手术亮点
3、应用可回收瓣膜,更精准的定位,带给患者更好的即刻手术效果和更好的临床预后。
病例介绍
患者为94高龄老年男性患者,5年前出现胸闷憋喘,活动后明显,诊断为主动脉瓣钙化并重度狭窄,1年前症状加重,药物治疗好转后半年前再次加重。术前超声检查结果显示,主动脉瓣平均跨瓣压差63 mmHg;峰值流速5.02 m/s,左室射血分数29%,心功能极差,诊断为主动脉瓣钙化、重度狭窄并轻、中度反流。且患者合并有心力衰竭、冠脉支架病史、高血压三级、右侧髂总动脉闭塞等。术前CT结果显示,瓣环平均直径24 mm,左室流出道直径24 mm,主动脉瓣窦部内径约30 mm左右,STJ为30 mm左右,左、无冠窦存在钙化融合迹象,左冠开口高度14.1 mm,右冠开口高度11.8 mm。
瓣下平均直径约为24 mm,瓣上平均直径也约为24 mm,瓣上6 mm及8 mm处为可能的锚定点。综合患者实际情况及瓣膜特点,计划选择TaurusElite 23 mm可回收瓣膜。
考虑到患者心功能极差,EF值仅为29%,为避免全麻过程中循环阻力降低导致患者循环崩溃,因此选择采用局麻强化策略,保证患者血流动力学稳定。同时基于患者血流动力学状态,拟选择20 mm球囊进行预扩张,避免使用大球囊预扩后可能发生的主动脉瓣大量反流,及其引发的患者循环崩溃等不良事件。
手术过程
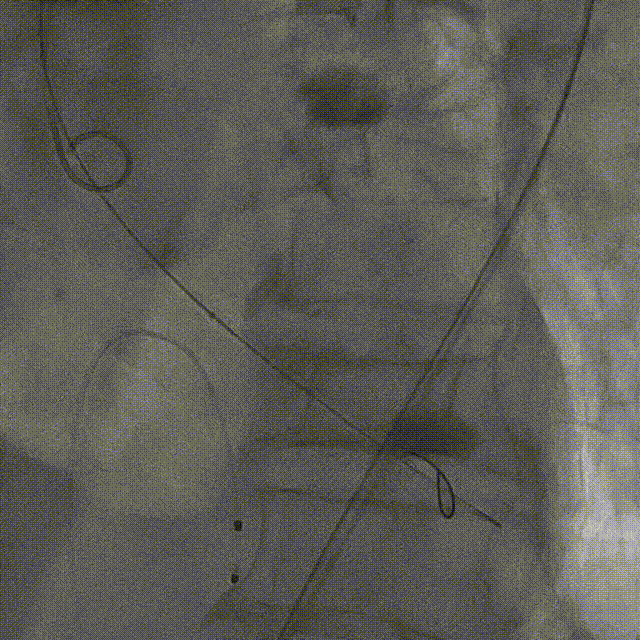
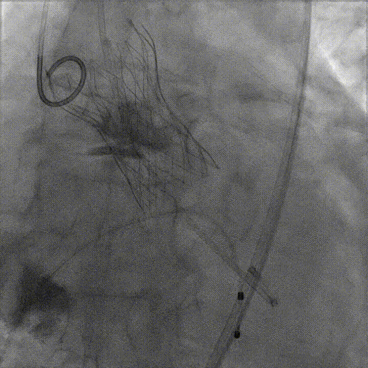
术中采用局麻强化策略,使用右侧股动脉入路,成功穿刺后,首先置入20 F大鞘,并于大鞘中置入一个5 F鞘管和一个10 F鞘馆。使用10 F鞘馆送入导丝,成功完成跨瓣操作,并使用5 F鞘管送入猪尾导管到达主动脉根部。随后沿导丝送入20 mm球囊,180次/min快速起搏下行球囊预扩张,同时进行主动脉根部造影,造影结果显示,预扩球囊腰征明显,无瓣周漏,冠脉亦未受影响,可以选择TaurusElite 23 mm可回收瓣膜。

