结瓣同行,贞心护航。
本着相互交流,共同学习的初衷,贞”心一“课”系列活动于2021年11月初正式拉开帷幕。该活动由安贞医院心脏瓣膜病介入中心发起,通过与亚太结构性心脏病青年俱乐部(APSHD)开展的”结瓣同行“活动合作,特以每周定期分享二尖瓣/三尖瓣修复和替换案例的形式,以贴近临床的诸多病例为桥梁,搭建安贞与广大青年结构性心脏病术者相互交流学习的平台,集众智,聚众力,共同推动我国结构性心脏病先进诊疗技术的普及与再提高。
本周,首医科大学附属北京安贞医院宋光远教授团队带来了一例P1区+前交界大脱垂TEER治疗手术病例。
患者术前资料
基本情况:63岁男性,患者夜间阵发性呼吸困难半年入院。患者半年前无明显诱因出现夜间平卧位呼吸困难,伴胸闷,无胸痛、大汗,无咳嗽、咳痰等,日常活动不受限。至我院住院查超声心动图提示:二尖瓣后叶P1区+前交界大脱垂,考虑DMR,Carpentier II型,二尖瓣重度关闭不全(重度,4级),左心增大,冠脉造影提示LAD近段80%狭窄,LCX远段70%狭窄,RCA近段75%狭窄,远段70%狭窄,建议患者行外科二尖瓣修复+冠脉搭桥手术治疗,患者拒绝外科手术后出院。出院后患者口服阿司匹林、螺内酯、厄贝沙坦氢氯噻嗪等药物治疗,仍有间断夜间平卧位呼吸困难,为进一步诊治收入院。
既往病史:高血压
二尖瓣置换STS评分:1.462%
入院诊断:心脏瓣膜病,原发性二尖瓣关闭不全,二尖瓣后叶及交界区脱垂 二尖瓣重度关闭不全, 冠状动脉粥样硬化性心脏病, 劳力+自发型心绞痛,心脏扩大,心功能III级(NYHA),高血压,高脂血症
术前评估
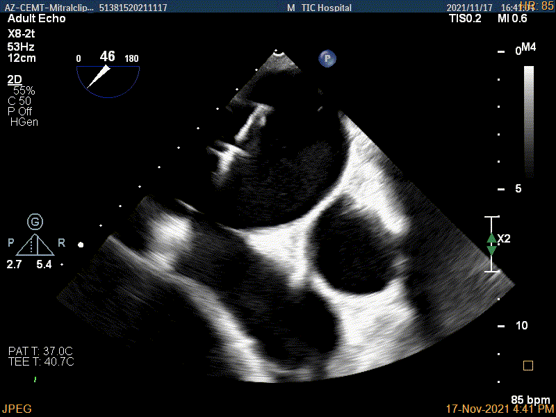
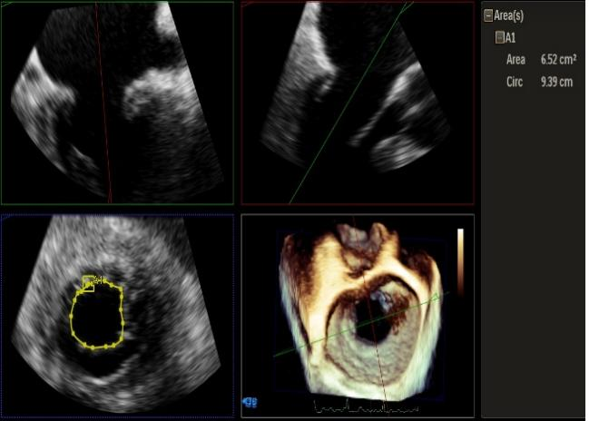
术前超声评估结果
术前超声诊断
3D-color MV view:源自于交界区的大量反流
Qlab软件勾画估测瓣口面积约:6.52cm²
