葛均波院士团队成功完成经皮二尖瓣修复产品ValveClasp首例植入

今日上午,复旦大学附属中山医院心内科葛均波院士结构团队的周达新教授、潘文志、陈莎莎医生,以及超声科潘翠珍教授、李伟医生,成功完成上海捍宇医疗自主研发创新性经股静脉二尖瓣修复产品ValveClasp的首例人体植入。香港林逸贤教授参与线上指导,对器械性能做出肯定评价。

图片
 图1  手术团队合影

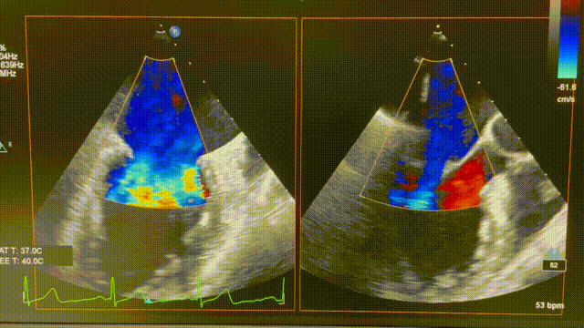
患者为74岁女性。术前心超显示后叶P2脱垂,伴极重度二尖瓣反流(VCW 9mm*16mm),图2。患者全麻后,在超声和射线引导下器械经股静脉穿刺房间隔,通过输送系统送入患者左心房,到达二尖瓣膜反流处,在经食道超声及DSA引导下,术者通过反复评估二尖瓣膜脱垂范围、抓捕位置、反流程度,精准夹合,成功植入1枚ValveClasp瓣膜夹。术后即刻左房压力及V波减低,患者反流从5+减少到1+(图3),跨二尖瓣平均压差3mmHg,肺静脉逆流消失,血流动力学改善明显,手术取得圆满成功。

图片

图2 术前心超图。

图片

图3 术后心超图。

ValveClasp为上海捍宇自主研发的经股静脉二尖瓣缘对缘修复(TEER)产品,申请了全球专利保护。具有以下几个优势(图4):

图片

 图4 经股静脉缘对缘二尖瓣夹合系统 ValveClasp产品设计图

① 延续了ValveClamp“以小治大”核心理念,创新性的提出可扩展臂设计,在纵向夹合基础上产生横向对合效应,最大夹合宽度达10mm,从而产生更大的夹合面积及更好的力学效应,防止目前夹子夹合后由于受力不平衡产生侧漏或者新的反流,从而达到更完美夹合效果。单个夹子即可能达到完美的效果,克服目前产品二个夹子植入率过高(60%以上)的弊端,从而降低手术难度和减少手术时间。值得一提的该病例验证ValveClasp以小治大的设计理念,两腔心反流血流宽度达16mm,单个夹子即取到满意效果。

②采用强大机械锁定装置,避免了弹性自锁定夹子锁定力不够容易脱落的弊端。另外,还拥有分别捕获、心房测压等高级功能。

③使用简化式的输送系统设计。最大程度减少操作手柄上按钮,使得医生学习曲线更短,操作更简单。

④完全实现国产化。本套系统中包括调弯鞘管在内的95%零部件为捍宇自主研发加工生产,百分百实现国产化。在磨练研发团队、掌握核心技术基础上,极大程度降低生产成本,避免被国外供应商“卡脖子”。在打造纯正的中国创新的同时,有利于转产以及下一代产品和其他产品的研发。

VaveClasp的首例成功,标志着捍宇医疗产品线丰富程度上了一个新台阶,成为全球唯一拥有心尖及经股TEER器械的供应商,同时也验证了捍宇医疗强大自主研发能力。

阅读数: 5994