再续精彩:葛均波院士团队完成全球第二例Lux-Valve Plus经血管三尖瓣置换术

11月30日上午,复旦大学附属中山医院葛均波院士带领的结构性心脏病团队成功应用Lux-Valve Plus经血管三尖瓣置换系统,为一位外科高危的极重度三尖瓣反流患者完成了经颈静脉入路三尖瓣置换术,并获得圆满成功!葛均波院士、周达新教授、魏来教授、潘文志教授等和心超室的潘翠珍教授、李伟教授及麻醉科的郭克芳教授共同完成了本次手术。

图片

此次Lux-Valve Plus经血管三尖瓣置换手术旗开得胜,标志着由复旦大学附属中山医院葛均波院士团队作为主要研究者的全国多中心临床探索性研究正式启动,在2019年亚洲首例经导管异位三尖瓣植入术基础上,开启了我国三尖瓣介入治疗领域的新篇章。

图片

本次接受治疗的患者是一名74岁的女性,14年前因风湿性心脏病行二尖瓣生物瓣植入术,合并房颤。近3年来反复因腹胀、纳差、下肢水肿入院,药物治疗欠佳。心脏超声显示三尖瓣极重度反流(有效反流口面积:0.76cm²,反流容积:79ml),继发性右房室增大及上、下腔静脉增宽(右房上下径*左右径:52*41mm,右室左右径:46mm,下腔静脉:29mm),右室收缩功能正常,肺动脉收缩压 43mmHg,左心室射血分数73% 。患者既往开胸手术史,术前评估STS 评分为7.02分,CRS 9分,无法接受体外循环下三尖瓣外科手术。面对这一传统治疗无法解决的困境,葛均波院士及其团队周达新教授、潘文志教授、张源博士、陈莎莎博士及心超室的潘翠珍教授、李伟教授经过讨论决定,采用创新的Lux-Valve Plus系统为患者进行经血管三尖瓣置换。

图片
图片

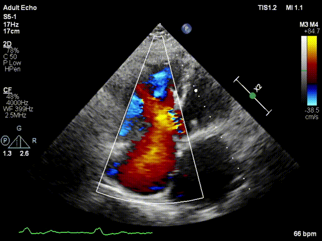
手术在患者全麻状态下进行,采用经右侧颈静脉作为入路,将装载有人工瓣膜的输送器缓慢推送至右心房;并在经食道超声和DSA的引导下小心调整输送器角度,将输送器送入右心室;逐步释放瓣膜锚定装置和盘片,调整瓣膜位置后,锚定瓣膜完成植入。术后右房压明显下降,从术前的25/10(16) mmHg降至术后即刻的12/7(10) mmHg,术后超声提示人工三尖瓣同轴性良好,固定牢固,无反流及瓣周漏手术室即刻拔除气管插管。

图片
图片
图片

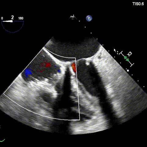
术后超声1

图片

术后超声2

图片

术后超声3

图片

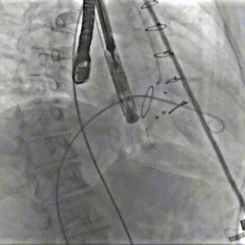
术前造影

图片

术中造影

图片

术后造影

三尖瓣反流是一种常见的心脏瓣膜疾病,数据显示我国中度以上三尖瓣反流的患者近千万。患者通常起病缓慢,待出现症状时往往步入高龄、病情复杂;传统外科手术创伤大、死亡率高,大量三尖瓣反流患者已没有机会进行传统外科手术,无法得到有效救治。而三尖瓣解剖结构复杂,设计和使用针对三尖瓣反流的创新器械一直是心脏介入领域的热点和难点。

Lux-Valve是我国第一款拥有完全自主核心知识产权的“三尖瓣”瓣膜介入产品,其全球首创的“非径向支撑力依赖”锚定方式能更好地适应三尖瓣组织菲薄脆弱的特性,且大大减低了传导阻滞等并发症的发生概率,并能适应更大范围的瓣环尺寸,应用于更广泛的患者。Lux-Valve Plus对输送系统进行了全面升级,实现了经颈静脉入路,进一步减少了创伤和风险。

葛均波院士寄语

Lux-Valve已完成约200例的临床手术,初步统计结果显示瓣膜具有很好安全性和有效性。Lux-Valve Plus对Lux-Valve输送系统进行了全面升级,实现了经颈静脉入路,进一步减少了创伤和风险。葛均波院士团队早期即参与了Lux-Valve Plus的临床前动物实验研究,对系统改进提出重要意见。该临床研究使用的器械正是新一代Lux-Valve Plus瓣膜及输送系统,患者是一位外科手术高危的极重度三尖瓣反流患者。在手术过程中,该系统使用体验非常流畅,仅仅40分钟就顺利完成了手术。

这是我国第一款经血管三尖瓣置换瓣膜产品。在老龄化社会、三尖瓣反流患者的治疗需求远远未被满足的大背景下,它必将成为医生手中的一款有力武器。今天的手术成功为Lux-Valve Plus多中心临床研究打响了第一枪,预祝接下来的临床研究顺利进行,这一自主创新的临床器械能早日造福中国三尖瓣反流患者。


阅读数: 7378
相关专题