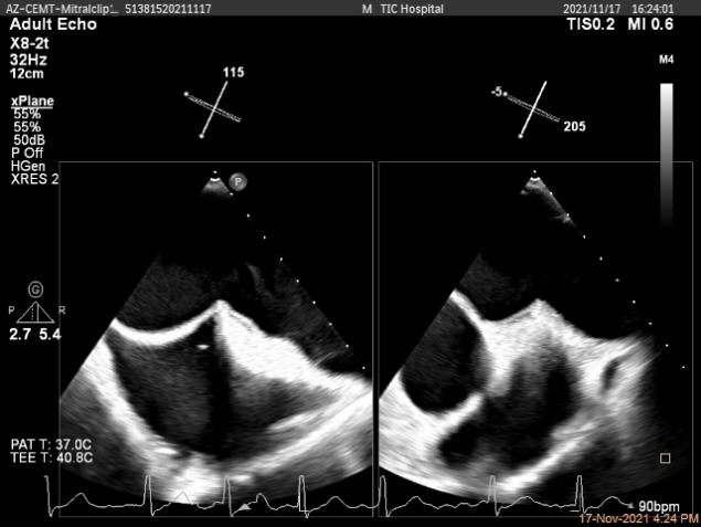
手术过程
患者麻醉方式为全麻,建立静脉通路后,穿刺右侧股静脉,预埋ProGlide缝合器,食道超声指导下房间隔穿刺成功,将Superstiff导丝送至左房,应用18F鞘管扩张穿刺部位,沿导丝将导引导管送入左房,MitraClip调整后顺利到达二尖瓣目标位置,在食道超声辅助下,将Mitraclip NTR成形夹精确定位于近前交接区后,成功夹合二尖瓣AC区,超声显示P1区残余脱垂,将第二枚Mitraclip XTR成形夹精经输送系统送入左房并确定位P1区后,成功夹合二尖瓣A1-P1区残余脱垂及穿孔,MR减少至微-少量,后多切面证实夹合组织充分,肺静脉多普勒波形由反向恢复正常,手术顺利结束,安返普通病房。
术中及术后即刻超声评估
确定房间隔穿刺点
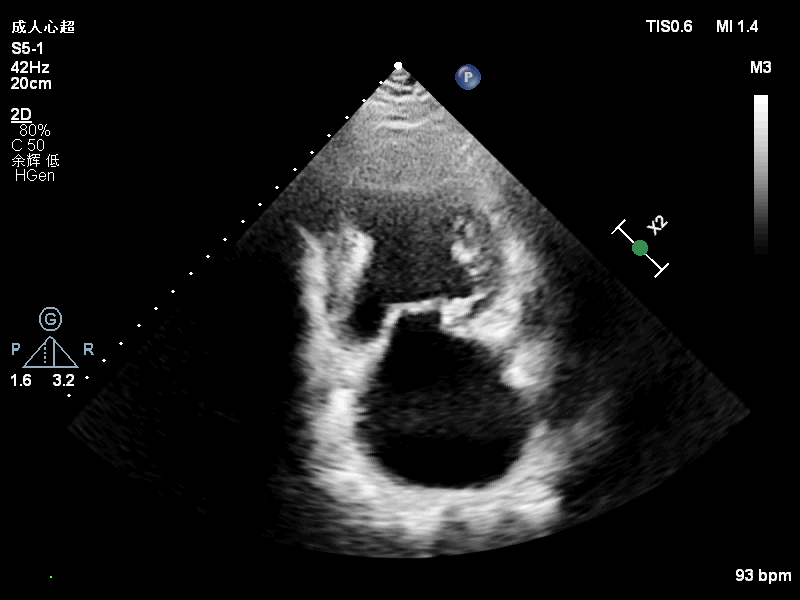
2D视图观察夹子经过大鞘进入左房内
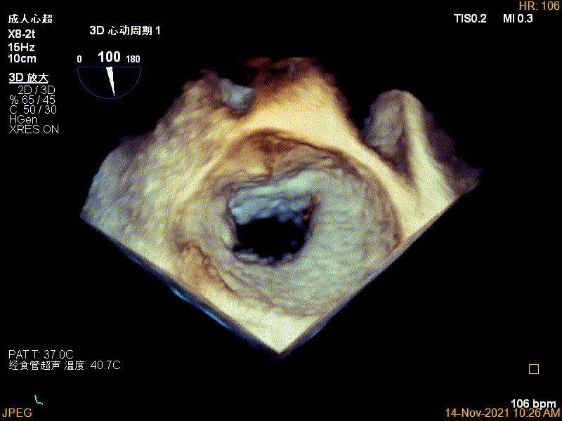
3D视图下进夹子并建立trajectory
3D视图打开夹子

Multivue视图下将夹子正对AC区并调节Rotate

X-plane:下夹子尝试捕获靠近AC区脱垂瓣叶


3D证实夹子内侧残余脱垂(P1区)
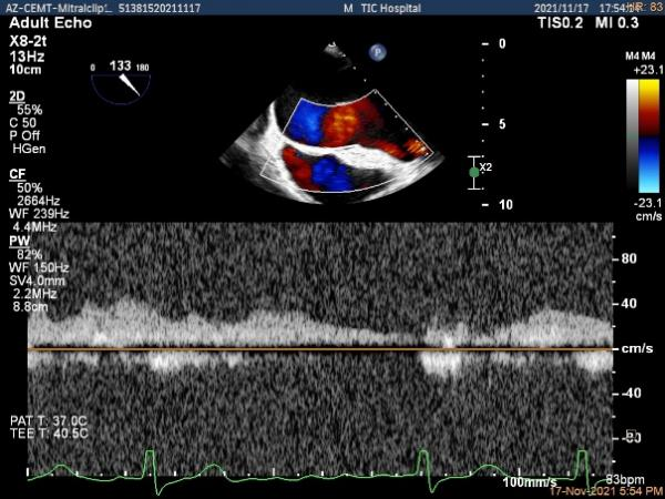
3Dcolor证实残余分流主要来源于残余脱垂
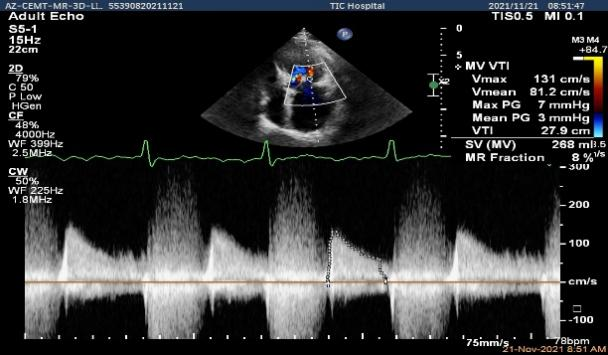
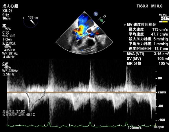
肺静脉血流频谱逐渐恢复正向,后测量平均跨瓣压差:2mmHg
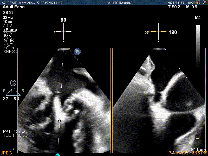
3D视图下进第二个夹子并建立trajectory
将第二个夹子置于第一个夹子内侧尽量靠近,并调节Rotate呈尽量平行关系

