火眼金睛,全心呈现,ICE助力卵圆孔未闭封堵术圆满成功!

近日,首都医科大学附属北京天坛医院心内科主任金泽宁教授团队完成了院内首例心腔内超声(ICE)指导下的卵圆孔未闭(PFO)封堵术。

什么是卵圆孔未闭?

卵圆孔是心脏房间隔胚胎时期的一个生理性通道,正常情况下婴儿在出生后2个月左右融合,若超过1岁未能融合则形成卵圆孔未闭(patent foramen ovale,PFO)。近年来,越来越多研究发现卵圆孔未闭与不明原因脑卒中、偏头痛等疾病密切相关。

卵圆孔未闭有哪些症状?

当因各种原因(如剧烈运动、咳嗽、潜水等)导致患者右心房压力超过左心房时,卵圆孔未闭可致心脏内血流出现明显的右向左异常分流,或短暂,或持续,从而引起不明原因脑卒中、偏头痛、减压病等相关临床综合征,开始出现相应症状,包括不明原因的头痛、头晕、呼吸困难或肢体无力等。

什么是ICE?它有什么优势呢?

ICE全称为心腔内超声,它通过将直径仅3mm左右的超声导管以微创方式送入心腔,进而高效、安全、精准的呈现心腔超声影像。

1、ICE如同长在心脏内的火眼金睛,通过超声成像,医生可以直观准确地观察到心腔内的实时超声影像,及时处理各种情况,提高手术的安全性和有效性。

2、ICE只需要在患者股静脉身上进行无需缝合的穿刺,且手术过程只需局麻,可以减轻患者痛苦,有利于术后恢复。

3、ICE可以极大降低甚至避免X射线的使用,最大限度保护患者和医生免受辐射伤害。

在充分的术前准备后,金教授带领团队运用心腔内超声(ICE),将只有三个多毫米直径的微小超声波探头,通过股静脉直接送到心脏内部,心房、卵圆窝、心耳等结构通过ICE实时清晰呈现。随后在ICE的直视和引导下,金泽宁教授凭借丰富的操作经验,结合ICE的清晰图像,精准定位“卵圆孔未闭处”,释放封堵伞,完美封堵住缺口。再次通过ICE观察和多重验证,手术圆满成功。

图片

图片

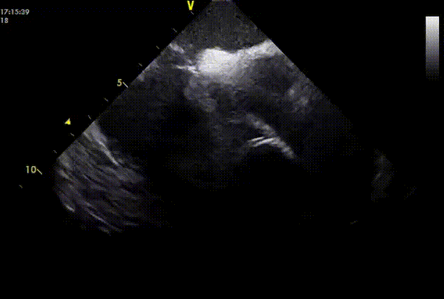
 导丝通过PFO

图片

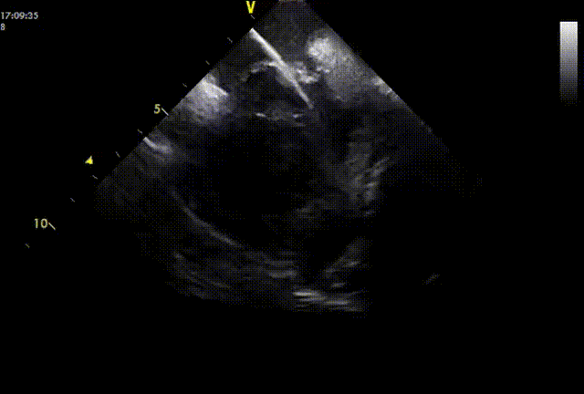
封堵盘展开

本次PFO手术在ICE全程实时监控下,从穿刺到手术成功完成仅用了20分钟。患者还没反应过来,金教授便解决了伴随他几十年的“缺孔”。保证手术安全,提高手术功效,是我们不懈追求的目标,火眼金睛,全心呈现,ICE助力卵圆孔未闭封堵术圆满成功!

阅读数: 1297