作者:陈阳
审核:牛冠男
2021年11月24日,中国医学科学院阜外医院吴永健教授TAVR团队顺利完成2例Silara经导管主动脉瓣膜系统用于症状性主动脉瓣重度狭窄患者微创介入治疗的FIM研究。此次Silara主动脉瓣膜FIM研究由中国医学科学院阜外医院、四川大学华西医院和广东省人民医院三家临床中心参加。值此,Silara主动脉瓣膜FIM阶段入组结束,完美收官!
患者1基本情况
女性, 76岁,诊断为退行性心脏瓣膜病,主动脉瓣重度狭窄,主动脉瓣中度关闭不全,心功能II级(NYHA分级)。超声心动图提示:主动脉瓣平均跨瓣压差60mmHg,有效瓣口面积0.71cm²,峰值流速5.6m/s,左心室射血分数69%。
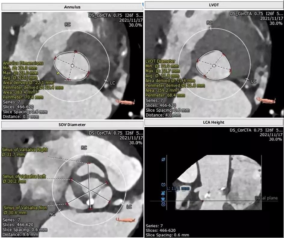
主动脉瓣CT评估:
三叶瓣,瓣环直径22.4mm,瓣环长短径分别为25.0*20.0mm,周长为70.4mm,面积为383.4mm²。左室流出道直径21.8mm,瓦式窦31.7mm*30.2mm*30.6mm,左冠高度11.1mm,右冠高度15.3mm,窦管交界直径26.3mm。

瓣上多平面测量:

根部解剖:



血管入路评估:

综合评估:瓣叶以增厚为主,冠脉高度可,双下肢内径可,术者决定采用20mm球囊预扩,选择植入Silara A-23mm瓣膜。
手术过程
1. 麻醉科监护下完全局麻无镇静方式手术;
2. 超声引导精准穿刺右股主入路、左股副入路,及右股静脉;
3. 两把ProGlide预埋右股动脉,植入20F戈尔大鞘;
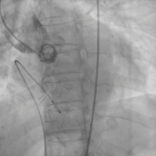
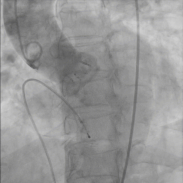
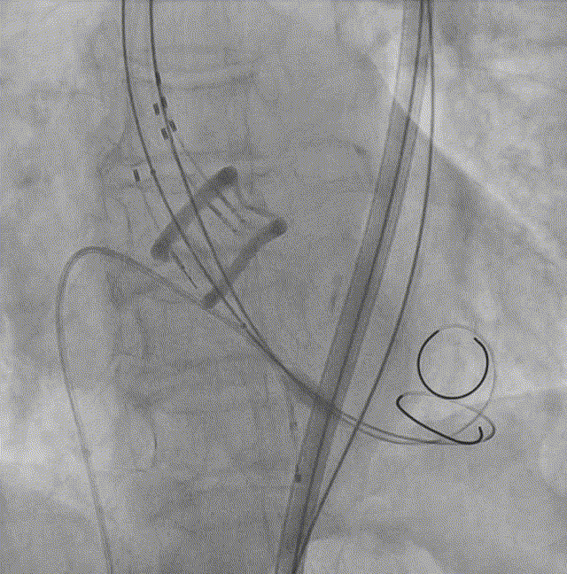
4. 右窦中心投照体位行主动脉根部造影;