成功抓捕内侧残余脱垂区域瓣叶

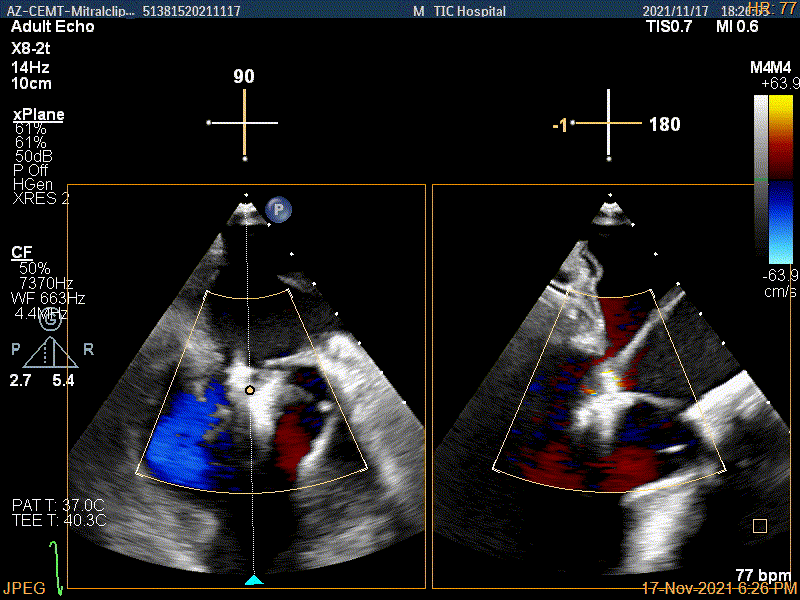
第二个夹子夹闭后,反流量明显减少
3D视图两个夹子近似并排排列
3D-color视图下两个夹子间少量残余反流
肺静脉血流频谱恢复正向
二尖瓣瓣口平均跨瓣压差:3mmHg
手术心得:
1、病变解剖学特点:本例MR的病变特点极为特殊,为前交界区的严重脱垂,后叶活动受限,局部可见偏心性血流自交界区横向反流回左心房。也就是说在交界区有三部分组织,前叶,交界区脱垂组织和后叶。
2、手术策略:术前和林逸贤教授反复沟通,制定两种预案:(1)直接夹合A1-P1区域,尽可能靠向交界区,术后观察反流情况,酌情决定是否封堵前交界区。优点:操作简单,风险:这个夹子夹合组织会比较多,是否稳定?Plug后溶血可能?(2)两步走,短夹子夹合脱垂组织与前叶或者后叶,尽可能减少脱垂范围;然后第二个XTR夹合A1-P1的瓣叶达到减少反流的目的。优点:风险小;缺点:操作复杂。
3、手术实操:充分考虑患者病情后决定实施第二种预案,NTR的小夹子尽可能贴近前交界区,夹合脱垂组织,反复调整后完成第一步操作,夹合了脱垂组织和前叶,幸运的是此时评估残余反流微少量;但是放开第一个夹子后,A1-P1反流量增加,为了进一步稳定第一个夹子和减少反流,决定实施第二步,在A1-P1区实行进一步夹合置入XTR。术后评估反流明显好转,两个夹子稳定。
专家简介
宋光远
首都医科大学附属北京安贞医院
2015.2-2016.7 美国 Cedars Sinai Medical Center 博士后学习。
· 累计完成瓣膜病介入治疗超过 1000 例。
· 累计完成房颤左心耳封堵术超过 200 例,其中 LAAO+PCI 一站式治疗 50 余例。
· 累计完成复杂冠脉介入治疗超过 5000 例。
· 主持结构性心脏病影像核心实验室,目前完成 CT 和超声分析 3000 余例。
