宋光远教授团队:应用MitraClip治疗
CHINA STRUCTURAL WEEK 2021
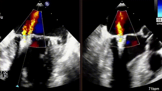
患者男性,86岁,1个月前开始出现夜间阵发性呼吸困难入院。至医院查心电图提示心房颤动,查超声心电图提示二尖瓣前叶(A2偏3区)脱垂并腱索断裂、二尖瓣前叶对合点后移并返流(重度、4级、DMR、Carpentier Ⅱ型)。
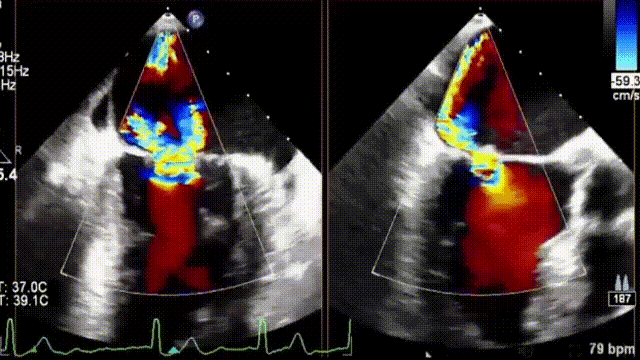
术前,宋光远教授团队对患者基本情况进行反复研究,确定患者不适合外科开胸手术,遂决定选择微创的经导管二尖瓣夹合术。术中经股静脉入路,在超声介导下成功完成房间隔穿刺并建立导丝路径。随后,宋光远教授通过信息采集机器人的高清摄像设备清楚展示了MitraClip系统手术器械的准备过程,对Clip、SGC、CDS及固定装置进行排气及体外调试,以及后续的手术过程。由于患者左前降支存在严重狭窄且合并房颤,如何保障患者围手术期血流动力学稳定是完成手术的重要难题。在食道超声及X线引导下,应用两个MitraClip的二尖瓣夹反复调整夹取位置,最终成功捕获并夹合返流严重部位,使二尖瓣在收缩期由大的单孔变成小的双孔,从而减少二尖瓣返流。二尖瓣夹释放后,超声显示返流几近消失,患者各项生理指标正常。
术前彩超结果
术后彩超提示返流几乎消失
宋光远、吴文辉教授团队:顺利释放CP支架
及球囊,成功救治先天性主动脉缩窄患者
CHINA STRUCTURAL WEEK 2021
患者为32岁女性,因“体检发现主动脉缩窄2月余”入院,入院后经超声心动图检查为先天性主动脉缩窄、动脉导管未闭(左向右分流),拟进行CP支架植入术,备同期PDA封堵术。
术中经右股静脉穿刺,对主动脉进行血管造影再次确认患者情况,并确定植入支架尺寸。随后,吴文辉教授通过信息采集机器人的高清摄像设备展示了专用于主动脉缩窄的可生长支架CP支架的组装过程,并具体讲解了与之配套的BIB球囊使用方法和效用,该球囊具有双层囊状结构,可均匀扩张CP支架,从而避免形成漏斗形、哑铃形。
CP支架组装过程
顺利完成CP支架组装后,经股动脉放置鞘管,成功将支架和球囊推送至血管缩窄段进行释放,血管造影结果提示预后效果理想。

术前、术后主动脉造影对比
宋光远教授团队:为94岁主动脉瓣重度
CHINA STRUCTURAL WEEK 2021
术中考虑到患者心功能极差,为避免全麻过程中患者循环崩溃,遂采用局麻强化策略;同时由于患者髂动脉内曾植入支架,因此选择左侧股动脉作为主、副入路。经左侧股动脉入路成功穿刺后,首先置入20 F大鞘,并于大鞘中置入一个5 F鞘管和一个10 F鞘管。成功沿10 F鞘管送入导丝,完成跨瓣操作后,随后沿导丝送入20 mm球囊进行预扩张,并于主动脉根部造影。造影结果显示,预扩球囊腰征明显且无瓣周漏,遂选择TaurusElite 23 mm可回收瓣膜。
由于是采用单血管入路,术中先撤出猪尾导管,再送入TaurusElite可回收瓣膜输送系统,随后再次通过5 F鞘管送入猪尾导管,顺利完成跨瓣。在首次尝试进行瓣膜零位释放时,经造影发现释放位置偏低,遂回收瓣膜重新定位后再次释放。经造影检查瓣膜位置良好,遂完全释放瓣膜。术后造影显示瓣膜释放位置理想,患者情况明显改善,手术圆满成功。


首次、二次释放造影造影结果
术后造影情况
CHINA STRUCTURAL WEEK 2021
这三台手术的成功开展,不仅彰显了国内结构性心脏病领域专家的高超技术,也体现了国内医疗器械研发的不断探索已经取得了一定成果。由首都医科大学附属北京安贞医院自主研发的信息机器人,可以通过人工智能运算,以及为手术器械赋予“靶标”的方式,使得摄像头跟随手术刀自动移动,从而将正在操作的区域高清展示;同时,线上专家也可以远程遥控摄像头,对手术进行现场指导。该技术的应用,无疑能为线上线下术者提供更直观、更清晰的手术流程展示,同时也为进一步推动我国结构性心脏病领域的发展、提高术者的专业技术水平提供了强大助力。