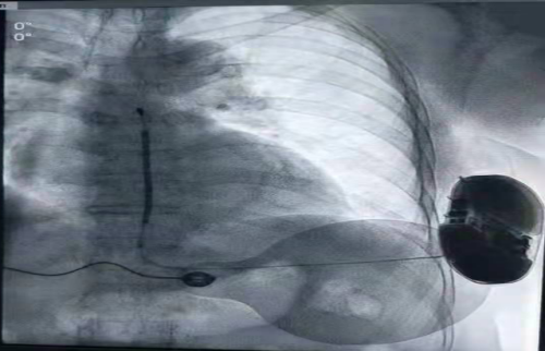
9月17日,中南大学湘雅三医院心血管内科心律失常与心力衰竭亚专科张志辉教授及叶飞博士团队成功为一名猝死高危的Long QT综合征患者植入全皮下植入式心律转复除颤器(S-ICD)。本次植入病例为湖南省首例,开创了湖南省猝死预防新纪元。
专家简介

医学博士,教授,主任医师,中南大学博士生导师,中南大学湘雅三医院心血管内科副主任、心律失常心衰专科主任,中南大学湘雅三医院房颤中心主任、心衰中心主任、卫健委心律失常介入培训基地导师,1995年本科毕业于衡阳医学院临床医疗系,2000年硕士研究生毕业于中南大学,2011年博士研究生毕业于中南大学,曾先后赴德国(2008)、美国俄克拉荷马大学(2009)、美国威斯康星大学(2013)及美国加州大学洛杉矶分校(2014)进修和访问学习。
主持国家自然科学基金一项(2018年)、承担省、部级科研课题7项,发表学术论文20余篇(SCI7篇),参编学术专著5部, “主动电极行多部位生理性起搏植入” 新技术2007年获得中南大学临床新技术二等奖。2011年获得中南大学“教学十佳”称号,2013年获湘雅三医院“一二五人才计划”第一层次学科带头人。
从事心血管疾病医疗、教学与科研工作20余年,为中南大学湘雅三医院心电生理学与起搏、先心病介入治疗及心律失常专科奠基人。2011年带头成立湖南省首个心律失常专科,目前心电生理及起搏手术量排名湖南省第二,房颤手术量排名第一;心律失常学科影响力排名湖南省第二。2018成功带领团队成功获得中国房颤中心(全国示范中心)(湖南省两家);2019成功获得中国心衰中心(全国示范中心)(湖南省仅一家)。个人完成心电生理及起搏手术介入7000余台,手术会诊足迹踏遍三湘四水,并曾到湖北、广东、广西、河南等地多家三甲医院。
学术任职:中国医师协会心律学专业委员会全国委员(第一、二、三届)、中华医学会起搏与心电生理学分暨中国医师协会心律学专业委员会青中年电生理专家委员会常委、中国房颤中心联盟常委、湖南省房颤中心联盟副主席、中国房颤中心左心耳封堵委员会常委、中国心衰中心委员、湖南省心衰中心联盟常务副主席(主持工作)、中国医促会湖南重症心脏病分会副主任委员、中华医学会起搏与心电生理学分会心房颤动工作委员会委员、湖南医学会心血管病分会心脏重症学组副组长、中国医师协会心血管病分会心律失常工作组委员、中国医师协会新闻媒体工作委员会委员、中国人体健康科技促进会结构性心脏病专委会全国委员、中国医院协会心脏康复管理专业委员会全国委员、湖南省医学会起搏与心电生理分会委员。