常、心瓣膜病、冠心病、肾血管性高血压和先天性心脏病等心血管病的心导管介入诊断与治疗
学术任职:广东省医学会心血管病分会常委,广东省中西医结合学会心血管病专业委员会常委,广东省介入性心脏病学会理事,广东省医学会心脏起搏与电生理分会委员,广东省优生优育学会委员。担任《实用医学杂志》编委,《中国循环杂志》、《中国心脏起搏与心电生理杂志》、《暨南大学学报》、《广东医学》特约审稿人。