主动脉根部造影
5. AL2导管配合直头超滑导丝跨瓣;
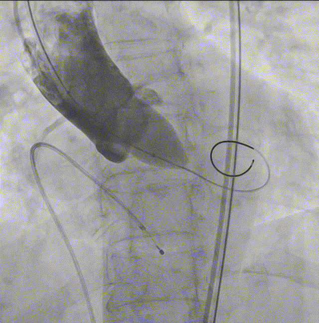
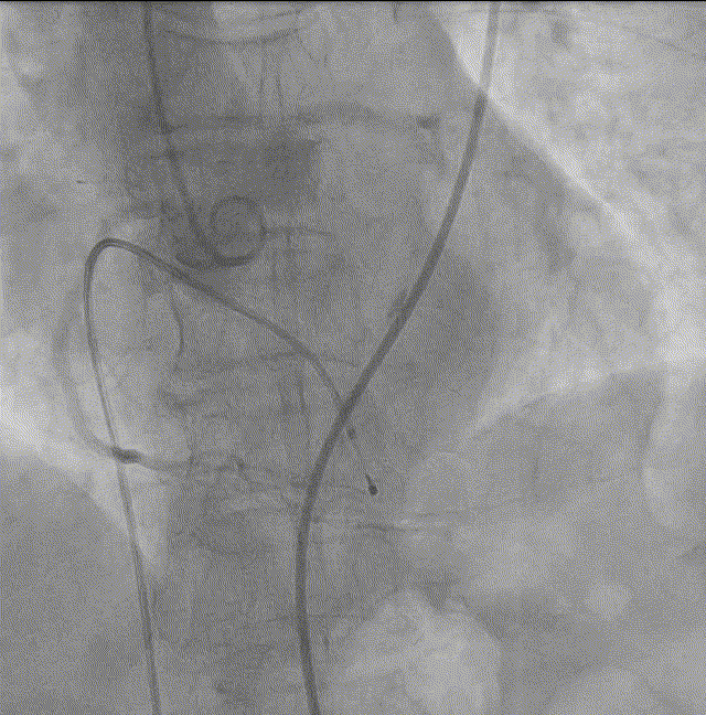
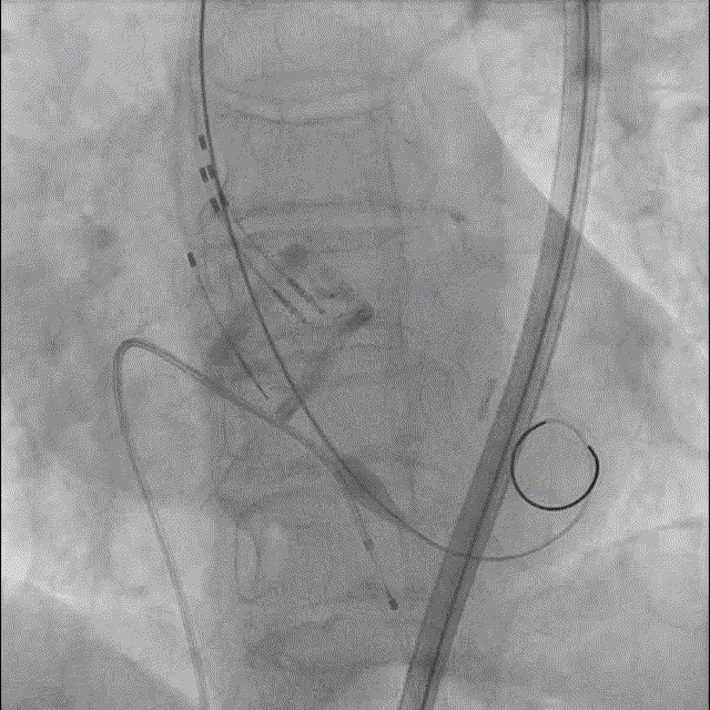
6. 20mm球囊预扩张;

球囊预扩张
7. Silara A-23mm瓣膜过弓和跨瓣;
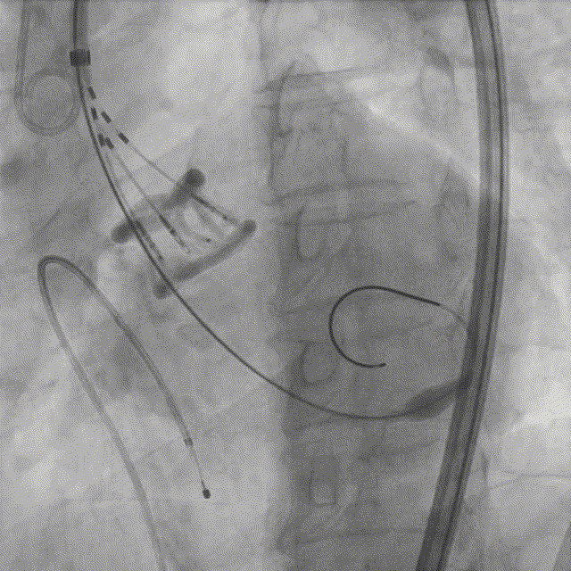
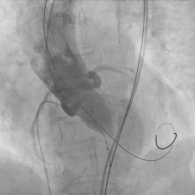
8. Silara A-23瓣膜左心室初步释放,瓣膜功能良好(不需要左心室快速起搏);

瓣膜释放
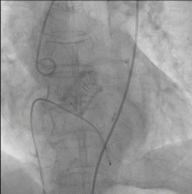
9. Silara A-23mm瓣膜提拉至瓣环水平,精准定位瓣膜,造影剂显示瓣膜功能良好,完成固化;
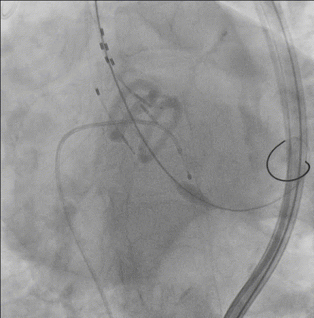
10. 最终造影瓣膜位置理想,无反流,微量周漏。

