2021年8月19日,广东省人民医院心外科陈寄梅教授、黄焕雷教授团队成功完成1例TAVR瓣膜毁损后“瓣中瓣”手术。本次手术是佰仁医疗Renato介入式瓣中瓣系统首次应用于治疗毁损TAVR瓣膜,也是中国首个球扩式瓣中瓣临床试验中首例通过瓣中瓣技术治疗毁损TAVR瓣膜。截至目前,Renato瓣中瓣系统的应用不仅覆盖了3个瓣位、6种不同植入路径,并且覆盖各种品牌的外科生物瓣与介入瓣损毁的再介入治疗,表现堪称“全能”。
患者男性,72岁,有慢性肾衰血透病史,几年前因重度主动脉瓣返流,行经心尖介入主动脉瓣植入手术(TAVR),植入25号自膨式介入瓣膜。
3个月前开始再次出现胸痛及呼吸困难,并呈进行性加重,伴夜间不能平卧,食欲减退。
心脏超声检查提示TAVR术后,人工瓣膜支架极重度瓣内反流(反流面积达20cm2),中度二尖瓣返流,轻度三尖瓣返流,肺动脉高压。
考虑既往植入的介入主动脉瓣瓣叶撕裂。患者合并肾功能衰竭,长时间血液透析,血管钙化,STS评分>8%,属于外科换瓣手术高风险患者。
毁损TAVR瓣膜截面呈椭圆形
毁损TAVR瓣膜内模拟瓣中瓣植入
左冠开口高度
右冠开口高度

外周血管钙化严重
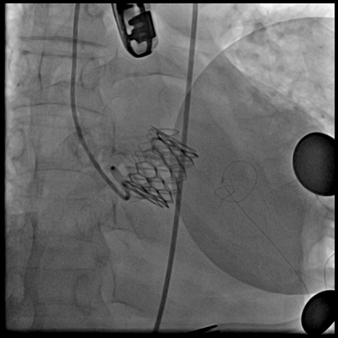
术前经详尽评估患者病情,通过CT重建观察到既往植入的自膨式TAVR瓣膜呈椭圆形,测量瓣环直径,及双侧冠脉开口高度,并评估外周血管入路。由于患者外周血管钙化严重且迂曲,经外周血管途径有较大风险,决定对该病例采用经心尖途径行TAVR瓣膜内 “瓣中瓣”手术。但第二次经心尖途径又将面临心脏、肺、胸壁肌肉组织的粘连,手术难度大。经术前反复讨论和仔细测量毁损TAVR瓣膜的平均内径和冠脉开口高度,决定选用25号 Renato球扩瓣膜。Renato球扩式瓣中瓣可以提供更强的径向支撑力,瓣架高度低,术前模拟植入评估显示冠脉梗阻风险低。手术过程顺利,最终瓣中瓣植入位置理想,功能表现出色,主动脉根部造影及经食道超声观察无瓣中及瓣周返流。
球扩瓣中瓣

瓣中瓣植入后主动脉根部造影
广东省人民医院心外科陈寄梅教授和黄焕雷教授表示:
近年来,介入主动脉瓣置换技术(TAVR)在中国发展十分迅速,给越来越多的外科手术高危或禁忌的主动脉瓣膜病变患者带来了介入治疗的机会。但无论是在国际上还是在国内,TAVR瓣膜的中长期耐久性尚有待于进一步验证。随着国内TAVR手术量逐年增加,接受TAVR手术患者的年龄也趋向年轻化,和外科生物瓣一样,日后越来越多植入TAVR瓣膜的患者也将面临再次治疗。特别是有肾衰血透病史的患者,在植入生物瓣后比正常患者更容易出现瓣膜损毁。初次介入瓣膜植入后发生瓣膜损毁后如何获得延续治疗,是目前临床上亟待解决的问题。相比于外科生物瓣植入后发生的毁损,由于TAVR瓣膜的特殊支架设计,TAVR瓣膜植入后发生毁损如需再次外科开胸手术换瓣,取出毁损瓣膜将更困难,术式更复杂,手术风险更高。因此免于再次开胸换瓣的介入“瓣中瓣”技术将成为解决TAVR瓣膜发生毁损后的有效治疗手段。
广东省人民医院心外科之前已有使用Renato介入瓣中瓣系统成功治疗了外科生物瓣毁损的成功经验,此次又应用该产品在国内率先成功治疗了TAVR瓣膜毁损的患者。Renato瓣中瓣采用全球主流的球扩式设计,瓣架高度低,径向支撑力强,输送安全,易于释放,尺寸型号全面,适合于不同瓣位及不同入路的瓣中瓣手术。预计该产品将有广阔的前景,帮助解决临床上遇到的各类生物瓣毁损的情形,创伤小恢复快,造福于更多患者。
球扩瓣膜 蓄势待发
佰仁医疗Renato介入瓣中瓣系统,采用全球主流的球扩式设计,瓣架高度低,径向支撑力强,输送安全,定位精准,易于释放,适合于不同瓣位及不同入路的瓣中瓣手术。该瓣膜的设计与工艺实现了以本企业成熟的外科牛心包瓣同样的启闭模式与血流动力学特性,特别是加速疲劳测试验证了其与外科牛瓣相同的耐久性,采用经长期临床验证的抗钙化改性处理的牛心包为瓣叶材料,使该产品顺利通过全性能注册检验和动物实验验证,目前已正式启动多中心临床试验。该临床试验正面向社会招募患者,为更多类似需要救治的危重患者提供救治机会。
关于佰仁医疗
佰仁医疗是国内动物源性植入材料与人工心脏瓣膜研发与生产的高新技术企业。公司于2019年正式登陆上交所科创板(股票代码:688198),成为国内人工心脏瓣膜领域首家上市企业。公司拥有动物源性材料的核心处理技术,其生产的外科牛心包生物瓣膜是目前国产瓣膜中唯一被大组、长期临床实践证实的成熟产品,其长达14年大组随访结果出色,已发表在国际知名期刊上。公司研发的介入瓣中瓣、介入主动脉瓣,介入肺动脉瓣等多项产品均已正式启动临床试验。
专家简介

心血管外科主任医师,医学博士,博士研究生导师。广东省心血管病研究所、广东省人民医院瓣膜及冠心病外科主任。国家心血管病专家委员会微创心血管外科专业委员会常委,国际微创心脏外科学会委员(ISMICS),广东省医学会心血管外科分会常委及秘书。擅长微创心脏外科手术治疗,尤其擅长各类微创瓣膜成形手术和介入瓣膜手术。每年完成心脏手术近500例,其中全胸腔镜微创心脏手术和全胸腔镜微创二尖瓣及三尖瓣成形手术量位居全国前列,修复成功率接近100%。成功开展了介入主动脉瓣、二尖瓣、三尖瓣的瓣中瓣手术、并在国际上率先开展了全胸腔镜微创瓣叶补片扩大三尖瓣成形新术式,在治疗心脏术后远期出现的三尖瓣反流收到明显成效,大大降低了死亡率。同时积极开展血液管理技术的临床应用,使大部分心脏手术患者避免了输血,减少了输血所带来的风险。