患者
患者女性,67岁。
主诉
间断胸闷、气短8年,加重1周。
现病史
患者8年前无明显诱因出现活动后胸闷、气短,休息后可缓解,活动耐量进行性下降,无胸痛,无肩背部放射痛,无大汗,无黑朦、晕厥,无意识丧失,无咳嗽,咳痰等症状,未予重视及特殊治疗,1周前患者夜间休息时突发胸闷、气短,大汗淋漓,端坐呼吸,无黑朦、晕厥,无意识丧失,就诊于当地医院,行心脏彩超检查示:1左心大主动脉硬化:2老年性主动脉瓣及二尖瓣退行性改变:3左室舒张功能减低:4、三尖熟反流(中量)主动脉瓣反流(大量)3冠脉造影提示RCA2段20%狭窄,给予对症治疗,现患者拟于进一步治疗,遂来我院,门诊排除新冠肺炎后,以“心脏瓣膜病”收住院。发病以来精神清、夜休差,饮食、睡眠欠佳,大小便如常,体重无变化。
既往史
高血压病史38年,最高200/110mmHg,目前口服“苯磺酸左氨氯地平片1片/早 马来酸依那普利片1片/早”控制
超声检查
左室射血分数:54%;
主动脉瓣返流面积:7.1cm2
二尖瓣返流面积:8.3cm2
诊断:主动脉瓣中度狭窄伴大量返流;二尖瓣中-大量返流;
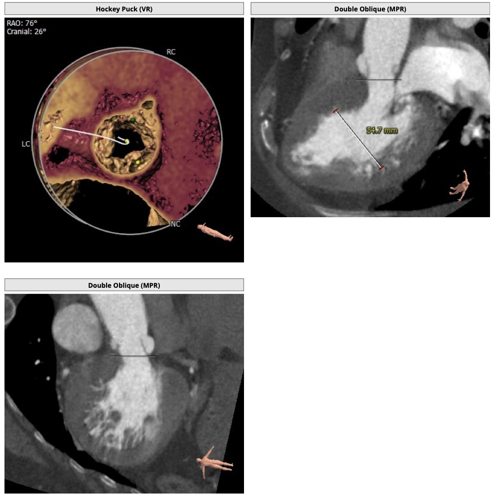
主动脉CT
难点分析:
*患者为四叶瓣,单纯返流,瓣膜锚定具有有一定难度,对释放瓣膜的把控要求高;
*右冠高度可,但左冠高度稍低,具有一定冠脉风险;
*心脏角度略大,释放瓣膜时,瓣膜与瓣环同轴性差。
制定策略:
经分析研判,拟从右侧股动脉穿刺入路,结合患者返流特点与主动脉根部结构,选用L26号的VenusA-Valve瓣膜,使用VenusA-Plus可回收输送系统,确保手术安全和瓣膜的稳定释放,必要时可使用圈套器辅助瓣膜释放,瓣膜释放后结合造影和超声情况,决定是否后扩。
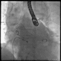
根部造影
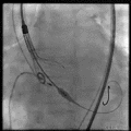
定位胶囊腔
释放瓣膜
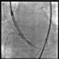
瓣膜释放至2/3时造影


继续释放瓣膜
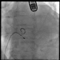
瓣膜释放完毕
手术结果
经术后造影及超声探查,主动脉瓣返流面积由由术前7.1cm2术后没有返流情况,主动脉瓣大量返流消失,二尖瓣返流面积由术前8.3cm2下降至6.4cm2,二尖瓣大量返流改善为中量返流,舒张压由术前55mmHg上升至80mmHg,术中及术后未出现相关并发症,手术圆满完成。
在多学科协作下,陕西省人民医院顺利完成首台返流病人TAVR手术,陕西省人民医院心内一科在王军奎主任和官功昌副主任的带领下锐意进取,开展了多项前沿领域技术,此次返流病例TAVR手术的顺利完成,标志着这项国际领先的尖端术式在陕西省人民医院已经趋近成熟,显著提升了救治复杂危重心血管疾病的能力,使患者能够享受“一站式”心脏诊疗的优质医疗服务,为广大患者带来福音。