明确植入瓣膜尺寸后,由于是单血管入路,因此先撤出猪尾导管,再送入TaurusElite可回收瓣膜输送系统,当输送系统到达降主动脉后,再次使用5 F鞘管送入猪尾导管于主动脉瓣根部,并继续将输送系统送到主动脉瓣处,顺利跨瓣。

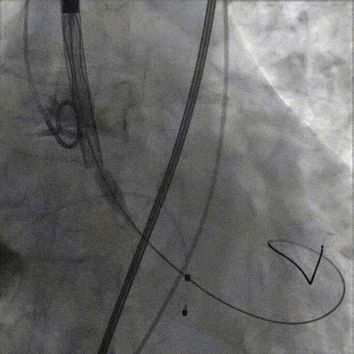
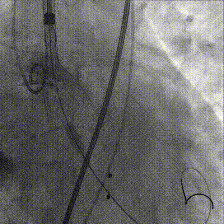
首次释放瓣膜尝试零位释放,当瓣膜释放到一半时行主动脉根部造影,发现瓣膜释放位置偏低,遂回收瓣膜重新定位后再次释放,当瓣膜释放一半时再行主动脉根部造影,发现瓣膜位置良好,遂完全释放瓣膜。




完全释放瓣膜后,经胸超声心动图显示存在轻微反流;术后造影复查显示瓣膜释放良好,轻微反流,患者情况明显改善。最后撤出导管导丝,边撤边造影,确认没有入路相关并发症,圆满完成手术。
手术总结
宋光远教授团队:本例手术患者为94岁高龄患者,基础心功能差,EF仅为29%,在手术策略制定过程中,考虑到需要保持患者血流动力学稳定,预防循环崩溃的发生,选择了20 mm预扩球囊,同时采用局麻强化方式,避免相关事件的发生。在此过程中,麻醉团队的支持十分重要,一方面要在维持患者呼吸前提下,解决镇痛问题,所以术中用了微量右美托咪定及枸橼酸舒芬太尼注射液,维持患者麻醉深度;另一方面,为了更好地维持患者血流动力学情况,需要在术前准备好静脉通路,随时可应用血管活性药物保持循环正常。而在局部麻醉方面,目前常规应用两支利多卡因,在穿刺点周围充分浸润麻醉,同时也要保证一定的深度。
在瓣膜型号的选择方面,根据术前CT结果可以发现,患者瓣环直径与左室流出道直径均在24 mm左右,但瓣环平面上方4 mm处就开始出现瓣叶融合的情况,左无之间、左右之间都存在未能完全打开的瓣叶,这些瓣叶是否能打开,影响了最终瓣膜型号的选择。但从融合处的钙化情况来分析,瓣叶打开的可能性不大,当不能打开瓣叶时,主动脉瓣下方直径24 mm,上方直径约22 mm,因此选择23 mm瓣膜是合理的。同时,考虑到今天使用的瓣膜为TaurusElite可回收瓣膜,其23#瓣膜的底边直径为24.5 mm,完全可以贴合瓣膜,避免反流的发生,这也是今天手术中,虽然瓣膜有所下移,但依然没有严重反流并发症发生的原因。
最后,本例手术采用单血管入路ALL IN ONE 技术,虽然送入瓣膜输送系统时需要撤出猪尾导管,然后再重新送入,但这一技术减少了一个穿刺点,降低了患者创伤,使患者具有更好的诊疗体验与获益。我们的所有努力,都是基于这样一个美好心愿:将所有的麻烦留给术者,将所有的获益留给患者!希望随着TAVR技术的不断进步,局麻强化、单血管入路、极简式TAVR等能为患者带来更多获益的技术,都能得到更多的推广,在促进TAVR领域进一步发展的同时,让患者得到更多获益!