云南省阜外心血管病医院团队完成MitraFix™介入二尖瓣置换注册临床试验全国首例入组

近日,云南省阜外心血管病医院潘湘斌执行院长,携潘家华主任,胡晓鹏主任,朱达主任、王首正主任、心超科骆志玲主任,在多学科Heart Team团队密切配合下,成功完成了由以心医疗科技有限公司研发的我国首款自主研发的介入二尖瓣置换产品 MitraFix™首例注册临床试验,标志着由胡盛寿院士作为全国PI的NMPA注册试验正式启动,我国介入二尖瓣治疗领域迈入新的篇章(图1)。

患者为年愈6旬老年男性,因反复心累气紧入院,伴双下肢进行性水肿,入院诊断:二尖瓣重度关闭不全,心功能III级,合并心房颤动,甲状腺功能减退,严重的慢性阻塞性肺部疾病等并发症。心超提示:左心房增大,左心室增大,心功能降低,肺动脉高压,瓣环扩张,前后瓣叶脱垂,二尖瓣复合病变(FMR合并DMR)。

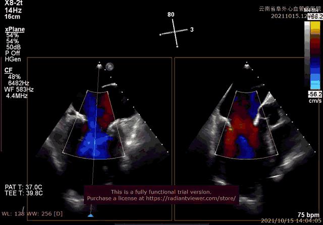
经过云南阜外医院结构性心脏病MDT团队综合讨论评估该患者病情后,患者为传统手术高危患者,瓣膜病变解剖无法行介入修复,决定进行MitraFix™经心尖二尖瓣植入。术前心脏CTA二尖瓣D形瓣环面积折算直径34mm, 模拟植入34号介入二尖瓣膜(外经约40mm)后左心室NeoLOVT面积可(>150mm2)。手术在单纯超声引导下完成,采用左侧肋间4cm微创切口心尖入路,在超声引导下,输送系统准确跨瓣,并将瓣膜准确释放于二尖瓣瓣瓣环,瓣膜释放后支架贴合牢固,无瓣周漏及瓣内反流,二尖瓣前向血流通畅,平均压力阶差2mmHg,左心室流出道通畅,流出到血流速度为2.3m/s,平均压力阶差8mmHg(图2-3,视频1)。顺利撤出输送系统,关闭心尖切口,手术顺利结束。

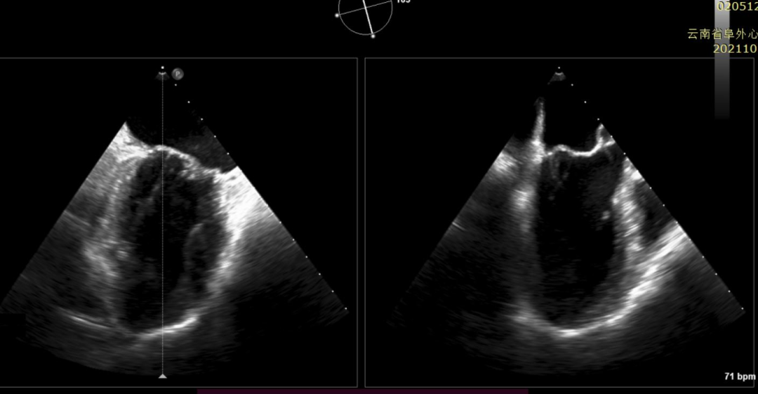
图2:术中TEE见左心增大,收缩期瓣叶广泛脱垂,心功能降低

图3:采用3D实施多平面定位引导瓣膜释放

二尖瓣病变是发病率最高、介入治疗难度最大的瓣膜疾病。在我国,据不完全统计,二尖瓣病变潜在患者人数逾千万,治疗缺口极大。同时,由退行性(DMR)及功能性(FMR)二尖瓣关闭不全构成的复杂二尖瓣反流疾病谱,也大大增加了该类瓣膜病变的治疗难度。介入二尖瓣诊疗器械的研发已成为全球心血管介入诊疗领域的热点及难点。不同于介入二尖瓣修复,介入置换不受瓣膜病变解剖的限制,有着更好的患者解剖适用性和更佳广泛的应用前景,也是国际介入二尖瓣领域的研发热点。作为我国第一款拥有全球范围自主知识产权,且同时拥有经心尖途径及经股静脉途径的介入二尖瓣置换产品,MitraFix™介入人工二尖瓣膜NMPA注册临床研究的顺利开展,标志着我国介入二尖瓣诊疗领域迈上新的台阶。

中国医学科学院北京阜外医院、云南省阜外心血管医院结构性心脏病团队在胡盛寿院士的关心指导下和潘湘斌教授的带领下,持续在介入二尖瓣领域探索前行。目前累计完成介入二尖瓣手术近百例,技术覆盖了介入二尖瓣置换,介入二尖瓣缘对缘修复,介入二尖瓣人工腱索修复等多个技术路径,形成了完善的治疗体系。创新的引入全超声影像引导二尖瓣介入诊疗的技术理念,相关系列学术成果发表于JACC cardiovascular intervention等顶级学术期刊,期待更多的国产原创器械和国产原创技术能够惠及我国广大的心脏瓣膜疾病患者。

阅读数: 9836