最终造影
患者2基本情况
女性, 80岁,诊断为:心脏瓣膜病,主动脉瓣狭窄(重度),心功能II级(NYHA分级),心房颤动(心房纤颤),高血压病3级(极高危)。
主动脉瓣CT评估:三叶瓣,瓣环直径24.2mm,瓣环长短径分别为26.5*21.1mm,周长为75.5mm,面积为436.8mm²。左室流出道直径25.4mm,瓦式窦30.4mm*34.4mm*33.2mm,左冠高度13.8mm,右冠高度16.6mm,窦管交界直径30.3mm。

瓣上多平面测量:

根部解剖:



血管入路评估:

综合评估:三叶瓣,冠脉高度可,双下肢内径可,术者决定采用22mm的球囊预扩张,选择植入Silara A-25mm瓣膜。
手术过程
1. 麻醉科监护下完全局麻无镇静方式手术;
2. 超声引导精准穿刺右股主入路、左股副入路,及右股静脉;
3. 两把ProGlide预埋右股动脉,植入20F戈尔大鞘;
4. 右窦中心投照体位行主动脉根部造影;

5. AL2导管配合直头超滑导丝跨瓣;
6. 22mm球囊预扩张;

7. Silara A-25mm瓣膜过弓和跨瓣;
8. Silara A-25mm瓣膜左心室初步释放,瓣膜功能良好(不需要左心室快速起搏);
9. Silara A–25mm瓣膜提拉至瓣环水平,反复调整瓣膜位置,形态欠佳,遂用22mm球囊扩张同时充填主动脉环,造影剂显示瓣膜形态及功能良好,完成固化;



10. 最终造影瓣膜位置理想,无反流,微量瓣周漏。

总结
此次微创介入手术是阜外医院吴永健教授TAVR团队再次采用完全局麻无镇静的极简术式完成Silara主动脉瓣膜治疗重度主动脉瓣狭窄患者。随着手术成功实施, 中国Silara主动脉瓣膜FIM研究入组也顺利结束。中国Silara主动脉瓣膜FIM研究的宝贵经验将为后续确证性临床的顺利开展奠定坚实的基础。相信Silara 主动脉瓣膜将造福更多的主动脉瓣疾病患者!
由成都赛拉诺医疗科技有限公司生产的Silara经导管主动脉瓣膜不同于以往的自膨式瓣膜和球囊扩张式瓣膜,是一种采用全新工作机理的瓣膜,具有全新释放和回收机制。它利用三根定位丝的操作方式,完全实现了瓣膜的100%可重新定位和100%可回收,极大的提升了手术的安全性和舒适程度,同时由于定位较为精确,可以减少瓣周漏的发生。
专家简介
吴永健
中国医学科学院阜外医院
北京协和医学院长聘教授、博士生导师、主任医师。中国医学科学院阜外医院冠心病中心主任、结构性心脏病中心副主任、冠心病二病区主任。
中华医学会心血管病分会委员,中华医学会心血管病分会冠心病与动脉粥样硬化学组副组长,中国医师协会心血管病分会常务委员,北京医学会心血管病分会副主任委员,中国医师协会中西医结合医师分会心脏康复专业委员会主任委员,世界中联心脏康复专业委员会主任委员,中国医师协会心脏重症专家委员会副主任委员,海峡两岸医学交流协会心脏重症专家委员会副主任委员以及全国多个学会的副主任委员、常委或委员;北京市冠心病介入质控专家组成员,中央和山东省保健成员,北京市医疗事故鉴定组成员。
《中国循环杂志》、《中国介入心脏病杂志》编委,《中华心血管病杂志》、英国《心脏》(HEART)杂志通讯编委及多家其他杂志的编委。
获得2020年教育部科技进步奖一等奖,2020年中华医学科技进步奖二等奖。
擅长复杂冠心病的介入治疗,在国内率先开展OCT、FFR、旋磨技术、准分子激光消蚀手术(ELCA)等,目前他与心脏外科医生通力协作开展复合杂交手术,具全国前列,为常规介入手术或搭桥手术高危和远期疗效差的患者提供了全新治疗手段。
吴永健教授是我国最早开展不用开胸经导管进行主动脉瓣膜置换的专家之一。承担国家和省部级科研课题12项,横向课题10项,2020年国家科技部国家重点研发计划专项(老年瓣膜性心脏病标准评估体系及优化治疗路径研究)任首席专家;已完成经导管主动脉瓣膜置换(TAVR)1000 余例。从零开始探索我国TAVR 体系,参与研发我国首个临床应用的商业化人工瓣膜Venus-A,参与研发多款其他瓣膜(VitaFlow、TaurusOne、Silara 和SinoCrown),获专利30 余项;参与制定我国首个《经导管主动脉瓣置换术中国专家共识》;打造国内首个TAVR 影像学核心实验室;国际上首次提出CT“多平面评估体系”;推广标准化TAVR体系在全国100 多家医院应用。