· 带教省级医院横跨 30 余省市 60 余家 主持国家自然基金,国家自然青年基金、教育部博士点基金、北京市科委创新基金、协和青年基金等多项课题。
· 发表论文 20 余篇,共计他引超过 110 次,最高单篇 SCI 影响因子超过 20发表文章质量高:63.2%的文章均发表在《我国高质量科技期刊分级目录》收录的期刊中;21%的文章位于 T1 区(国际一流期刊),31.6%的文章于 T2 区(国际知名期刊)。
· 主译《心脏导管手册》,《结构性心脏病介入治疗》。
何怡华
首都医科大学附属北京安贞医院
主任医师/国家二级教授/博士、博士后导师
首都医科大学附属北京安贞医院心脏超声医学中心主任、胎儿心脏病母胎医学中心主任;
受国家卫健委委托牵头制定《胎儿心脏病诊断咨询及管理指南》;作为首席专家牵头科技部十三五国家重点研发计划1项、参与十三五国家重点研发计划1项,承担科技部十二五国家科技支撑计划及科技部国际合作、国家自然科学基金、北京自然科学基金等多个国家级和省部级项目。
第一完成人获得2020年教育部科学技术进步奖二等奖;第一完人获得2021年第四届妇幼健康科学技术奖一等奖;
中国心胸血管麻醉学会心血管超声分会主任委员、中华医学会超声医学分会第十届委员会妇产超声学组副组长、国家人口与健康数据平台胎儿心脏首席专家、中国妇幼保健协会胎儿心脏病防治专业委员会第一届主任委员、中国风湿免疫病相关生殖及妊娠研究委员会副主任委员、中国医师协会医学遗传医师分会妇幼保健专业委员会第一届委员会副主任委员等;全国产前诊断专家组成员;中国优生科学协会出生缺陷预防专业委员会常务委员
何怡华教授团队目前有成员40名,团队目前在外科术中及介入治疗领域主攻开发成人介入瓣膜远程协同机器人系统,远程机械臂自动图像采集及图像判读诊断系统,在国内相关领域处于技术领先水平。近十年何怡华教授一第一及责任作者发表国内核心期刊文章260余篇,SCI 76余篇,国际会议发言30余次。主编出版专著《胎儿超声心动图学》,再版《经食管超声心动图学》。

