2021年11月23日,复旦大学附属中山医院葛均波院士及团队的周达新教授、潘文志教授、陈莎莎医师,心麻郭克芳教授、心超李伟教授等,成功应用康德莱医械(HK1501)旗下子公司上海翰凌医疗器械有限公司研制的带有锚定结构的球扩式TAVR产品HanchorValve为一位88岁外科高危(STS评分8.1)单纯性重度主动脉瓣关闭不全患者(serverePNAR)实施了股动脉入路经导管主动脉瓣置换手术,手术非常成功。
HanchorValve经导管主动脉瓣膜系统临床研究首例入组(FIM)的成功,标志着由复旦大学附属中山医院葛均波院士团队作为主要研究者的全国多中心FIM正式启动。该瓣膜系全球首款经股入路、带有锚定结构、可治疗重度主动脉瓣关闭不全和重度主动脉瓣狭窄双适应症的球扩式TAVR系统产品。术后,葛均波院士对该款瓣膜进行了高度评价:Hanchorvalve的问世,将主动脉瓣膜置换手术从过去主要依赖瓣环流出道定位,推进到依据瓣叶自定位的新阶段,进一步推动拓展了TAVR瓣膜的解剖适应征,缩短瓣膜置换手术的学习曲线,为瓣膜置换手术的广泛开展提供助力。
患者病史
患者为88岁男性。主诉:反复活动后胸闷20年,加重2周。诊断为重度PNAR,持续性房颤,心功能III-IV级(NYHA);慢性肾功能不全(eGFR 40L/min);慢性支气管炎。
术前评估
心脏彩超:重度PNAR(三叶瓣),轻度MR,中度TR,左室舒张末内径53mm,左室收缩末内径35mm,左室射血分数(LVEF)为62%。
CT评估:三叶式主动脉瓣,瓣叶轻度增厚,无钙化,瓣环85.6mm,窦直径38~42mm。
主动脉瓣根部解剖
入路解剖
手术过程
输送系统到位
定位环释放
瓣膜精准定位

术后造影
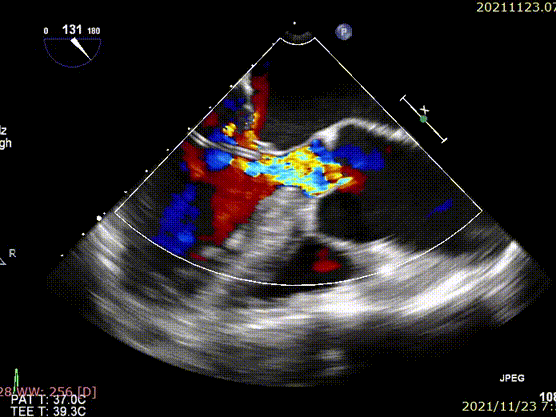
术前超声
术后超声
术后评价:
术后患者状态良好,CT评估未见异常,无瓣周漏,血流动力学良好。瓣膜植入后峰值流速0.82m/s,平均跨瓣压差1mmHg。
翰凌医疗的HanchorValve经导管主动脉瓣膜系统为全球首创、并拥有完全自主知识产权,其独特的锚定结构设计,可实现瓣膜的精准自主定位。这也是全球首款经股入路的既可治疗主动脉瓣狭窄又可治疗主动脉瓣反流的球扩式经导管主动脉瓣膜系统。
本项目团队的核心成员来自中国心血管医生创新俱乐部(CCI),本项目是CCI平台下“医工结合”的又一成功案例, 原始概念由CCI学员提出,由翰凌医疗进行转化及后期研发。CCI成立六年来,一直致力于打造一个从创新理念到创新转化到创新服务的全流程孵化、转化平台。通过该平台,使许多临床医生的idea得以成功转化。期待未来CCI能够孵化、转化出更多原创产品,为广大患者提供更加优质的中国方案。
葛均波院士寄语
本次使用的瓣膜产品是一款经股入路、带有锚定结构的球扩式经导管主动脉瓣膜系统产品,可治疗单纯性重度主动脉瓣关闭不全和重度主动脉瓣狭窄双适应症。该款瓣膜可以实现自主寻找窦底,如同汽车的“手排挡”升级到“自排挡”,将主动脉瓣膜置换手术从过去主要依赖瓣环流出道定位,推进到依据瓣叶自定位的新阶段。
同时,这款瓣膜植入深度控制精准,有效减少了左束支传导阻滞的发生率,进而大大降低了永久起搏器的植入率。
此外,该款瓣膜采用了短支架设计,有效避免冠状动脉开口堵塞而导致的心肌缺血。
这款瓣膜独特的设计,有效缩短了瓣膜置换手术的学习曲线,使术者更容易掌握、并开展手术治疗更多的病人。
周达新教授寄语
本例临床试验的患者是一例单纯性重度主动脉瓣关闭不全患者。在手术过程中,这款瓣膜产品使用体验非常流畅,仅仅31分钟就完成了手术。
这也是国内首款经股入路的可以治疗单纯性主动脉瓣关闭不全的瓣膜产品,在老龄化社会、关闭不全患者多于狭窄患者的今天,它将成为广大术者手中治疗主动脉瓣关闭不全患者新的利器。
潘文志教授寄语
首先祝贺翰凌医疗的经导管主动脉瓣膜系统手术取得了完美成功!
经股动脉治疗主动脉瓣反流在国际上目前尚未有很成熟的产品。翰凌医疗通过独特的设计,解决了经股入路治疗单纯性主动脉瓣关闭不全这一世界性的技术难题,产品性能达到了国际领先水平。这款极具创新力的一款瓣膜产品,在单纯性主动脉瓣关闭不全治疗领域,未来将有广阔的应用前景。